About   Help   FAQ
Gene Expression Data
Assay Details
Assay
Reference: J:228563 Koscielny G, et al., The International Mouse Phenotyping Consortium Web Portal, a unified point of access for knockout mice and related phenotyping data. Nucleic Acids Res. 2014 Jan;42(Database issue):D802-9
Assay type: In situ reporter (knock in)
MGI Accession ID: MGI:6692378
Gene symbol: Olah
Gene name: oleoyl-ACP hydrolase
Reporter: lacZ
Direct Detection
Results
Specimen UC Davis_1855526: postnatal adult; Olahtm1b(KOMP)Wtsi/Olah+ (more )
Structure Level Pattern Image Note
TS28: epididymis Present UC Davis_1855526

Specimen UC Davis_1855527: postnatal adult; Olahtm1b(KOMP)Wtsi/Olah+ (more )
Structure Level Pattern Image Note
TS28: ductus deferens Present UC Davis_1855527 vas deferens

Specimen UC Davis_1855530: postnatal adult; Olahtm1b(KOMP)Wtsi/Olah+ (more )
Structure Level Pattern Image Note
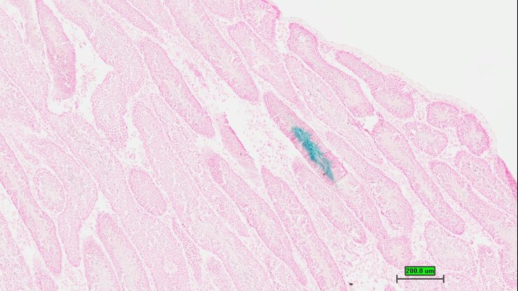
TS28: testis Present UC Davis_1855530

Specimen UC Davis_1855531: postnatal adult; Olahtm1b(KOMP)Wtsi/Olah+ (more )
Structure Level Pattern Image Note
TS28: testis Present UC Davis_1855531

Specimen UC Davis_1855532: postnatal adult; Olahtm1b(KOMP)Wtsi/Olah+ (more )
Structure Level Pattern Image Note
TS28: testis Present UC Davis_1855532

Specimen UC Davis_1855533: postnatal adult; Olahtm1b(KOMP)Wtsi/Olah+ (more )
Structure Level Pattern Image Note
TS28: testis Present UC Davis_1855533

Specimen UC Davis_1855534: postnatal adult; Olahtm1b(KOMP)Wtsi/Olah+ (more )
Structure Level Pattern Image Note
TS28: testis Present UC Davis_1855534

Specimen UC Davis_1855535: postnatal adult; Olahtm1b(KOMP)Wtsi/Olah+ (more )
Structure Level Pattern Image Note
TS28: epididymis Present UC Davis_1855535

Specimen UC Davis_1855536: postnatal adult; Olahtm1b(KOMP)Wtsi/Olah+ (more )
Structure Level Pattern Image Note
TS28: epididymis Present UC Davis_1855536

Specimen UC Davis_1855537: postnatal adult; Olahtm1b(KOMP)Wtsi/Olah+ (more )
Structure Level Pattern Image Note
TS28: epididymis Present UC Davis_1855537

Specimen UC Davis_1855538: postnatal adult; Olahtm1b(KOMP)Wtsi/Olah+ (more )
Structure Level Pattern Image Note
TS28: prostate gland Present UC Davis_1855538

Specimen UC Davis_1855539: postnatal adult; Olahtm1b(KOMP)Wtsi/Olah+ (more )
Structure Level Pattern Image Note
TS28: prostate gland Present UC Davis_1855539

Specimen UC Davis_1855540: postnatal adult; Olahtm1b(KOMP)Wtsi/Olah+ (more )
Structure Level Pattern Image Note
TS28: prostate gland Present UC Davis_1855540

Specimen UC Davis_1855541: postnatal adult; Olahtm1b(KOMP)Wtsi/Olah+ (more )
Structure Level Pattern Image Note
TS28: ductus deferens Present UC Davis_1855541 vas deferens

Specimen UC Davis_1855542: postnatal adult; Olahtm1b(KOMP)Wtsi/Olah+ (more )
Structure Level Pattern Image Note
TS28: ductus deferens Present UC Davis_1855542 vas deferens

Specimen UC Davis_1855548: postnatal adult; Olahtm1b(KOMP)Wtsi/Olah+ (more )
Structure Level Pattern Image Note
TS28: testis Present UC Davis_1855548


Contributing Projects:
Mouse Genome Database (MGD), Gene Expression Database (GXD), Mouse Models of Human Cancer database (MMHCdb) (formerly Mouse Tumor Biology (MTB)), Gene Ontology (GO)
Citing These Resources
Funding Information
Warranty Disclaimer, Privacy Notice, Licensing, & Copyright
Send questions and comments to User Support.
last database update
01/20/2026
MGI 6.24
The Jackson Laboratory