About   Help   FAQ
Gene Expression Data
Assay Details
Assay
Reference: J:228563 Koscielny G, et al., The International Mouse Phenotyping Consortium Web Portal, a unified point of access for knockout mice and related phenotyping data. Nucleic Acids Res. 2014 Jan;42(Database issue):D802-9
Assay type: In situ reporter (knock in)
MGI Accession ID: MGI:6692314
Gene symbol: Ucn3
Gene name: urocortin 3
Reporter: lacZ
Direct Detection
Results
Specimen UC Davis_1868728: postnatal adult; Ucn3tm1.1(KOMP)Vlcg/Ucn3+ (more )
Structure Level Pattern Image Note
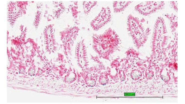
TS28: ileum Present UC Davis_1868728

Specimen UC Davis_1868730: postnatal adult; Ucn3tm1.1(KOMP)Vlcg/Ucn3+ (more )
Structure Level Pattern Image Note
TS28: ileum Present UC Davis_1868730

Specimen UC Davis_1868731: postnatal adult; Ucn3tm1.1(KOMP)Vlcg/Ucn3+ (more )
Structure Level Pattern Image Note
TS28: ileum Present UC Davis_1868731

Specimen UC Davis_1868732: postnatal adult; Ucn3tm1.1(KOMP)Vlcg/Ucn3+ (more )
Structure Level Pattern Image Note
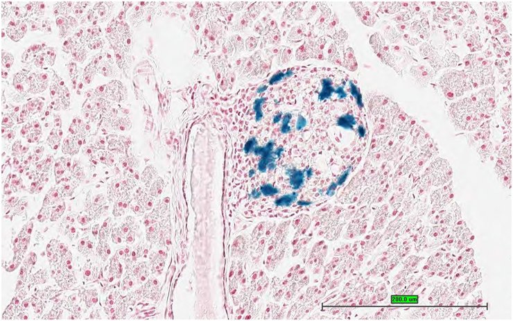
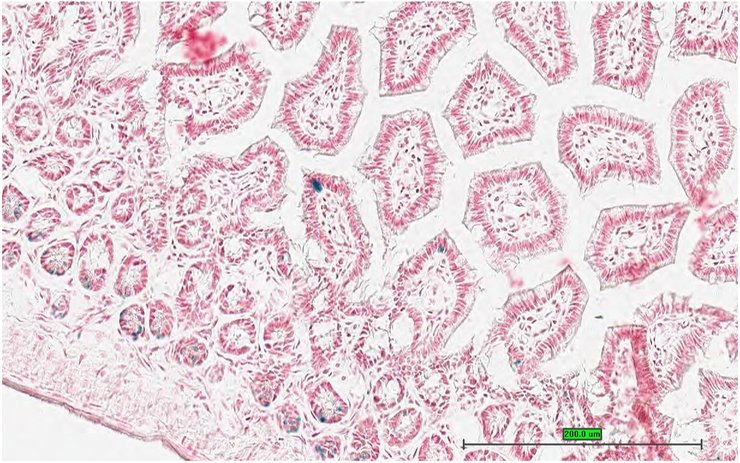
TS28: pancreas Present UC Davis_1868732

Specimen UC Davis_1868733: postnatal adult; Ucn3tm1.1(KOMP)Vlcg/Ucn3+ (more )
Structure Level Pattern Image Note
TS28: pancreas Present UC Davis_1868733

Specimen UC Davis_1868736: postnatal adult; Ucn3tm1.1(KOMP)Vlcg/Ucn3+ (more )
Structure Level Pattern Image Note
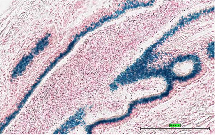
TS28: epididymis Present UC Davis_1868736

Specimen UC Davis_1868737: postnatal adult; Ucn3tm1.1(KOMP)Vlcg/Ucn3+ (more )
Structure Level Pattern Image Note
TS28: ductus deferens Present UC Davis_1868737 vas deferens


Contributing Projects:
Mouse Genome Database (MGD), Gene Expression Database (GXD), Mouse Models of Human Cancer database (MMHCdb) (formerly Mouse Tumor Biology (MTB)), Gene Ontology (GO)
Citing These Resources
Funding Information
Warranty Disclaimer, Privacy Notice, Licensing, & Copyright
Send questions and comments to User Support.
last database update
12/30/2025
MGI 6.24
The Jackson Laboratory