About   Help   FAQ
Gene Expression Data
Assay Details
Assay
Reference: J:228563 Koscielny G, et al., The International Mouse Phenotyping Consortium Web Portal, a unified point of access for knockout mice and related phenotyping data. Nucleic Acids Res. 2014 Jan;42(Database issue):D802-9
Assay type: In situ reporter (knock in)
MGI Accession ID: MGI:6692479
Gene symbol: Mlc1
Gene name: megalencephalic leukoencephalopathy with subcortical cysts 1 homolog (human)
Reporter: lacZ
Direct Detection
Results
Specimen UC Davis_1863849: postnatal adult; Mlc1tm1.1(KOMP)Vlcg/Mlc1+ (more )
Structure Level Pattern Image Note
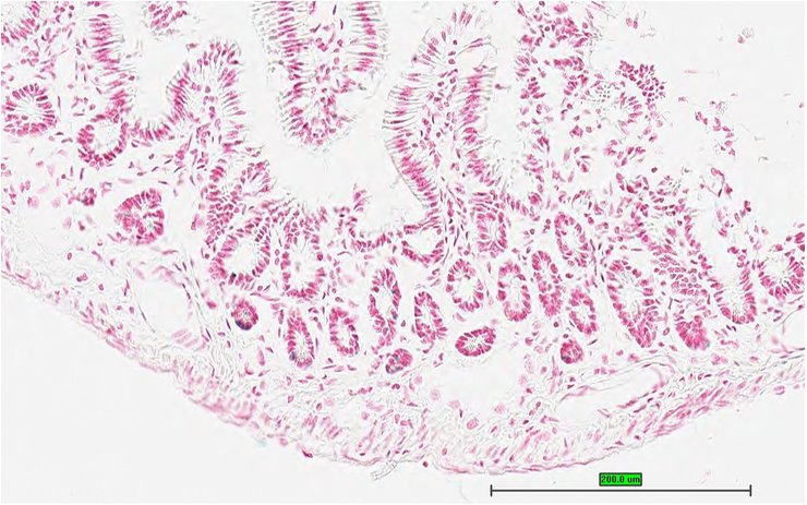
TS28: duodenum Present UC Davis_1863849

Specimen UC Davis_1863850: postnatal adult; Mlc1tm1.1(KOMP)Vlcg/Mlc1+ (more )
Structure Level Pattern Image Note
TS28: jejunum Present UC Davis_1863850

Specimen UC Davis_1863851: postnatal adult; Mlc1tm1.1(KOMP)Vlcg/Mlc1+ (more )
Structure Level Pattern Image Note
TS28: jejunum Present UC Davis_1863851

Specimen UC Davis_1863852: postnatal adult; Mlc1tm1.1(KOMP)Vlcg/Mlc1+ (more )
Structure Level Pattern Image Note
TS28: ileum Present UC Davis_1863852

Specimen UC Davis_1863853: postnatal adult; Mlc1tm1.1(KOMP)Vlcg/Mlc1+ (more )
Structure Level Pattern Image Note
TS28: tongue Present UC Davis_1863853

Specimen UC Davis_1863854: postnatal adult; Mlc1tm1.1(KOMP)Vlcg/Mlc1+ (more )
Structure Level Pattern Image Note
TS28: tongue Present UC Davis_1863854

Specimen UC Davis_1863855: postnatal adult; Mlc1tm1.1(KOMP)Vlcg/Mlc1+ (more )
Structure Level Pattern Image Note
TS28: spinal cord Present UC Davis_1863855

Specimen UC Davis_1863856: postnatal adult; Mlc1tm1.1(KOMP)Vlcg/Mlc1+ (more )
Structure Level Pattern Image Note
TS28: spinal cord Present UC Davis_1863856

Specimen UC Davis_1863857: postnatal adult; Mlc1tm1.1(KOMP)Vlcg/Mlc1+ (more )
Structure Level Pattern Image Note
TS28: spinal cord Present UC Davis_1863857

Specimen UC Davis_1863858: postnatal adult; Mlc1tm1.1(KOMP)Vlcg/Mlc1+ (more )
Structure Level Pattern Image Note
TS28: spinal cord Present UC Davis_1863858

Specimen UC Davis_1863859: postnatal adult; Mlc1tm1.1(KOMP)Vlcg/Mlc1+ (more )
Structure Level Pattern Image Note
TS28: eye Present UC Davis_1863859

Specimen UC Davis_1863860: postnatal adult; Mlc1tm1.1(KOMP)Vlcg/Mlc1+ (more )
Structure Level Pattern Image Note
TS28: eye Present UC Davis_1863860

Specimen UC Davis_1863861: postnatal adult; Mlc1tm1.1(KOMP)Vlcg/Mlc1+ (more )
Structure Level Pattern Image Note
TS28: eye Present UC Davis_1863861

Specimen UC Davis_1863862: postnatal adult; Mlc1tm1.1(KOMP)Vlcg/Mlc1+ (more )
Structure Level Pattern Image Note
TS28: olfactory lobe Present UC Davis_1863862

Specimen UC Davis_1863866: postnatal adult; Mlc1tm1.1(KOMP)Vlcg/Mlc1+ (more )
Structure Level Pattern Image Note
TS28: midbrain Present UC Davis_1863866

Specimen UC Davis_1863867: postnatal adult; Mlc1tm1.1(KOMP)Vlcg/Mlc1+ (more )
Structure Level Pattern Image Note
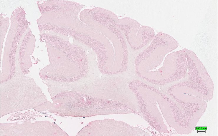
TS28: cerebellum Present UC Davis_1863867

Specimen UC Davis_1863868: postnatal adult; Mlc1tm1.1(KOMP)Vlcg/Mlc1+ (more )
Structure Level Pattern Image Note
TS28: esophagus Present UC Davis_1863868

Specimen UC Davis_1863870: postnatal adult; Mlc1tm1.1(KOMP)Vlcg/Mlc1+ (more )
Structure Level Pattern Image Note
TS28: duodenum Present UC Davis_1863870

Specimen UC Davis_1863871: postnatal adult; Mlc1tm1.1(KOMP)Vlcg/Mlc1+ (more )
Structure Level Pattern Image Note
TS28: duodenum Present UC Davis_1863871

Specimen UC Davis_1863872: postnatal adult; Mlc1tm1.1(KOMP)Vlcg/Mlc1+ (more )
Structure Level Pattern Image Note
TS28: jejunum Present UC Davis_1863872

Specimen UC Davis_1863873: postnatal adult; Mlc1tm1.1(KOMP)Vlcg/Mlc1+ (more )
Structure Level Pattern Image Note
TS28: ileum Present UC Davis_1863873

Specimen UC Davis_1863874: postnatal adult; Mlc1tm1.1(KOMP)Vlcg/Mlc1+ (more )
Structure Level Pattern Image Note
TS28: spinal cord Present UC Davis_1863874

Specimen UC Davis_1863875: postnatal adult; Mlc1tm1.1(KOMP)Vlcg/Mlc1+ (more )
Structure Level Pattern Image Note
TS28: olfactory lobe Present UC Davis_1863875

Specimen UC Davis_1863879: postnatal adult; Mlc1tm1.1(KOMP)Vlcg/Mlc1+ (more )
Structure Level Pattern Image Note
TS28: midbrain Present UC Davis_1863879

Specimen UC Davis_1863882: postnatal adult; Mlc1tm1.1(KOMP)Vlcg/Mlc1+ (more )
Structure Level Pattern Image Note
TS28: cerebellum Present UC Davis_1863882

Specimen UC Davis_1863883: postnatal adult; Mlc1tm1.1(KOMP)Vlcg/Mlc1+ (more )
Structure Level Pattern Image Note
TS28: testis Present UC Davis_1863883

Specimen UC Davis_1863884: postnatal adult; Mlc1tm1.1(KOMP)Vlcg/Mlc1+ (more )
Structure Level Pattern Image Note
TS28: epididymis Present UC Davis_1863884

Specimen UC Davis_1863885: postnatal adult; Mlc1tm1.1(KOMP)Vlcg/Mlc1+ (more )
Structure Level Pattern Image Note
TS28: prostate gland Present UC Davis_1863885

Specimen UC Davis_1863886: postnatal adult; Mlc1tm1.1(KOMP)Vlcg/Mlc1+ (more )
Structure Level Pattern Image Note
TS28: ductus deferens Present UC Davis_1863886 vas deferens


Contributing Projects:
Mouse Genome Database (MGD), Gene Expression Database (GXD), Mouse Models of Human Cancer database (MMHCdb) (formerly Mouse Tumor Biology (MTB)), Gene Ontology (GO)
Citing These Resources
Funding Information
Warranty Disclaimer, Privacy Notice, Licensing, & Copyright
Send questions and comments to User Support.
last database update
01/20/2026
MGI 6.24
The Jackson Laboratory