About   Help   FAQ
Gene Expression Data
Assay Details
Assay
Reference: J:228563 Koscielny G, et al., The International Mouse Phenotyping Consortium Web Portal, a unified point of access for knockout mice and related phenotyping data. Nucleic Acids Res. 2014 Jan;42(Database issue):D802-9
Assay type: In situ reporter (knock in)
MGI Accession ID: MGI:6692333
Gene symbol: Gpr87
Gene name: G protein-coupled receptor 87
Reporter: lacZ
Direct Detection
Results
Specimen JAX_1314325: embryonic day 12.5; Gpr87tm1.1(KOMP)Vlcg/Gpr87+ (more )
Structure Level Pattern Image Note
TS20: embryo Present JAX_1314325

Specimen JAX_1314326: embryonic day 12.5; Gpr87tm1.1(KOMP)Vlcg/Gpr87+ (more )
Structure Level Pattern Image Note
TS20: embryo Present JAX_1314326

Specimen JAX_1314327: embryonic day 12.5; Gpr87tm1.1(KOMP)Vlcg/Gpr87+ (more )
Structure Level Pattern Image Note
TS20: embryo Present JAX_1314327

Specimen JAX_1314328: embryonic day 12.5; Gpr87tm1.1(KOMP)Vlcg/Gpr87+ (more )
Structure Level Pattern Image Note
TS20: embryo Present JAX_1314328

Specimen JAX_1314329: embryonic day 12.5; Gpr87tm1.1(KOMP)Vlcg/Gpr87+ (more )
Structure Level Pattern Image Note
TS20: embryo Present JAX_1314329

Specimen JAX_1314330: embryonic day 12.5; Gpr87tm1.1(KOMP)Vlcg/Gpr87+ (more )
Structure Level Pattern Image Note
TS20: embryo Present JAX_1314330

Specimen JAX_1314331: embryonic day 12.5; Gpr87tm1.1(KOMP)Vlcg/Gpr87+ (more )
Structure Level Pattern Image Note
TS20: embryo Present JAX_1314331

Specimen JAX_1314332: embryonic day 12.5; Gpr87tm1.1(KOMP)Vlcg/Gpr87+ (more )
Structure Level Pattern Image Note
TS20: embryo Present JAX_1314332

Specimen JAX_1626547: postnatal adult; Gpr87tm1.1(KOMP)Vlcg/Gpr87+ (more )
Structure Level Pattern Image Note
TS28: bladder Present JAX_1626547

Specimen JAX_1626548: postnatal adult; Gpr87tm1.1(KOMP)Vlcg/Gpr87+ (more )
Structure Level Pattern Image Note
TS28: peripheral nervous system Present JAX_1626548

Specimen JAX_1626549: postnatal adult; Gpr87tm1.1(KOMP)Vlcg/Gpr87+ (more )
Structure Level Pattern Image Note
TS28: pancreas Present JAX_1626549

Specimen JAX_1626550: postnatal adult; Gpr87tm1.1(KOMP)Vlcg/Gpr87+ (more )
Structure Level Pattern Image Note
TS28: lung Present JAX_1626550

Specimen JAX_1626551: postnatal adult; Gpr87tm1.1(KOMP)Vlcg/Gpr87+ (more )
Structure Level Pattern Image Note
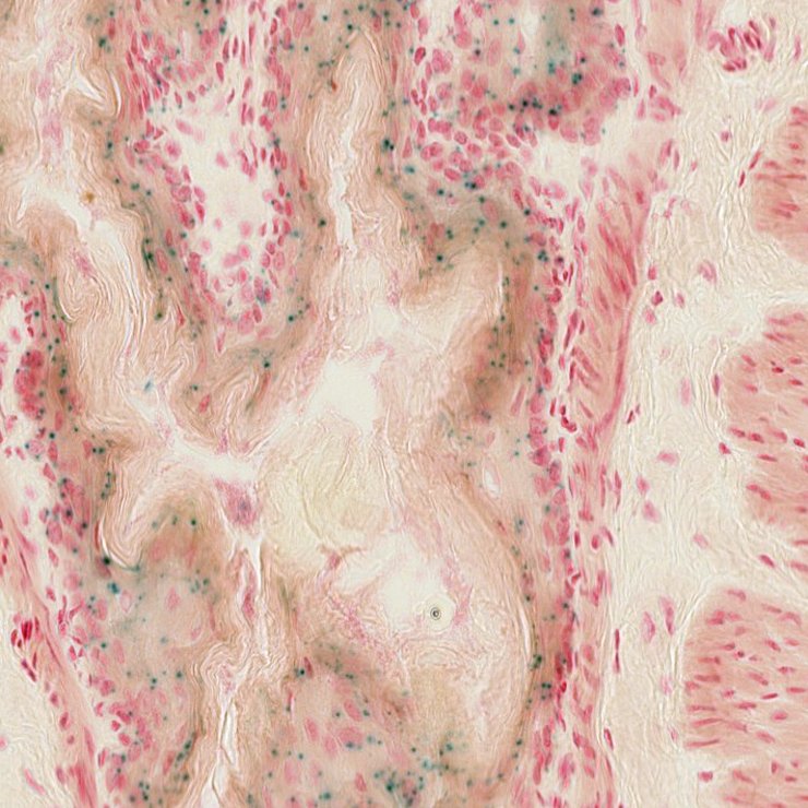
TS28: esophagus Present JAX_1626551

Specimen JAX_1626552: postnatal adult; Gpr87tm1.1(KOMP)Vlcg/Gpr87+ (more )
Structure Level Pattern Image Note
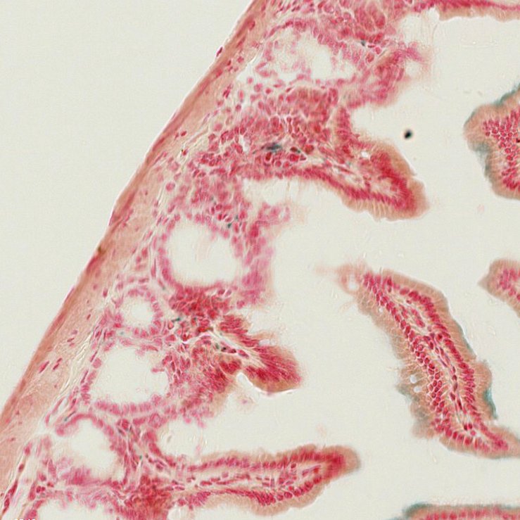
TS28: large intestine Present JAX_1626552

Specimen JAX_1626553: postnatal adult; Gpr87tm1.1(KOMP)Vlcg/Gpr87+ (more )
Structure Level Pattern Image Note
TS28: uterus Present JAX_1626553

Specimen JAX_1626554: postnatal adult; Gpr87tm1.1(KOMP)Vlcg/Gpr87+ (more )
Structure Level Pattern Image Note
TS28: skin Present JAX_1626554

Specimen JAX_1626555: postnatal adult; Gpr87tm1.1(KOMP)Vlcg/Gpr87+ (more )
Structure Level Pattern Image Note
TS28: ovary Present JAX_1626555

Specimen JAX_1626556: postnatal adult; Gpr87tm1.1(KOMP)Vlcg/Gpr87+ (more )
Structure Level Pattern Image Note
TS28: mammary gland Present JAX_1626556

Specimen JAX_1626557: postnatal adult; Gpr87tm1.1(KOMP)Vlcg/Gpr87+ (more )
Structure Level Pattern Image Note
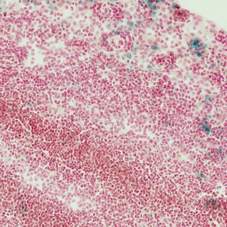
TS28: lymph node Present JAX_1626557

Specimen JAX_1626558: postnatal adult; Gpr87tm1.1(KOMP)Vlcg/Gpr87+ (more )
Structure Level Pattern Image Note
TS28: metanephros Present JAX_1626558 kidney

Specimen JAX_1626559: postnatal adult; Gpr87tm1.1(KOMP)Vlcg/Gpr87+ (more )
Structure Level Pattern Image Note
TS28: eye Present JAX_1626559

Specimen JAX_1626560: postnatal adult; Gpr87tm1.1(KOMP)Vlcg/Gpr87+ (more )
Structure Level Pattern Image Note
TS28: brain Present JAX_1626560

Specimen JAX_1626536: postnatal adult; Gpr87tm1.1(KOMP)Vlcg/Gpr87+ (more )
Structure Level Pattern Image Note
TS28: submandibular gland Present JAX_1626536

Specimen JAX_1626537: postnatal adult; Gpr87tm1.1(KOMP)Vlcg/Gpr87+ (more )
Structure Level Pattern Image Note
TS28: Peyer's patch Present JAX_1626537

Specimen JAX_1626538: postnatal adult; Gpr87tm1.1(KOMP)Vlcg/Gpr87+ (more )
Structure Level Pattern Image Note
TS28: cerebellum Present JAX_1626538

Specimen JAX_1626539: postnatal adult; Gpr87tm1.1(KOMP)Vlcg/Gpr87+ (more )
Structure Level Pattern Image Note
TS28: brainstem Present JAX_1626539

Specimen JAX_1626540: postnatal adult; Gpr87tm1.1(KOMP)Vlcg/Gpr87+ (more )
Structure Level Pattern Image Note
TS28: spleen Present JAX_1626540

Specimen JAX_1626541: postnatal adult; Gpr87tm1.1(KOMP)Vlcg/Gpr87+ (more )
Structure Level Pattern Image Note
TS28: small intestine Present JAX_1626541

Specimen JAX_1626542: postnatal adult; Gpr87tm1.1(KOMP)Vlcg/Gpr87+ (more )
Structure Level Pattern Image Note
TS28: trachea Present JAX_1626542

Specimen JAX_1626543: postnatal adult; Gpr87tm1.1(KOMP)Vlcg/Gpr87+ (more )
Structure Level Pattern Image Note
TS28: thymus Present JAX_1626543

Specimen JAX_1626544: postnatal adult; Gpr87tm1.1(KOMP)Vlcg/Gpr87+ (more )
Structure Level Pattern Image Note
TS28: testis Present JAX_1626544

Specimen JAX_1626545: postnatal adult; Gpr87tm1.1(KOMP)Vlcg/Gpr87+ (more )
Structure Level Pattern Image Note
TS28: stomach Present JAX_1626545


Contributing Projects:
Mouse Genome Database (MGD), Gene Expression Database (GXD), Mouse Models of Human Cancer database (MMHCdb) (formerly Mouse Tumor Biology (MTB)), Gene Ontology (GO)
Citing These Resources
Funding Information
Warranty Disclaimer, Privacy Notice, Licensing, & Copyright
Send questions and comments to User Support.
last database update
01/20/2026
MGI 6.24
The Jackson Laboratory