About   Help   FAQ
Gene Expression Data
Assay Details
Assay
Reference: J:228563 Koscielny G, et al., The International Mouse Phenotyping Consortium Web Portal, a unified point of access for knockout mice and related phenotyping data. Nucleic Acids Res. 2014 Jan;42(Database issue):D802-9
Assay type: In situ reporter (knock in)
MGI Accession ID: MGI:6692447
Gene symbol: Cygb
Gene name: cytoglobin
Reporter: lacZ
Direct Detection
Results
Specimen UC Davis_1879267: postnatal adult; Cygbtm1b(EUCOMM)Wtsi/Cygb+ (more )
Structure Level Pattern Image Note
TS28: tongue Present UC Davis_1879267

Specimen UC Davis_1879268: postnatal adult; Cygbtm1b(EUCOMM)Wtsi/Cygb+ (more )
Structure Level Pattern Image Note
TS28: spinal cord Present UC Davis_1879268

Specimen UC Davis_1879269: postnatal adult; Cygbtm1b(EUCOMM)Wtsi/Cygb+ (more )
Structure Level Pattern Image Note
TS28: spinal cord Present UC Davis_1879269

Specimen UC Davis_1879270: postnatal adult; Cygbtm1b(EUCOMM)Wtsi/Cygb+ (more )
Structure Level Pattern Image Note
TS28: eye Present UC Davis_1879270

Specimen UC Davis_1879274: postnatal adult; Cygbtm1b(EUCOMM)Wtsi/Cygb+ (more )
Structure Level Pattern Image Note
TS28: midbrain Present UC Davis_1879274

Specimen UC Davis_1879276: postnatal adult; Cygbtm1b(EUCOMM)Wtsi/Cygb+ (more )
Structure Level Pattern Image Note
TS28: cerebellum Present UC Davis_1879276

Specimen UC Davis_1879277: postnatal adult; Cygbtm1b(EUCOMM)Wtsi/Cygb+ (more )
Structure Level Pattern Image Note
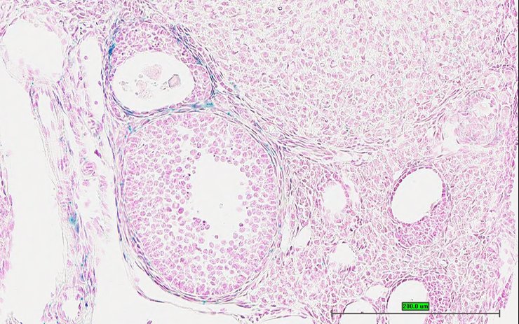
TS28: ovary Present UC Davis_1879277

Specimen UC Davis_1879279: postnatal adult; Cygbtm1b(EUCOMM)Wtsi/Cygb+ (more )
Structure Level Pattern Image Note
TS28: spinal cord Present UC Davis_1879279

Specimen UC Davis_1879280: postnatal adult; Cygbtm1b(EUCOMM)Wtsi/Cygb+ (more )
Structure Level Pattern Image Note
TS28: spinal cord Present UC Davis_1879280

Specimen UC Davis_1879281: postnatal adult; Cygbtm1b(EUCOMM)Wtsi/Cygb+ (more )
Structure Level Pattern Image Note
TS28: eye Present UC Davis_1879281

Specimen UC Davis_1879283: postnatal adult; Cygbtm1b(EUCOMM)Wtsi/Cygb+ (more )
Structure Level Pattern Image Note
TS28: midbrain Present UC Davis_1879283

Specimen UC Davis_1879285: postnatal adult; Cygbtm1b(EUCOMM)Wtsi/Cygb+ (more )
Structure Level Pattern Image Note
TS28: cerebellum Present UC Davis_1879285

Specimen UC Davis_1879286: postnatal adult; Cygbtm1b(EUCOMM)Wtsi/Cygb+ (more )
Structure Level Pattern Image Note
TS28: testis Present UC Davis_1879286

Specimen UC Davis_1879287: postnatal adult; Cygbtm1b(EUCOMM)Wtsi/Cygb+ (more )
Structure Level Pattern Image Note
TS28: epididymis Present UC Davis_1879287

Specimen UC Davis_1879288: postnatal adult; Cygbtm1b(EUCOMM)Wtsi/Cygb+ (more )
Structure Level Pattern Image Note
TS28: epididymis Present UC Davis_1879288


Contributing Projects:
Mouse Genome Database (MGD), Gene Expression Database (GXD), Mouse Models of Human Cancer database (MMHCdb) (formerly Mouse Tumor Biology (MTB)), Gene Ontology (GO)
Citing These Resources
Funding Information
Warranty Disclaimer, Privacy Notice, Licensing, & Copyright
Send questions and comments to User Support.
last database update
01/06/2026
MGI 6.24
The Jackson Laboratory