About   Help   FAQ
Gene Expression Data
Assay Details
Assay
Reference: J:228563 Koscielny G, et al., The International Mouse Phenotyping Consortium Web Portal, a unified point of access for knockout mice and related phenotyping data. Nucleic Acids Res. 2014 Jan;42(Database issue):D802-9
Assay type: In situ reporter (knock in)
MGI Accession ID: MGI:6692377
Gene symbol: Prom2
Gene name: prominin 2
Reporter: lacZ
Direct Detection
Results
Specimen JAX_1469268: embryonic day 12.5; Prom2tm1.1(KOMP)Vlcg/Prom2+ (more )
Structure Level Pattern Image Note
TS20: embryo Present JAX_1469268

Specimen JAX_1469269: embryonic day 12.5; Prom2tm1.1(KOMP)Vlcg/Prom2+ (more )
Structure Level Pattern Image Note
TS20: embryo Present JAX_1469269

Specimen JAX_1469270: embryonic day 12.5; Prom2tm1.1(KOMP)Vlcg/Prom2+ (more )
Structure Level Pattern Image Note
TS20: embryo Present JAX_1469270

Specimen JAX_1469271: embryonic day 12.5; Prom2tm1.1(KOMP)Vlcg/Prom2+ (more )
Structure Level Pattern Image Note
TS20: embryo Present JAX_1469271

Specimen JAX_266319: embryonic day 12.5; Prom2tm1.1(KOMP)Vlcg/Prom2+ (more )
Structure Level Pattern Image Note
TS20: embryo Present JAX_266319

Specimen JAX_266321: embryonic day 12.5; Prom2tm1.1(KOMP)Vlcg/Prom2+ (more )
Structure Level Pattern Image Note
TS20: embryo Present JAX_266321

Specimen JAX_266323: embryonic day 12.5; Prom2tm1.1(KOMP)Vlcg/Prom2+ (more )
Structure Level Pattern Image Note
TS20: embryo Present JAX_266323

Specimen JAX_266325: embryonic day 12.5; Prom2tm1.1(KOMP)Vlcg/Prom2+ (more )
Structure Level Pattern Image Note
TS20: embryo Present JAX_266325

Specimen JAX_1797032: postnatal adult; Prom2tm1.1(KOMP)Vlcg/Prom2+ (more )
Structure Level Pattern Image Note
TS28: ovary Present JAX_1797032

Specimen JAX_1797033: postnatal adult; Prom2tm1.1(KOMP)Vlcg/Prom2+ (more )
Structure Level Pattern Image Note
TS28: skin Absent JAX_1797033

Specimen JAX_1797018: postnatal adult; Prom2tm1.1(KOMP)Vlcg/Prom2+ (more )
Structure Level Pattern Image Note
TS28: testis Present JAX_1797018

Specimen JAX_1797019: postnatal adult; Prom2tm1.1(KOMP)Vlcg/Prom2+ (more )
Structure Level Pattern Image Note
TS28: metanephros Present JAX_1797019 kidney

Specimen JAX_1797020: postnatal adult; Prom2tm1.1(KOMP)Vlcg/Prom2+ (more )
Structure Level Pattern Image Note
TS28: bladder Present JAX_1797020

Specimen JAX_1797021: postnatal adult; Prom2tm1.1(KOMP)Vlcg/Prom2+ (more )
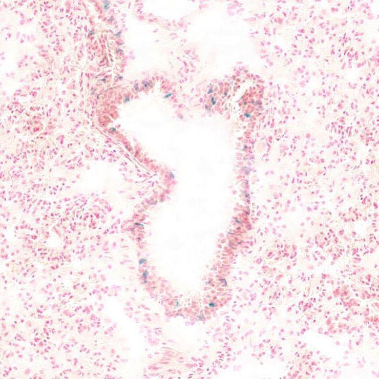
Structure Level Pattern Image Note
TS28: lung Present JAX_1797021

Specimen JAX_1797022: postnatal adult; Prom2tm1.1(KOMP)Vlcg/Prom2+ (more )
Structure Level Pattern Image Note
TS28: skin Present JAX_1797022

Specimen JAX_1797023: postnatal adult; Prom2tm1.1(KOMP)Vlcg/Prom2+ (more )
Structure Level Pattern Image Note
TS28: submandibular gland Present JAX_1797023

Specimen JAX_1797024: postnatal adult; Prom2tm1.1(KOMP)Vlcg/Prom2+ (more )
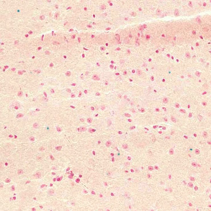
Structure Level Pattern Image Note
TS28: brainstem Present JAX_1797024

Specimen JAX_1797025: postnatal adult; Prom2tm1.1(KOMP)Vlcg/Prom2+ (more )
Structure Level Pattern Image Note
TS28: cerebral cortex Present JAX_1797025

Specimen JAX_1797026: postnatal adult; Prom2tm1.1(KOMP)Vlcg/Prom2+ (more )
Structure Level Pattern Image Note
TS28: cerebellum Present JAX_1797026

Specimen JAX_1797027: postnatal adult; Prom2tm1.1(KOMP)Vlcg/Prom2+ (more )
Structure Level Pattern Image Note
TS28: hippocampus Present JAX_1797027

Specimen JAX_1797028: postnatal adult; Prom2tm1.1(KOMP)Vlcg/Prom2+ (more )
Structure Level Pattern Image Note
TS28: thalamus Present JAX_1797028

Specimen JAX_1797029: postnatal adult; Prom2tm1.1(KOMP)Vlcg/Prom2+ (more )
Structure Level Pattern Image Note
TS28: hypothalamus Present JAX_1797029

Specimen JAX_1797030: postnatal adult; Prom2tm1.1(KOMP)Vlcg/Prom2+ (more )
Structure Level Pattern Image Note
TS28: olfactory lobe Present JAX_1797030

Specimen JAX_1797031: postnatal adult; Prom2tm1.1(KOMP)Vlcg/Prom2+ (more )
Structure Level Pattern Image Note
TS28: midbrain Present JAX_1797031


Contributing Projects:
Mouse Genome Database (MGD), Gene Expression Database (GXD), Mouse Models of Human Cancer database (MMHCdb) (formerly Mouse Tumor Biology (MTB)), Gene Ontology (GO)
Citing These Resources
Funding Information
Warranty Disclaimer, Privacy Notice, Licensing, & Copyright
Send questions and comments to User Support.
last database update
03/24/2026
MGI 6.24
The Jackson Laboratory