About   Help   FAQ
Gene Expression Data
Assay Details
Assay
Reference: J:228563 Koscielny G, et al., The International Mouse Phenotyping Consortium Web Portal, a unified point of access for knockout mice and related phenotyping data. Nucleic Acids Res. 2014 Jan;42(Database issue):D802-9
Assay type: In situ reporter (knock in)
MGI Accession ID: MGI:6692471
Gene symbol: Ripk3
Gene name: receptor-interacting serine-threonine kinase 3
Reporter: lacZ
Direct Detection
Results
Specimen UC Davis_1865439: postnatal adult; Ripk3tm1.1(KOMP)Wtsi/Ripk3+ (more )
Structure Level Pattern Image Note
TS28: esophagus Present UC Davis_1865439

Specimen UC Davis_1865440: postnatal adult; Ripk3tm1.1(KOMP)Wtsi/Ripk3+ (more )
Structure Level Pattern Image Note
TS28: jejunum Present UC Davis_1865440

Specimen UC Davis_1865441: postnatal adult; Ripk3tm1.1(KOMP)Wtsi/Ripk3+ (more )
Structure Level Pattern Image Note
TS28: ileum Present UC Davis_1865441

Specimen UC Davis_1865430: postnatal adult; Ripk3tm1.1(KOMP)Wtsi/Ripk3+ (more )
Structure Level Pattern Image Note
TS28: ileum Present UC Davis_1865430

Specimen UC Davis_1865431: postnatal adult; Ripk3tm1.1(KOMP)Wtsi/Ripk3+ (more )
Structure Level Pattern Image Note
TS28: ileum Present UC Davis_1865431

Specimen UC Davis_1865432: postnatal adult; Ripk3tm1.1(KOMP)Wtsi/Ripk3+ (more )
Structure Level Pattern Image Note
TS28: testis Present UC Davis_1865432

Specimen UC Davis_1865433: postnatal adult; Ripk3tm1.1(KOMP)Wtsi/Ripk3+ (more )
Structure Level Pattern Image Note
TS28: testis Present UC Davis_1865433

Specimen UC Davis_1865434: postnatal adult; Ripk3tm1.1(KOMP)Wtsi/Ripk3+ (more )
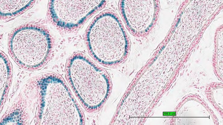
Structure Level Pattern Image Note
TS28: epididymis Present UC Davis_1865434

Specimen UC Davis_1865435: postnatal adult; Ripk3tm1.1(KOMP)Wtsi/Ripk3+ (more )
Structure Level Pattern Image Note
TS28: epididymis Present UC Davis_1865435

Specimen UC Davis_1865436: postnatal adult; Ripk3tm1.1(KOMP)Wtsi/Ripk3+ (more )
Structure Level Pattern Image Note
TS28: prostate gland Present UC Davis_1865436

Specimen UC Davis_1865437: postnatal adult; Ripk3tm1.1(KOMP)Wtsi/Ripk3+ (more )
Structure Level Pattern Image Note
TS28: prostate gland Present UC Davis_1865437

Specimen UC Davis_1865438: postnatal adult; Ripk3tm1.1(KOMP)Wtsi/Ripk3+ (more )
Structure Level Pattern Image Note
TS28: ductus deferens Present UC Davis_1865438 vas deferens

Specimen UC Davis_1865442: postnatal adult; Ripk3tm1.1(KOMP)Wtsi/Ripk3+ (more )
Structure Level Pattern Image Note
TS28: metanephros Present UC Davis_1865442 kidney

Specimen UC Davis_1865443: postnatal adult; Ripk3tm1.1(KOMP)Wtsi/Ripk3+ (more )
Structure Level Pattern Image Note
TS28: thyroid gland Present UC Davis_1865443

Specimen UC Davis_1865444: postnatal adult; Ripk3tm1.1(KOMP)Wtsi/Ripk3+ (more )
Structure Level Pattern Image Note
TS28: testis Present UC Davis_1865444


Contributing Projects:
Mouse Genome Database (MGD), Gene Expression Database (GXD), Mouse Models of Human Cancer database (MMHCdb) (formerly Mouse Tumor Biology (MTB)), Gene Ontology (GO)
Citing These Resources
Funding Information
Warranty Disclaimer, Privacy Notice, Licensing, & Copyright
Send questions and comments to User Support.
last database update
01/20/2026
MGI 6.24
The Jackson Laboratory