About   Help   FAQ
Gene Expression Data
Assay Details
Assay
Reference: J:228563 Koscielny G, et al., The International Mouse Phenotyping Consortium Web Portal, a unified point of access for knockout mice and related phenotyping data. Nucleic Acids Res. 2014 Jan;42(Database issue):D802-9
Assay type: In situ reporter (knock in)
MGI Accession ID: MGI:6692433
Gene symbol: Gpsm3
Gene name: G-protein signalling modulator 3 (AGS3-like, C. elegans)
Reporter: lacZ
Direct Detection
Results
Specimen UC Davis_1864067: postnatal adult; Gpsm3tm1.1(KOMP)Wtsi/Gpsm3+ (more )
Structure Level Pattern Image Note
TS28: esophagus Present UC Davis_1864067

Specimen UC Davis_1864068: postnatal adult; Gpsm3tm1.1(KOMP)Wtsi/Gpsm3+ (more )
Structure Level Pattern Image Note
TS28: thymus Present UC Davis_1864068

Specimen UC Davis_1864069: postnatal adult; Gpsm3tm1.1(KOMP)Wtsi/Gpsm3+ (more )
Structure Level Pattern Image Note
TS28: thymus Present UC Davis_1864069

Specimen UC Davis_1864070: postnatal adult; Gpsm3tm1.1(KOMP)Wtsi/Gpsm3+ (more )
Structure Level Pattern Image Note
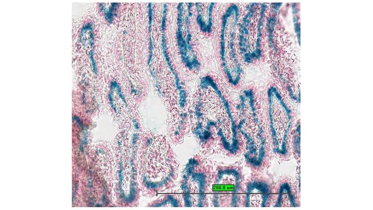
TS28: jejunum Present UC Davis_1864070

Specimen UC Davis_1864071: postnatal adult; Gpsm3tm1.1(KOMP)Wtsi/Gpsm3+ (more )
Structure Level Pattern Image Note
TS28: ileum Present UC Davis_1864071

Specimen UC Davis_1864072: postnatal adult; Gpsm3tm1.1(KOMP)Wtsi/Gpsm3+ (more )
Structure Level Pattern Image Note
TS28: skin Present UC Davis_1864072

Specimen UC Davis_1864073: postnatal adult; Gpsm3tm1.1(KOMP)Wtsi/Gpsm3+ (more )
Structure Level Pattern Image Note
TS28: skin Present UC Davis_1864073

Specimen UC Davis_1864066: postnatal adult; Gpsm3tm1.1(KOMP)Wtsi/Gpsm3+ (more )
Structure Level Pattern Image Note
TS28: epididymis Present UC Davis_1864066


Contributing Projects:
Mouse Genome Database (MGD), Gene Expression Database (GXD), Mouse Models of Human Cancer database (MMHCdb) (formerly Mouse Tumor Biology (MTB)), Gene Ontology (GO)
Citing These Resources
Funding Information
Warranty Disclaimer, Privacy Notice, Licensing, & Copyright
Send questions and comments to User Support.
last database update
12/30/2025
MGI 6.24
The Jackson Laboratory