About   Help   FAQ
Gene Expression Data
Assay Details
Assay
Reference: J:228563 Koscielny G, et al., The International Mouse Phenotyping Consortium Web Portal, a unified point of access for knockout mice and related phenotyping data. Nucleic Acids Res. 2014 Jan;42(Database issue):D802-9
Assay type: In situ reporter (knock in)
MGI Accession ID: MGI:6692348
Gene symbol: Gpr63
Gene name: G protein-coupled receptor 63
Reporter: lacZ
Direct Detection
Results
Specimen UC Davis_1874335: postnatal adult; Gpr63tm1.1(KOMP)Vlcg/Gpr63+ (more )
Structure Level Pattern Image Note
TS28: ileum Present UC Davis_1874335

Specimen UC Davis_1874336: postnatal adult; Gpr63tm1.1(KOMP)Vlcg/Gpr63+ (more )
Structure Level Pattern Image Note
TS28: spinal cord Present UC Davis_1874336

Specimen UC Davis_1874337: postnatal adult; Gpr63tm1.1(KOMP)Vlcg/Gpr63+ (more )
Structure Level Pattern Image Note
TS28: spinal cord Present UC Davis_1874337

Specimen UC Davis_1874338: postnatal adult; Gpr63tm1.1(KOMP)Vlcg/Gpr63+ (more )
Structure Level Pattern Image Note
TS28: olfactory lobe Present UC Davis_1874338

Specimen UC Davis_1874341: postnatal adult; Gpr63tm1.1(KOMP)Vlcg/Gpr63+ (more )
Structure Level Pattern Image Note
TS28: midbrain Present UC Davis_1874341

Specimen UC Davis_1874343: postnatal adult; Gpr63tm1.1(KOMP)Vlcg/Gpr63+ (more )
Structure Level Pattern Image Note
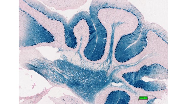
TS28: cerebellum Present UC Davis_1874343

Specimen UC Davis_1874345: postnatal adult; Gpr63tm1.1(KOMP)Vlcg/Gpr63+ (more )
Structure Level Pattern Image Note
TS28: thymus Present UC Davis_1874345

Specimen UC Davis_1874346: postnatal adult; Gpr63tm1.1(KOMP)Vlcg/Gpr63+ (more )
Structure Level Pattern Image Note
TS28: thymus Present UC Davis_1874346

Specimen UC Davis_1874347: postnatal adult; Gpr63tm1.1(KOMP)Vlcg/Gpr63+ (more )
Structure Level Pattern Image Note
TS28: ileum Present UC Davis_1874347

Specimen UC Davis_1874348: postnatal adult; Gpr63tm1.1(KOMP)Vlcg/Gpr63+ (more )
Structure Level Pattern Image Note
TS28: metanephros Present UC Davis_1874348 kidney

Specimen UC Davis_1874349: postnatal adult; Gpr63tm1.1(KOMP)Vlcg/Gpr63+ (more )
Structure Level Pattern Image Note
TS28: metanephros Present UC Davis_1874349 kidney

Specimen UC Davis_1874350: postnatal adult; Gpr63tm1.1(KOMP)Vlcg/Gpr63+ (more )
Structure Level Pattern Image Note
TS28: tongue Present UC Davis_1874350

Specimen UC Davis_1874351: postnatal adult; Gpr63tm1.1(KOMP)Vlcg/Gpr63+ (more )
Structure Level Pattern Image Note
TS28: spinal cord Present UC Davis_1874351

Specimen UC Davis_1874352: postnatal adult; Gpr63tm1.1(KOMP)Vlcg/Gpr63+ (more )
Structure Level Pattern Image Note
TS28: spinal cord Present UC Davis_1874352

Specimen UC Davis_1874353: postnatal adult; Gpr63tm1.1(KOMP)Vlcg/Gpr63+ (more )
Structure Level Pattern Image Note
TS28: olfactory lobe Present UC Davis_1874353

Specimen UC Davis_1874357: postnatal adult; Gpr63tm1.1(KOMP)Vlcg/Gpr63+ (more )
Structure Level Pattern Image Note
TS28: midbrain Present UC Davis_1874357

Specimen UC Davis_1874359: postnatal adult; Gpr63tm1.1(KOMP)Vlcg/Gpr63+ (more )
Structure Level Pattern Image Note
TS28: cerebellum Present UC Davis_1874359

Specimen UC Davis_1874360: postnatal adult; Gpr63tm1.1(KOMP)Vlcg/Gpr63+ (more )
Structure Level Pattern Image Note
TS28: trigeminal nerve Present UC Davis_1874360

Specimen UC Davis_1874361: postnatal adult; Gpr63tm1.1(KOMP)Vlcg/Gpr63+ (more )
Structure Level Pattern Image Note
TS28: epididymis Present UC Davis_1874361

Specimen UC Davis_1874362: postnatal adult; Gpr63tm1.1(KOMP)Vlcg/Gpr63+ (more )
Structure Level Pattern Image Note
TS28: prostate gland Present UC Davis_1874362

Specimen UC Davis_1874363: postnatal adult; Gpr63tm1.1(KOMP)Vlcg/Gpr63+ (more )
Structure Level Pattern Image Note
TS28: penis Present UC Davis_1874363

Specimen UC Davis_1874364: postnatal adult; Gpr63tm1.1(KOMP)Vlcg/Gpr63+ (more )
Structure Level Pattern Image Note
TS28: ductus deferens Present UC Davis_1874364 vas deferens


Contributing Projects:
Mouse Genome Database (MGD), Gene Expression Database (GXD), Mouse Models of Human Cancer database (MMHCdb) (formerly Mouse Tumor Biology (MTB)), Gene Ontology (GO)
Citing These Resources
Funding Information
Warranty Disclaimer, Privacy Notice, Licensing, & Copyright
Send questions and comments to User Support.
last database update
03/24/2026
MGI 6.24
The Jackson Laboratory