About   Help   FAQ
Gene Expression Data
Assay Details
Assay
Reference: J:228563 Koscielny G, et al., The International Mouse Phenotyping Consortium Web Portal, a unified point of access for knockout mice and related phenotyping data. Nucleic Acids Res. 2014 Jan;42(Database issue):D802-9
Assay type: In situ reporter (knock in)
MGI Accession ID: MGI:6692436
Gene symbol: Unc119b
Gene name: unc-119 lipid binding chaperone B
Reporter: lacZ
Direct Detection
Results
Specimen UC Davis_1863037: postnatal adult; Unc119btm1.1(KOMP)Vlcg/Unc119b+ (more )
Structure Level Pattern Image Note
TS28: trachea Present UC Davis_1863037

Specimen UC Davis_1863038: postnatal adult; Unc119btm1.1(KOMP)Vlcg/Unc119b+ (more )
Structure Level Pattern Image Note
TS28: lung Present UC Davis_1863038

Specimen UC Davis_1863039: postnatal adult; Unc119btm1.1(KOMP)Vlcg/Unc119b+ (more )
Structure Level Pattern Image Note
TS28: lung Present UC Davis_1863039

Specimen UC Davis_1863040: postnatal adult; Unc119btm1.1(KOMP)Vlcg/Unc119b+ (more )
Structure Level Pattern Image Note
TS28: lung Present UC Davis_1863040

Specimen UC Davis_1863041: postnatal adult; Unc119btm1.1(KOMP)Vlcg/Unc119b+ (more )
Structure Level Pattern Image Note
TS28: jejunum Present UC Davis_1863041

Specimen UC Davis_1863042: postnatal adult; Unc119btm1.1(KOMP)Vlcg/Unc119b+ (more )
Structure Level Pattern Image Note
TS28: ileum Present UC Davis_1863042

Specimen UC Davis_1863043: postnatal adult; Unc119btm1.1(KOMP)Vlcg/Unc119b+ (more )
Structure Level Pattern Image Note
TS28: metanephros Present UC Davis_1863043 kidney

Specimen UC Davis_1863044: postnatal adult; Unc119btm1.1(KOMP)Vlcg/Unc119b+ (more )
Structure Level Pattern Image Note
TS28: tongue Present UC Davis_1863044

Specimen UC Davis_1863045: postnatal adult; Unc119btm1.1(KOMP)Vlcg/Unc119b+ (more )
Structure Level Pattern Image Note
TS28: spinal cord Present UC Davis_1863045

Specimen UC Davis_1863046: postnatal adult; Unc119btm1.1(KOMP)Vlcg/Unc119b+ (more )
Structure Level Pattern Image Note
TS28: spinal cord Present UC Davis_1863046

Specimen UC Davis_1863047: postnatal adult; Unc119btm1.1(KOMP)Vlcg/Unc119b+ (more )
Structure Level Pattern Image Note
TS28: spinal cord Present UC Davis_1863047

Specimen UC Davis_1863048: postnatal adult; Unc119btm1.1(KOMP)Vlcg/Unc119b+ (more )
Structure Level Pattern Image Note
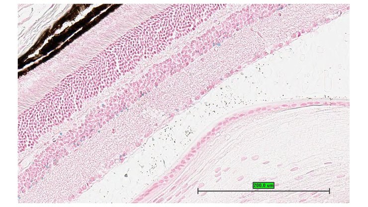
TS28: eye Present UC Davis_1863048

Specimen UC Davis_1863049: postnatal adult; Unc119btm1.1(KOMP)Vlcg/Unc119b+ (more )
Structure Level Pattern Image Note
TS28: olfactory lobe Present UC Davis_1863049

Specimen UC Davis_1863053: postnatal adult; Unc119btm1.1(KOMP)Vlcg/Unc119b+ (more )
Structure Level Pattern Image Note
TS28: midbrain Present UC Davis_1863053

Specimen UC Davis_1863055: postnatal adult; Unc119btm1.1(KOMP)Vlcg/Unc119b+ (more )
Structure Level Pattern Image Note
TS28: oviduct Present UC Davis_1863055

Specimen UC Davis_1863056: postnatal adult; Unc119btm1.1(KOMP)Vlcg/Unc119b+ (more )
Structure Level Pattern Image Note
TS28: trachea Present UC Davis_1863056

Specimen UC Davis_1863057: postnatal adult; Unc119btm1.1(KOMP)Vlcg/Unc119b+ (more )
Structure Level Pattern Image Note
TS28: trachea Present UC Davis_1863057

Specimen UC Davis_1863058: postnatal adult; Unc119btm1.1(KOMP)Vlcg/Unc119b+ (more )
Structure Level Pattern Image Note
TS28: trachea Present UC Davis_1863058

Specimen UC Davis_1863059: postnatal adult; Unc119btm1.1(KOMP)Vlcg/Unc119b+ (more )
Structure Level Pattern Image Note
TS28: esophagus Present UC Davis_1863059

Specimen UC Davis_1863062: postnatal adult; Unc119btm1.1(KOMP)Vlcg/Unc119b+ (more )
Structure Level Pattern Image Note
TS28: lung Present UC Davis_1863062

Specimen UC Davis_1863063: postnatal adult; Unc119btm1.1(KOMP)Vlcg/Unc119b+ (more )
Structure Level Pattern Image Note
TS28: lung Present UC Davis_1863063

Specimen UC Davis_1863064: postnatal adult; Unc119btm1.1(KOMP)Vlcg/Unc119b+ (more )
Structure Level Pattern Image Note
TS28: ileum Present UC Davis_1863064

Specimen UC Davis_1863065: postnatal adult; Unc119btm1.1(KOMP)Vlcg/Unc119b+ (more )
Structure Level Pattern Image Note
TS28: spinal cord Present UC Davis_1863065

Specimen UC Davis_1863066: postnatal adult; Unc119btm1.1(KOMP)Vlcg/Unc119b+ (more )
Structure Level Pattern Image Note
TS28: eye Present UC Davis_1863066

Specimen UC Davis_1863067: postnatal adult; Unc119btm1.1(KOMP)Vlcg/Unc119b+ (more )
Structure Level Pattern Image Note
TS28: eye Present UC Davis_1863067

Specimen UC Davis_1863068: postnatal adult; Unc119btm1.1(KOMP)Vlcg/Unc119b+ (more )
Structure Level Pattern Image Note
TS28: olfactory lobe Present UC Davis_1863068

Specimen UC Davis_1863069: postnatal adult; Unc119btm1.1(KOMP)Vlcg/Unc119b+ (more )
Structure Level Pattern Image Note
TS28: olfactory lobe Present UC Davis_1863069

Specimen UC Davis_1863072: postnatal adult; Unc119btm1.1(KOMP)Vlcg/Unc119b+ (more )
Structure Level Pattern Image Note
TS28: midbrain Present UC Davis_1863072

Specimen UC Davis_1863074: postnatal adult; Unc119btm1.1(KOMP)Vlcg/Unc119b+ (more )
Structure Level Pattern Image Note
TS28: testis Present UC Davis_1863074

Specimen UC Davis_1863075: postnatal adult; Unc119btm1.1(KOMP)Vlcg/Unc119b+ (more )
Structure Level Pattern Image Note
TS28: testis Present UC Davis_1863075

Specimen UC Davis_1863076: postnatal adult; Unc119btm1.1(KOMP)Vlcg/Unc119b+ (more )
Structure Level Pattern Image Note
TS28: epididymis Present UC Davis_1863076

Specimen UC Davis_1863077: postnatal adult; Unc119btm1.1(KOMP)Vlcg/Unc119b+ (more )
Structure Level Pattern Image Note
TS28: epididymis Present UC Davis_1863077

Specimen UC Davis_1863078: postnatal adult; Unc119btm1.1(KOMP)Vlcg/Unc119b+ (more )
Structure Level Pattern Image Note
TS28: prostate gland Present UC Davis_1863078

Specimen UC Davis_1863079: postnatal adult; Unc119btm1.1(KOMP)Vlcg/Unc119b+ (more )
Structure Level Pattern Image Note
TS28: prostate gland Present UC Davis_1863079

Specimen UC Davis_1863080: postnatal adult; Unc119btm1.1(KOMP)Vlcg/Unc119b+ (more )
Structure Level Pattern Image Note
TS28: olfactory lobe Present UC Davis_1863080

Specimen UC Davis_1863083: postnatal adult; Unc119btm1.1(KOMP)Vlcg/Unc119b+ (more )
Structure Level Pattern Image Note
TS28: midbrain Present UC Davis_1863083

Specimen UC Davis_1863084: postnatal adult; Unc119btm1.1(KOMP)Vlcg/Unc119b+ (more )
Structure Level Pattern Image Note
TS28: brain Present UC Davis_1863084

Specimen UC Davis_1863085: postnatal adult; Unc119btm1.1(KOMP)Vlcg/Unc119b+ (more )
Structure Level Pattern Image Note
TS28: lung Present UC Davis_1863085

Specimen UC Davis_1863086: postnatal adult; Unc119btm1.1(KOMP)Vlcg/Unc119b+ (more )
Structure Level Pattern Image Note
TS28: metanephros Present UC Davis_1863086 kidney

Specimen UC Davis_1863087: postnatal adult; Unc119btm1.1(KOMP)Vlcg/Unc119b+ (more )
Structure Level Pattern Image Note
TS28: spinal cord Present UC Davis_1863087

Specimen UC Davis_1863088: postnatal adult; Unc119btm1.1(KOMP)Vlcg/Unc119b+ (more )
Structure Level Pattern Image Note
TS28: testis Present UC Davis_1863088

Specimen UC Davis_1863089: postnatal adult; Unc119btm1.1(KOMP)Vlcg/Unc119b+ (more )
Structure Level Pattern Image Note
TS28: epididymis Present UC Davis_1863089


Contributing Projects:
Mouse Genome Database (MGD), Gene Expression Database (GXD), Mouse Models of Human Cancer database (MMHCdb) (formerly Mouse Tumor Biology (MTB)), Gene Ontology (GO)
Citing These Resources
Funding Information
Warranty Disclaimer, Privacy Notice, Licensing, & Copyright
Send questions and comments to User Support.
last database update
01/20/2026
MGI 6.24
The Jackson Laboratory