About   Help   FAQ
Gene Expression Data
Assay Details
Assay
Reference: J:228563 Koscielny G, et al., The International Mouse Phenotyping Consortium Web Portal, a unified point of access for knockout mice and related phenotyping data. Nucleic Acids Res. 2014 Jan;42(Database issue):D802-9
Assay type: In situ reporter (knock in)
MGI Accession ID: MGI:6692516
Gene symbol: Rspo1
Gene name: R-spondin 1
Reporter: lacZ
Direct Detection
Results
Specimen UC Davis_1869983: postnatal adult; Rspo1tm1.1(KOMP)Vlcg/Rspo1+ (more )
Structure Level Pattern Image Note
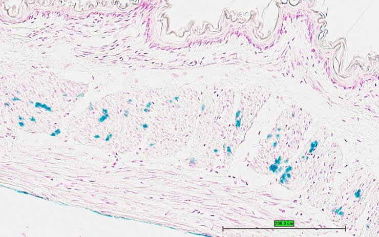
TS28: tongue Present UC Davis_1869983

Specimen UC Davis_1869984: postnatal adult; Rspo1tm1.1(KOMP)Vlcg/Rspo1+ (more )
Structure Level Pattern Image Note
TS28: tongue Present UC Davis_1869984

Specimen UC Davis_1869985: postnatal adult; Rspo1tm1.1(KOMP)Vlcg/Rspo1+ (more )
Structure Level Pattern Image Note
TS28: tongue Present UC Davis_1869985

Specimen UC Davis_1869986: postnatal adult; Rspo1tm1.1(KOMP)Vlcg/Rspo1+ (more )
Structure Level Pattern Image Note
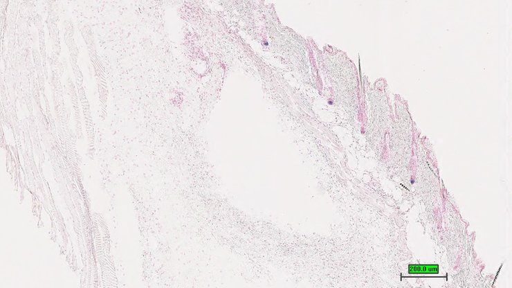
TS28: skin Present UC Davis_1869986

Specimen UC Davis_1869987: postnatal adult; Rspo1tm1.1(KOMP)Vlcg/Rspo1+ (more )
Structure Level Pattern Image Note
TS28: skin Present UC Davis_1869987

Specimen UC Davis_1869988: postnatal adult; Rspo1tm1.1(KOMP)Vlcg/Rspo1+ (more )
Structure Level Pattern Image Note
TS28: trachea Present UC Davis_1869988

Specimen UC Davis_1869989: postnatal adult; Rspo1tm1.1(KOMP)Vlcg/Rspo1+ (more )
Structure Level Pattern Image Note
TS28: thyroid gland Present UC Davis_1869989

Specimen UC Davis_1869991: postnatal adult; Rspo1tm1.1(KOMP)Vlcg/Rspo1+ (more )
Structure Level Pattern Image Note
TS28: lung Present UC Davis_1869991

Specimen UC Davis_1869992: postnatal adult; Rspo1tm1.1(KOMP)Vlcg/Rspo1+ (more )
Structure Level Pattern Image Note
TS28: lung Present UC Davis_1869992

Specimen UC Davis_1869993: postnatal adult; Rspo1tm1.1(KOMP)Vlcg/Rspo1+ (more )
Structure Level Pattern Image Note
TS28: lung Present UC Davis_1869993

Specimen UC Davis_1869994: postnatal adult; Rspo1tm1.1(KOMP)Vlcg/Rspo1+ (more )
Structure Level Pattern Image Note
TS28: stomach Present UC Davis_1869994

Specimen UC Davis_1869995: postnatal adult; Rspo1tm1.1(KOMP)Vlcg/Rspo1+ (more )
Structure Level Pattern Image Note
TS28: stomach Present UC Davis_1869995

Specimen UC Davis_1869996: postnatal adult; Rspo1tm1.1(KOMP)Vlcg/Rspo1+ (more )
Structure Level Pattern Image Note
TS28: jejunum Present UC Davis_1869996

Specimen UC Davis_1869997: postnatal adult; Rspo1tm1.1(KOMP)Vlcg/Rspo1+ (more )
Structure Level Pattern Image Note
TS28: ileum Present UC Davis_1869997

Specimen UC Davis_1869998: postnatal adult; Rspo1tm1.1(KOMP)Vlcg/Rspo1+ (more )
Structure Level Pattern Image Note
TS28: ileum Present UC Davis_1869998

Specimen UC Davis_1869999: postnatal adult; Rspo1tm1.1(KOMP)Vlcg/Rspo1+ (more )
Structure Level Pattern Image Note
TS28: spleen Present UC Davis_1869999

Specimen UC Davis_1870000: postnatal adult; Rspo1tm1.1(KOMP)Vlcg/Rspo1+ (more )
Structure Level Pattern Image Note
TS28: spleen Present UC Davis_1870000

Specimen UC Davis_1870001: postnatal adult; Rspo1tm1.1(KOMP)Vlcg/Rspo1+ (more )
Structure Level Pattern Image Note
TS28: spleen Present UC Davis_1870001

Specimen UC Davis_1870002: postnatal adult; Rspo1tm1.1(KOMP)Vlcg/Rspo1+ (more )
Structure Level Pattern Image Note
TS28: pancreas Present UC Davis_1870002

Specimen UC Davis_1870003: postnatal adult; Rspo1tm1.1(KOMP)Vlcg/Rspo1+ (more )
Structure Level Pattern Image Note
TS28: tongue Present UC Davis_1870003

Specimen UC Davis_1870004: postnatal adult; Rspo1tm1.1(KOMP)Vlcg/Rspo1+ (more )
Structure Level Pattern Image Note
TS28: tongue Present UC Davis_1870004

Specimen UC Davis_1870005: postnatal adult; Rspo1tm1.1(KOMP)Vlcg/Rspo1+ (more )
Structure Level Pattern Image Note
TS28: tongue Present UC Davis_1870005

Specimen UC Davis_1870006: postnatal adult; Rspo1tm1.1(KOMP)Vlcg/Rspo1+ (more )
Structure Level Pattern Image Note
TS28: diaphragm Present UC Davis_1870006

Specimen UC Davis_1870007: postnatal adult; Rspo1tm1.1(KOMP)Vlcg/Rspo1+ (more )
Structure Level Pattern Image Note
TS28: diaphragm Present UC Davis_1870007

Specimen UC Davis_1870008: postnatal adult; Rspo1tm1.1(KOMP)Vlcg/Rspo1+ (more )
Structure Level Pattern Image Note
TS28: mesenteric adipose tissue Present UC Davis_1870008

Specimen UC Davis_1870009: postnatal adult; Rspo1tm1.1(KOMP)Vlcg/Rspo1+ (more )
Structure Level Pattern Image Note
TS28: mesenteric adipose tissue Present UC Davis_1870009

Specimen UC Davis_1870010: postnatal adult; Rspo1tm1.1(KOMP)Vlcg/Rspo1+ (more )
Structure Level Pattern Image Note
TS28: skin Present UC Davis_1870010

Specimen UC Davis_1870011: postnatal adult; Rspo1tm1.1(KOMP)Vlcg/Rspo1+ (more )
Structure Level Pattern Image Note
TS28: skin Present UC Davis_1870011

Specimen UC Davis_1870012: postnatal adult; Rspo1tm1.1(KOMP)Vlcg/Rspo1+ (more )
Structure Level Pattern Image Note
TS28: skin Present UC Davis_1870012

Specimen UC Davis_1870013: postnatal adult; Rspo1tm1.1(KOMP)Vlcg/Rspo1+ (more )
Structure Level Pattern Image Note
TS28: epididymis Present UC Davis_1870013

Specimen UC Davis_1870014: postnatal adult; Rspo1tm1.1(KOMP)Vlcg/Rspo1+ (more )
Structure Level Pattern Image Note
TS28: prostate gland Present UC Davis_1870014

Specimen UC Davis_1870015: postnatal adult; Rspo1tm1.1(KOMP)Vlcg/Rspo1+ (more )
Structure Level Pattern Image Note
TS28: penis Present UC Davis_1870015

Specimen UC Davis_1870016: postnatal adult; Rspo1tm1.1(KOMP)Vlcg/Rspo1+ (more )
Structure Level Pattern Image Note
TS28: ductus deferens Present UC Davis_1870016 vas deferens


Contributing Projects:
Mouse Genome Database (MGD), Gene Expression Database (GXD), Mouse Models of Human Cancer database (MMHCdb) (formerly Mouse Tumor Biology (MTB)), Gene Ontology (GO)
Citing These Resources
Funding Information
Warranty Disclaimer, Privacy Notice, Licensing, & Copyright
Send questions and comments to User Support.
last database update
01/06/2026
MGI 6.24
The Jackson Laboratory