About   Help   FAQ
Gene Expression Data
Assay Details
Assay
Reference: J:228563 Koscielny G, et al., The International Mouse Phenotyping Consortium Web Portal, a unified point of access for knockout mice and related phenotyping data. Nucleic Acids Res. 2014 Jan;42(Database issue):D802-9
Assay type: In situ reporter (knock in)
MGI Accession ID: MGI:6692332
Gene symbol: Gpr84
Gene name: G protein-coupled receptor 84
Reporter: lacZ
Direct Detection
Results
Specimen UC Davis_1862727: postnatal adult; Gpr84tm1.1(KOMP)Vlcg/Gpr84+ (more )
Structure Level Pattern Image Note
TS28: esophagus Present UC Davis_1862727

Specimen UC Davis_1862728: postnatal adult; Gpr84tm1.1(KOMP)Vlcg/Gpr84+ (more )
Structure Level Pattern Image Note
TS28: ileum Present UC Davis_1862728

Specimen UC Davis_1862729: postnatal adult; Gpr84tm1.1(KOMP)Vlcg/Gpr84+ (more )
Structure Level Pattern Image Note
TS28: ileum Present UC Davis_1862729

Specimen UC Davis_1862730: postnatal adult; Gpr84tm1.1(KOMP)Vlcg/Gpr84+ (more )
Structure Level Pattern Image Note
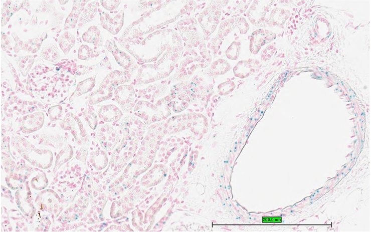
TS28: metanephros Present UC Davis_1862730 kidney

Specimen UC Davis_1862731: postnatal adult; Gpr84tm1.1(KOMP)Vlcg/Gpr84+ (more )
Structure Level Pattern Image Note
TS28: metanephros Present UC Davis_1862731 kidney

Specimen UC Davis_1862732: postnatal adult; Gpr84tm1.1(KOMP)Vlcg/Gpr84+ (more )
Structure Level Pattern Image Note
TS28: metanephros Present UC Davis_1862732 kidney

Specimen UC Davis_1862733: postnatal adult; Gpr84tm1.1(KOMP)Vlcg/Gpr84+ (more )
Structure Level Pattern Image Note
TS28: adrenal gland Present UC Davis_1862733

Specimen UC Davis_1862734: postnatal adult; Gpr84tm1.1(KOMP)Vlcg/Gpr84+ (more )
Structure Level Pattern Image Note
TS28: adrenal gland Present UC Davis_1862734

Specimen UC Davis_1862735: postnatal adult; Gpr84tm1.1(KOMP)Vlcg/Gpr84+ (more )
Structure Level Pattern Image Note
TS28: adrenal gland Present UC Davis_1862735

Specimen UC Davis_1862736: postnatal adult; Gpr84tm1.1(KOMP)Vlcg/Gpr84+ (more )
Structure Level Pattern Image Note
TS28: ovary Present UC Davis_1862736

Specimen UC Davis_1862737: postnatal adult; Gpr84tm1.1(KOMP)Vlcg/Gpr84+ (more )
Structure Level Pattern Image Note
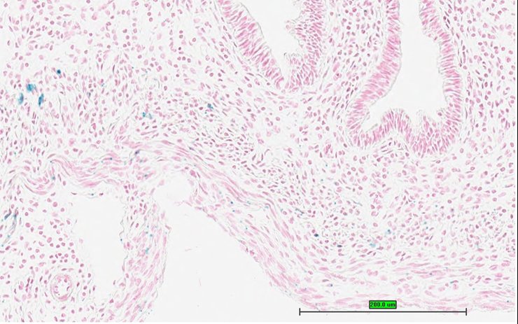
TS28: oviduct Present UC Davis_1862737

Specimen UC Davis_1862738: postnatal adult; Gpr84tm1.1(KOMP)Vlcg/Gpr84+ (more )
Structure Level Pattern Image Note
TS28: uterus Present UC Davis_1862738

Specimen UC Davis_1862739: postnatal adult; Gpr84tm1.1(KOMP)Vlcg/Gpr84+ (more )
Structure Level Pattern Image Note
TS28: uterus Present UC Davis_1862739

Specimen UC Davis_1862740: postnatal adult; Gpr84tm1.1(KOMP)Vlcg/Gpr84+ (more )
Structure Level Pattern Image Note
TS28: uterus Present UC Davis_1862740

Specimen UC Davis_1862755: postnatal adult; Gpr84tm1.1(KOMP)Vlcg/Gpr84+ (more )
Structure Level Pattern Image Note
TS28: oviduct Present UC Davis_1862755

Specimen UC Davis_1862743: postnatal adult; Gpr84tm1.1(KOMP)Vlcg/Gpr84+ (more )
Structure Level Pattern Image Note
TS28: metanephros Present UC Davis_1862743 kidney

Specimen UC Davis_1862744: postnatal adult; Gpr84tm1.1(KOMP)Vlcg/Gpr84+ (more )
Structure Level Pattern Image Note
TS28: metanephros Present UC Davis_1862744 kidney

Specimen UC Davis_1862745: postnatal adult; Gpr84tm1.1(KOMP)Vlcg/Gpr84+ (more )
Structure Level Pattern Image Note
TS28: adrenal gland Present UC Davis_1862745

Specimen UC Davis_1862746: postnatal adult; Gpr84tm1.1(KOMP)Vlcg/Gpr84+ (more )
Structure Level Pattern Image Note
TS28: skin Present UC Davis_1862746

Specimen UC Davis_1862747: postnatal adult; Gpr84tm1.1(KOMP)Vlcg/Gpr84+ (more )
Structure Level Pattern Image Note
TS28: skin Present UC Davis_1862747

Specimen UC Davis_1862748: postnatal adult; Gpr84tm1.1(KOMP)Vlcg/Gpr84+ (more )
Structure Level Pattern Image Note
TS28: epididymis Present UC Davis_1862748

Specimen UC Davis_1862749: postnatal adult; Gpr84tm1.1(KOMP)Vlcg/Gpr84+ (more )
Structure Level Pattern Image Note
TS28: epididymis Present UC Davis_1862749

Specimen UC Davis_1862750: postnatal adult; Gpr84tm1.1(KOMP)Vlcg/Gpr84+ (more )
Structure Level Pattern Image Note
TS28: ductus deferens Present UC Davis_1862750 vas deferens

Specimen UC Davis_1862751: postnatal adult; Gpr84tm1.1(KOMP)Vlcg/Gpr84+ (more )
Structure Level Pattern Image Note
TS28: ductus deferens Present UC Davis_1862751 vas deferens

Specimen UC Davis_1862752: postnatal adult; Gpr84tm1.1(KOMP)Vlcg/Gpr84+ (more )
Structure Level Pattern Image Note
TS28: metanephros Present UC Davis_1862752 kidney

Specimen UC Davis_1862753: postnatal adult; Gpr84tm1.1(KOMP)Vlcg/Gpr84+ (more )
Structure Level Pattern Image Note
TS28: epididymis Present UC Davis_1862753

Specimen UC Davis_1862754: postnatal adult; Gpr84tm1.1(KOMP)Vlcg/Gpr84+ (more )
Structure Level Pattern Image Note
TS28: thoracic segment skeleton Present UC Davis_1862754 chest bone


Contributing Projects:
Mouse Genome Database (MGD), Gene Expression Database (GXD), Mouse Models of Human Cancer database (MMHCdb) (formerly Mouse Tumor Biology (MTB)), Gene Ontology (GO)
Citing These Resources
Funding Information
Warranty Disclaimer, Privacy Notice, Licensing, & Copyright
Send questions and comments to User Support.
last database update
12/30/2025
MGI 6.24
The Jackson Laboratory