About   Help   FAQ
Gene Expression Data
Assay Details
Assay
Reference: J:228563 Koscielny G, et al., The International Mouse Phenotyping Consortium Web Portal, a unified point of access for knockout mice and related phenotyping data. Nucleic Acids Res. 2014 Jan;42(Database issue):D802-9
Assay type: In situ reporter (knock in)
MGI Accession ID: MGI:6692351
Gene symbol: Camta2
Gene name: calmodulin binding transcription activator 2
Reporter: lacZ
Direct Detection
Results
Specimen UC Davis_1881741: postnatal adult; Camta2tm1b(EUCOMM)Wtsi/Camta2+ (more )
Structure Level Pattern Image Note
TS28: tongue Present UC Davis_1881741

Specimen UC Davis_1881742: postnatal adult; Camta2tm1b(EUCOMM)Wtsi/Camta2+ (more )
Structure Level Pattern Image Note
TS28: tongue Present UC Davis_1881742

Specimen UC Davis_1881743: postnatal adult; Camta2tm1b(EUCOMM)Wtsi/Camta2+ (more )
Structure Level Pattern Image Note
TS28: tongue Present UC Davis_1881743

Specimen UC Davis_1881744: postnatal adult; Camta2tm1b(EUCOMM)Wtsi/Camta2+ (more )
Structure Level Pattern Image Note
TS28: adrenal gland Present UC Davis_1881744

Specimen UC Davis_1881745: postnatal adult; Camta2tm1b(EUCOMM)Wtsi/Camta2+ (more )
Structure Level Pattern Image Note
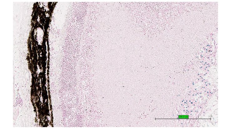
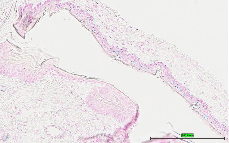
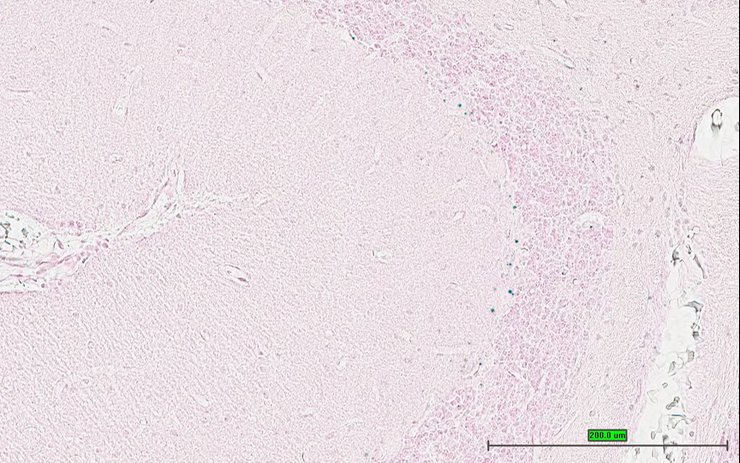
TS28: eye Present UC Davis_1881745

Specimen UC Davis_1881746: postnatal adult; Camta2tm1b(EUCOMM)Wtsi/Camta2+ (more )
Structure Level Pattern Image Note
TS28: midbrain Present UC Davis_1881746

Specimen UC Davis_1881748: postnatal adult; Camta2tm1b(EUCOMM)Wtsi/Camta2+ (more )
Structure Level Pattern Image Note
TS28: trigeminal nerve Present UC Davis_1881748

Specimen UC Davis_1881749: postnatal adult; Camta2tm1b(EUCOMM)Wtsi/Camta2+ (more )
Structure Level Pattern Image Note
TS28: bladder Present UC Davis_1881749

Specimen UC Davis_1881753: postnatal adult; Camta2tm1b(EUCOMM)Wtsi/Camta2+ (more )
Structure Level Pattern Image Note
TS28: stomach Present UC Davis_1881753

Specimen UC Davis_1881754: postnatal adult; Camta2tm1b(EUCOMM)Wtsi/Camta2+ (more )
Structure Level Pattern Image Note
TS28: stomach Present UC Davis_1881754

Specimen UC Davis_1881755: postnatal adult; Camta2tm1b(EUCOMM)Wtsi/Camta2+ (more )
Structure Level Pattern Image Note
TS28: metanephros Present UC Davis_1881755 kidney

Specimen UC Davis_1881756: postnatal adult; Camta2tm1b(EUCOMM)Wtsi/Camta2+ (more )
Structure Level Pattern Image Note
TS28: quadriceps femoris muscle Present UC Davis_1881756

Specimen UC Davis_1881757: postnatal adult; Camta2tm1b(EUCOMM)Wtsi/Camta2+ (more )
Structure Level Pattern Image Note
TS28: tongue Present UC Davis_1881757

Specimen UC Davis_1881758: postnatal adult; Camta2tm1b(EUCOMM)Wtsi/Camta2+ (more )
Structure Level Pattern Image Note
TS28: tongue Present UC Davis_1881758

Specimen UC Davis_1881759: postnatal adult; Camta2tm1b(EUCOMM)Wtsi/Camta2+ (more )
Structure Level Pattern Image Note
TS28: adrenal gland Present UC Davis_1881759

Specimen UC Davis_1881760: postnatal adult; Camta2tm1b(EUCOMM)Wtsi/Camta2+ (more )
Structure Level Pattern Image Note
TS28: adrenal gland Present UC Davis_1881760

Specimen UC Davis_1881761: postnatal adult; Camta2tm1b(EUCOMM)Wtsi/Camta2+ (more )
Structure Level Pattern Image Note
TS28: eye Present UC Davis_1881761

Specimen UC Davis_1881762: postnatal adult; Camta2tm1b(EUCOMM)Wtsi/Camta2+ (more )
Structure Level Pattern Image Note
TS28: eye Present UC Davis_1881762

Specimen UC Davis_1881764: postnatal adult; Camta2tm1b(EUCOMM)Wtsi/Camta2+ (more )
Structure Level Pattern Image Note
TS28: Harderian gland Present UC Davis_1881764

Specimen UC Davis_1881765: postnatal adult; Camta2tm1b(EUCOMM)Wtsi/Camta2+ (more )
Structure Level Pattern Image Note
TS28: skin Present UC Davis_1881765

Specimen UC Davis_1881769: postnatal adult; Camta2tm1b(EUCOMM)Wtsi/Camta2+ (more )
Structure Level Pattern Image Note
TS28: midbrain Present UC Davis_1881769

Specimen UC Davis_1881771: postnatal adult; Camta2tm1b(EUCOMM)Wtsi/Camta2+ (more )
Structure Level Pattern Image Note
TS28: cerebellum Present UC Davis_1881771

Specimen UC Davis_1881772: postnatal adult; Camta2tm1b(EUCOMM)Wtsi/Camta2+ (more )
Structure Level Pattern Image Note
TS28: trigeminal nerve Present UC Davis_1881772

Specimen UC Davis_1881773: postnatal adult; Camta2tm1b(EUCOMM)Wtsi/Camta2+ (more )
Structure Level Pattern Image Note
TS28: bladder Present UC Davis_1881773

Specimen UC Davis_1881774: postnatal adult; Camta2tm1b(EUCOMM)Wtsi/Camta2+ (more )
Structure Level Pattern Image Note
TS28: epididymis Present UC Davis_1881774

Specimen UC Davis_1881775: postnatal adult; Camta2tm1b(EUCOMM)Wtsi/Camta2+ (more )
Structure Level Pattern Image Note
TS28: prostate gland Present UC Davis_1881775

Specimen UC Davis_1881776: postnatal adult; Camta2tm1b(EUCOMM)Wtsi/Camta2+ (more )
Structure Level Pattern Image Note
TS28: penis Present UC Davis_1881776

Specimen UC Davis_1881777: postnatal adult; Camta2tm1b(EUCOMM)Wtsi/Camta2+ (more )
Structure Level Pattern Image Note
TS28: penis Present UC Davis_1881777

Specimen UC Davis_1881778: postnatal adult; Camta2tm1b(EUCOMM)Wtsi/Camta2+ (more )
Structure Level Pattern Image Note
TS28: ductus deferens Present UC Davis_1881778 vas deferens

Specimen UC Davis_1881779: postnatal adult; Camta2tm1b(EUCOMM)Wtsi/Camta2+ (more )
Structure Level Pattern Image Note
TS28: seminal vesicle Present UC Davis_1881779 vesicular gland


Contributing Projects:
Mouse Genome Database (MGD), Gene Expression Database (GXD), Mouse Models of Human Cancer database (MMHCdb) (formerly Mouse Tumor Biology (MTB)), Gene Ontology (GO)
Citing These Resources
Funding Information
Warranty Disclaimer, Privacy Notice, Licensing, & Copyright
Send questions and comments to User Support.
last database update
12/30/2025
MGI 6.24
The Jackson Laboratory