About   Help   FAQ
Gene Expression Data
Assay Details
Assay
Reference: J:228563 Koscielny G, et al., The International Mouse Phenotyping Consortium Web Portal, a unified point of access for knockout mice and related phenotyping data. Nucleic Acids Res. 2014 Jan;42(Database issue):D802-9
Assay type: In situ reporter (knock in)
MGI Accession ID: MGI:6692407
Gene symbol: Enkd1
Gene name: enkurin domain containing 1
Reporter: lacZ
Direct Detection
Results
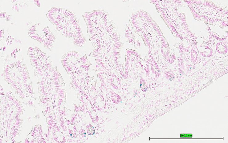
Specimen UC Davis_1883348: postnatal adult; Enkd1tm1.1(KOMP)Vlcg/Enkd1+ (more )
Structure Level Pattern Image Note
TS28: ileum Present UC Davis_1883348

Specimen UC Davis_1883349: postnatal adult; Enkd1tm1.1(KOMP)Vlcg/Enkd1+ (more )
Structure Level Pattern Image Note
TS28: ileum Present UC Davis_1883349

Specimen UC Davis_1883343: postnatal adult; Enkd1tm1.1(KOMP)Vlcg/Enkd1+ (more )
Structure Level Pattern Image Note
TS28: ileum Present UC Davis_1883343

Specimen UC Davis_1883344: postnatal adult; Enkd1tm1.1(KOMP)Vlcg/Enkd1+ (more )
Structure Level Pattern Image Note
TS28: testis Present UC Davis_1883344

Specimen UC Davis_1883345: postnatal adult; Enkd1tm1.1(KOMP)Vlcg/Enkd1+ (more )
Structure Level Pattern Image Note
TS28: epididymis Present UC Davis_1883345

Specimen UC Davis_1883346: postnatal adult; Enkd1tm1.1(KOMP)Vlcg/Enkd1+ (more )
Structure Level Pattern Image Note
TS28: prostate gland Present UC Davis_1883346

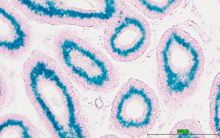
Specimen UC Davis_1883347: postnatal adult; Enkd1tm1.1(KOMP)Vlcg/Enkd1+ (more )
Structure Level Pattern Image Note
TS28: ductus deferens Present UC Davis_1883347 vas deferens


Contributing Projects:
Mouse Genome Database (MGD), Gene Expression Database (GXD), Mouse Models of Human Cancer database (MMHCdb) (formerly Mouse Tumor Biology (MTB)), Gene Ontology (GO)
Citing These Resources
Funding Information
Warranty Disclaimer, Privacy Notice, Licensing, & Copyright
Send questions and comments to User Support.
last database update
12/30/2025
MGI 6.24
The Jackson Laboratory