About   Help   FAQ
Gene Expression Data
Assay Details
Assay
Reference: J:228563 Koscielny G, et al., The International Mouse Phenotyping Consortium Web Portal, a unified point of access for knockout mice and related phenotyping data. Nucleic Acids Res. 2014 Jan;42(Database issue):D802-9
Assay type: In situ reporter (knock in)
MGI Accession ID: MGI:6692371
Gene symbol: Kmo
Gene name: kynurenine 3-monooxygenase
Reporter: lacZ
Direct Detection
Results
Specimen UC Davis_1855829: postnatal adult; Kmotm1b(KOMP)Wtsi/Kmo+ (more )
Structure Level Pattern Image Note
TS28: testis Present UC Davis_1855829

Specimen UC Davis_1855830: postnatal adult; Kmotm1b(KOMP)Wtsi/Kmo+ (more )
Structure Level Pattern Image Note
TS28: testis Present UC Davis_1855830

Specimen UC Davis_1855831: postnatal adult; Kmotm1b(KOMP)Wtsi/Kmo+ (more )
Structure Level Pattern Image Note
TS28: testis Present UC Davis_1855831

Specimen UC Davis_1855832: postnatal adult; Kmotm1b(KOMP)Wtsi/Kmo+ (more )
Structure Level Pattern Image Note
TS28: epididymis Present UC Davis_1855832

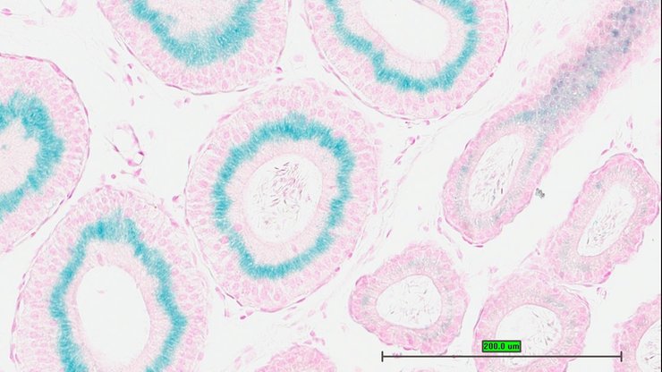
Specimen UC Davis_1855833: postnatal adult; Kmotm1b(KOMP)Wtsi/Kmo+ (more )
Structure Level Pattern Image Note
TS28: epididymis Present UC Davis_1855833

Specimen UC Davis_1855834: postnatal adult; Kmotm1b(KOMP)Wtsi/Kmo+ (more )
Structure Level Pattern Image Note
TS28: epididymis Present UC Davis_1855834

Specimen UC Davis_1855835: postnatal adult; Kmotm1b(KOMP)Wtsi/Kmo+ (more )
Structure Level Pattern Image Note
TS28: ductus deferens Present UC Davis_1855835 vas deferens

Specimen UC Davis_1855836: postnatal adult; Kmotm1b(KOMP)Wtsi/Kmo+ (more )
Structure Level Pattern Image Note
TS28: ductus deferens Present UC Davis_1855836 vas deferens

Specimen UC Davis_1855837: postnatal adult; Kmotm1b(KOMP)Wtsi/Kmo+ (more )
Structure Level Pattern Image Note
TS28: ductus deferens Present UC Davis_1855837 vas deferens

Specimen UC Davis_1855838: postnatal adult; Kmotm1b(KOMP)Wtsi/Kmo+ (more )
Structure Level Pattern Image Note
TS28: tongue Present UC Davis_1855838


Contributing Projects:
Mouse Genome Database (MGD), Gene Expression Database (GXD), Mouse Models of Human Cancer database (MMHCdb) (formerly Mouse Tumor Biology (MTB)), Gene Ontology (GO)
Citing These Resources
Funding Information
Warranty Disclaimer, Privacy Notice, Licensing, & Copyright
Send questions and comments to User Support.
last database update
12/30/2025
MGI 6.24
The Jackson Laboratory