About   Help   FAQ
Gene Expression Data
Assay Details
Assay
Reference: J:228563 Koscielny G, et al., The International Mouse Phenotyping Consortium Web Portal, a unified point of access for knockout mice and related phenotyping data. Nucleic Acids Res. 2014 Jan;42(Database issue):D802-9
Assay type: In situ reporter (knock in)
MGI Accession ID: MGI:6692483
Gene symbol: Tiparp
Gene name: TCDD-inducible poly(ADP-ribose) polymerase
Reporter: lacZ
Direct Detection
Results
Specimen UC Davis_1887368: postnatal adult; Tiparptm1b(EUCOMM)Wtsi/Tiparp+ (more )
Structure Level Pattern Image Note
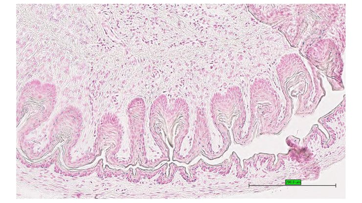
TS28: tongue Present UC Davis_1887368

Specimen UC Davis_1887369: postnatal adult; Tiparptm1b(EUCOMM)Wtsi/Tiparp+ (more )
Structure Level Pattern Image Note
TS28: ovary Present UC Davis_1887369

Specimen UC Davis_1887370: postnatal adult; Tiparptm1b(EUCOMM)Wtsi/Tiparp+ (more )
Structure Level Pattern Image Note
TS28: oviduct Present UC Davis_1887370

Specimen UC Davis_1887371: postnatal adult; Tiparptm1b(EUCOMM)Wtsi/Tiparp+ (more )
Structure Level Pattern Image Note
TS28: uterus Present UC Davis_1887371

Specimen UC Davis_1887372: postnatal adult; Tiparptm1b(EUCOMM)Wtsi/Tiparp+ (more )
Structure Level Pattern Image Note
TS28: uterus Present UC Davis_1887372

Specimen UC Davis_1887373: postnatal adult; Tiparptm1b(EUCOMM)Wtsi/Tiparp+ (more )
Structure Level Pattern Image Note
TS28: vagina Present UC Davis_1887373

Specimen UC Davis_1887374: postnatal adult; Tiparptm1b(EUCOMM)Wtsi/Tiparp+ (more )
Structure Level Pattern Image Note
TS28: vagina Present UC Davis_1887374

Specimen UC Davis_1887375: postnatal adult; Tiparptm1b(EUCOMM)Wtsi/Tiparp+ (more )
Structure Level Pattern Image Note
TS28: bladder Present UC Davis_1887375

Specimen UC Davis_1887362: postnatal adult; Tiparptm1b(EUCOMM)Wtsi/Tiparp+ (more )
Structure Level Pattern Image Note
TS28: testis Present UC Davis_1887362

Specimen UC Davis_1887363: postnatal adult; Tiparptm1b(EUCOMM)Wtsi/Tiparp+ (more )
Structure Level Pattern Image Note
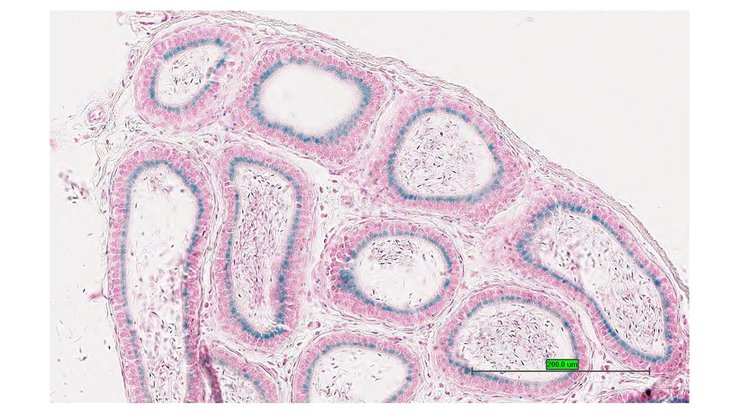
TS28: epididymis Present UC Davis_1887363

Specimen UC Davis_1887364: postnatal adult; Tiparptm1b(EUCOMM)Wtsi/Tiparp+ (more )
Structure Level Pattern Image Note
TS28: penis Present UC Davis_1887364

Specimen UC Davis_1887365: postnatal adult; Tiparptm1b(EUCOMM)Wtsi/Tiparp+ (more )
Structure Level Pattern Image Note
TS28: penis Present UC Davis_1887365

Specimen UC Davis_1887366: postnatal adult; Tiparptm1b(EUCOMM)Wtsi/Tiparp+ (more )
Structure Level Pattern Image Note
TS28: penis Present UC Davis_1887366

Specimen UC Davis_1887367: postnatal adult; Tiparptm1b(EUCOMM)Wtsi/Tiparp+ (more )
Structure Level Pattern Image Note
TS28: ductus deferens Present UC Davis_1887367 vas deferens


Contributing Projects:
Mouse Genome Database (MGD), Gene Expression Database (GXD), Mouse Models of Human Cancer database (MMHCdb) (formerly Mouse Tumor Biology (MTB)), Gene Ontology (GO)
Citing These Resources
Funding Information
Warranty Disclaimer, Privacy Notice, Licensing, & Copyright
Send questions and comments to User Support.
last database update
12/30/2025
MGI 6.24
The Jackson Laboratory