About   Help   FAQ
Gene Expression Data
Assay Details
Assay
Reference: J:228563 Koscielny G, et al., The International Mouse Phenotyping Consortium Web Portal, a unified point of access for knockout mice and related phenotyping data. Nucleic Acids Res. 2014 Jan;42(Database issue):D802-9
Assay type: In situ reporter (knock in)
MGI Accession ID: MGI:6692497
Gene symbol: Vwa1
Gene name: von Willebrand factor A domain containing 1
Reporter: lacZ
Direct Detection
Results
Specimen UC Davis_1884265: postnatal adult; Vwa1tm1.1(KOMP)Vlcg/Vwa1+ (more )
Structure Level Pattern Image Note
TS28: quadriceps femoris muscle Present UC Davis_1884265

Specimen UC Davis_1884266: postnatal adult; Vwa1tm1.1(KOMP)Vlcg/Vwa1+ (more )
Structure Level Pattern Image Note
TS28: quadriceps femoris muscle Present UC Davis_1884266

Specimen UC Davis_1884267: postnatal adult; Vwa1tm1.1(KOMP)Vlcg/Vwa1+ (more )
Structure Level Pattern Image Note
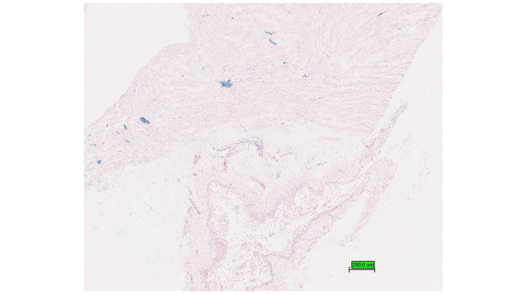
TS28: sciatic nerve Present UC Davis_1884267

Specimen UC Davis_1884268: postnatal adult; Vwa1tm1.1(KOMP)Vlcg/Vwa1+ (more )
Structure Level Pattern Image Note
TS28: sciatic nerve Present UC Davis_1884268

Specimen UC Davis_1884269: postnatal adult; Vwa1tm1.1(KOMP)Vlcg/Vwa1+ (more )
Structure Level Pattern Image Note
TS28: sciatic nerve Present UC Davis_1884269

Specimen UC Davis_1884270: postnatal adult; Vwa1tm1.1(KOMP)Vlcg/Vwa1+ (more )
Structure Level Pattern Image Note
TS28: tongue Present UC Davis_1884270

Specimen UC Davis_1884271: postnatal adult; Vwa1tm1.1(KOMP)Vlcg/Vwa1+ (more )
Structure Level Pattern Image Note
TS28: tongue Present UC Davis_1884271

Specimen UC Davis_1884272: postnatal adult; Vwa1tm1.1(KOMP)Vlcg/Vwa1+ (more )
Structure Level Pattern Image Note
TS28: tongue Present UC Davis_1884272

Specimen UC Davis_1884273: postnatal adult; Vwa1tm1.1(KOMP)Vlcg/Vwa1+ (more )
Structure Level Pattern Image Note
TS28: tongue Present UC Davis_1884273

Specimen UC Davis_1884274: postnatal adult; Vwa1tm1.1(KOMP)Vlcg/Vwa1+ (more )
Structure Level Pattern Image Note
TS28: adrenal gland Present UC Davis_1884274

Specimen UC Davis_1884275: postnatal adult; Vwa1tm1.1(KOMP)Vlcg/Vwa1+ (more )
Structure Level Pattern Image Note
TS28: spinal cord Present UC Davis_1884275

Specimen UC Davis_1884276: postnatal adult; Vwa1tm1.1(KOMP)Vlcg/Vwa1+ (more )
Structure Level Pattern Image Note
TS28: spinal cord Present UC Davis_1884276

Specimen UC Davis_1884277: postnatal adult; Vwa1tm1.1(KOMP)Vlcg/Vwa1+ (more )
Structure Level Pattern Image Note
TS28: Harderian gland Present UC Davis_1884277

Specimen UC Davis_1884278: postnatal adult; Vwa1tm1.1(KOMP)Vlcg/Vwa1+ (more )
Structure Level Pattern Image Note
TS28: Harderian gland Present UC Davis_1884278

Specimen UC Davis_1884279: postnatal adult; Vwa1tm1.1(KOMP)Vlcg/Vwa1+ (more )
Structure Level Pattern Image Note
TS28: gonadal fat pad Present UC Davis_1884279

Specimen UC Davis_1884280: postnatal adult; Vwa1tm1.1(KOMP)Vlcg/Vwa1+ (more )
Structure Level Pattern Image Note
TS28: gonadal fat pad Present UC Davis_1884280

Specimen UC Davis_1884281: postnatal adult; Vwa1tm1.1(KOMP)Vlcg/Vwa1+ (more )
Structure Level Pattern Image Note
TS28: gonadal fat pad Present UC Davis_1884281

Specimen UC Davis_1884282: postnatal adult; Vwa1tm1.1(KOMP)Vlcg/Vwa1+ (more )
Structure Level Pattern Image Note
TS28: skin Present UC Davis_1884282

Specimen UC Davis_1884283: postnatal adult; Vwa1tm1.1(KOMP)Vlcg/Vwa1+ (more )
Structure Level Pattern Image Note
TS28: brown fat Present UC Davis_1884283

Specimen UC Davis_1884284: postnatal adult; Vwa1tm1.1(KOMP)Vlcg/Vwa1+ (more )
Structure Level Pattern Image Note
TS28: brown fat Present UC Davis_1884284

Specimen UC Davis_1884285: postnatal adult; Vwa1tm1.1(KOMP)Vlcg/Vwa1+ (more )
Structure Level Pattern Image Note
TS28: brown fat Present UC Davis_1884285

Specimen UC Davis_1884286: postnatal adult; Vwa1tm1.1(KOMP)Vlcg/Vwa1+ (more )
Structure Level Pattern Image Note
TS28: trigeminal nerve Present UC Davis_1884286

Specimen UC Davis_1884287: postnatal adult; Vwa1tm1.1(KOMP)Vlcg/Vwa1+ (more )
Structure Level Pattern Image Note
TS28: trigeminal nerve Present UC Davis_1884287

Specimen UC Davis_1884288: postnatal adult; Vwa1tm1.1(KOMP)Vlcg/Vwa1+ (more )
Structure Level Pattern Image Note
TS28: vagina Present UC Davis_1884288

Specimen UC Davis_1884289: postnatal adult; Vwa1tm1.1(KOMP)Vlcg/Vwa1+ (more )
Structure Level Pattern Image Note
TS28: vagina Present UC Davis_1884289

Specimen UC Davis_1884290: postnatal adult; Vwa1tm1.1(KOMP)Vlcg/Vwa1+ (more )
Structure Level Pattern Image Note
TS28: bladder Present UC Davis_1884290

Specimen UC Davis_1884291: postnatal adult; Vwa1tm1.1(KOMP)Vlcg/Vwa1+ (more )
Structure Level Pattern Image Note
TS28: bladder Present UC Davis_1884291

Specimen UC Davis_1884292: postnatal adult; Vwa1tm1.1(KOMP)Vlcg/Vwa1+ (more )
Structure Level Pattern Image Note
TS28: bladder Present UC Davis_1884292

Specimen UC Davis_1884239: postnatal adult; Vwa1tm1.1(KOMP)Vlcg/Vwa1+ (more )
Structure Level Pattern Image Note
TS28: submandibular gland Present UC Davis_1884239

Specimen UC Davis_1884240: postnatal adult; Vwa1tm1.1(KOMP)Vlcg/Vwa1+ (more )
Structure Level Pattern Image Note
TS28: submandibular gland Present UC Davis_1884240

Specimen UC Davis_1884241: postnatal adult; Vwa1tm1.1(KOMP)Vlcg/Vwa1+ (more )
Structure Level Pattern Image Note
TS28: sublingual gland Present UC Davis_1884241

Specimen UC Davis_1884242: postnatal adult; Vwa1tm1.1(KOMP)Vlcg/Vwa1+ (more )
Structure Level Pattern Image Note
TS28: trachea Present UC Davis_1884242

Specimen UC Davis_1884243: postnatal adult; Vwa1tm1.1(KOMP)Vlcg/Vwa1+ (more )
Structure Level Pattern Image Note
TS28: lung Present UC Davis_1884243

Specimen UC Davis_1884246: postnatal adult; Vwa1tm1.1(KOMP)Vlcg/Vwa1+ (more )
Structure Level Pattern Image Note
TS28: sciatic nerve Present UC Davis_1884246

Specimen UC Davis_1884247: postnatal adult; Vwa1tm1.1(KOMP)Vlcg/Vwa1+ (more )
Structure Level Pattern Image Note
TS28: tongue Present UC Davis_1884247

Specimen UC Davis_1884248: postnatal adult; Vwa1tm1.1(KOMP)Vlcg/Vwa1+ (more )
Structure Level Pattern Image Note
TS28: tongue Present UC Davis_1884248

Specimen UC Davis_1884249: postnatal adult; Vwa1tm1.1(KOMP)Vlcg/Vwa1+ (more )
Structure Level Pattern Image Note
TS28: tongue Present UC Davis_1884249

Specimen UC Davis_1884250: postnatal adult; Vwa1tm1.1(KOMP)Vlcg/Vwa1+ (more )
Structure Level Pattern Image Note
TS28: adrenal gland Present UC Davis_1884250

Specimen UC Davis_1884251: postnatal adult; Vwa1tm1.1(KOMP)Vlcg/Vwa1+ (more )
Structure Level Pattern Image Note
TS28: adrenal gland Present UC Davis_1884251

Specimen UC Davis_1884252: postnatal adult; Vwa1tm1.1(KOMP)Vlcg/Vwa1+ (more )
Structure Level Pattern Image Note
TS28: spinal cord Present UC Davis_1884252

Specimen UC Davis_1884253: postnatal adult; Vwa1tm1.1(KOMP)Vlcg/Vwa1+ (more )
Structure Level Pattern Image Note
TS28: spinal cord Present UC Davis_1884253

Specimen UC Davis_1884254: postnatal adult; Vwa1tm1.1(KOMP)Vlcg/Vwa1+ (more )
Structure Level Pattern Image Note
TS28: eye Present UC Davis_1884254

Specimen UC Davis_1884255: postnatal adult; Vwa1tm1.1(KOMP)Vlcg/Vwa1+ (more )
Structure Level Pattern Image Note
TS28: mesenteric adipose tissue Present UC Davis_1884255

Specimen UC Davis_1884256: postnatal adult; Vwa1tm1.1(KOMP)Vlcg/Vwa1+ (more )
Structure Level Pattern Image Note
TS28: skin Present UC Davis_1884256

Specimen UC Davis_1884257: postnatal adult; Vwa1tm1.1(KOMP)Vlcg/Vwa1+ (more )
Structure Level Pattern Image Note
TS28: brown fat Present UC Davis_1884257

Specimen UC Davis_1884259: postnatal adult; Vwa1tm1.1(KOMP)Vlcg/Vwa1+ (more )
Structure Level Pattern Image Note
TS28: trigeminal nerve Present UC Davis_1884259

Specimen UC Davis_1884260: postnatal adult; Vwa1tm1.1(KOMP)Vlcg/Vwa1+ (more )
Structure Level Pattern Image Note
TS28: trigeminal nerve Present UC Davis_1884260

Specimen UC Davis_1884261: postnatal adult; Vwa1tm1.1(KOMP)Vlcg/Vwa1+ (more )
Structure Level Pattern Image Note
TS28: bladder Present UC Davis_1884261

Specimen UC Davis_1884262: postnatal adult; Vwa1tm1.1(KOMP)Vlcg/Vwa1+ (more )
Structure Level Pattern Image Note
TS28: penis Present UC Davis_1884262

Specimen UC Davis_1884263: postnatal adult; Vwa1tm1.1(KOMP)Vlcg/Vwa1+ (more )
Structure Level Pattern Image Note
TS28: penis Present UC Davis_1884263

Specimen UC Davis_1884264: postnatal adult; Vwa1tm1.1(KOMP)Vlcg/Vwa1+ (more )
Structure Level Pattern Image Note
TS28: ductus deferens Present UC Davis_1884264 vas deferens


Contributing Projects:
Mouse Genome Database (MGD), Gene Expression Database (GXD), Mouse Models of Human Cancer database (MMHCdb) (formerly Mouse Tumor Biology (MTB)), Gene Ontology (GO)
Citing These Resources
Funding Information
Warranty Disclaimer, Privacy Notice, Licensing, & Copyright
Send questions and comments to User Support.
last database update
03/24/2026
MGI 6.24
The Jackson Laboratory