About   Help   FAQ
Gene Expression Data
Assay Details
Assay
Reference: J:228563 Koscielny G, et al., The International Mouse Phenotyping Consortium Web Portal, a unified point of access for knockout mice and related phenotyping data. Nucleic Acids Res. 2014 Jan;42(Database issue):D802-9
Assay type: In situ reporter (knock in)
MGI Accession ID: MGI:6692307
Gene symbol: Papolb
Gene name: poly (A) polymerase beta (testis specific)
Reporter: lacZ
Direct Detection
Results
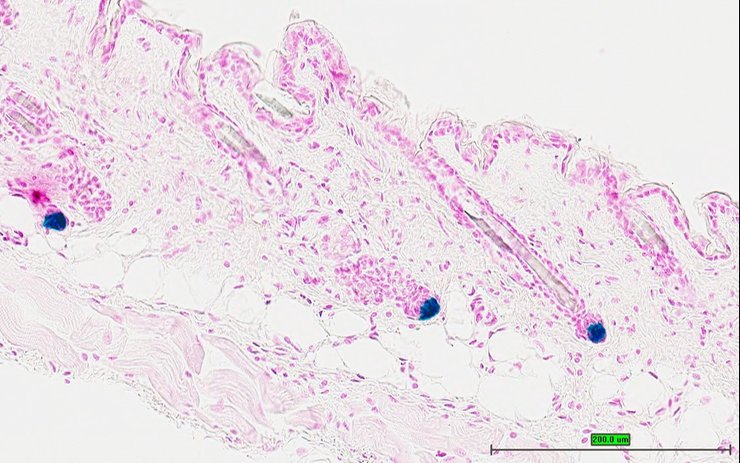
Specimen UC Davis_1888055: postnatal adult; Papolbtm1.1(KOMP)Vlcg/Papolb+ (more )
Structure Level Pattern Image Note
TS28: skin Present UC Davis_1888055

Specimen UC Davis_1888049: postnatal adult; Papolbtm1.1(KOMP)Vlcg/Papolb+ (more )
Structure Level Pattern Image Note
TS28: testis Present UC Davis_1888049

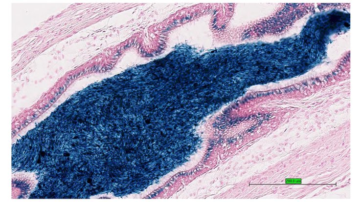
Specimen UC Davis_1888050: postnatal adult; Papolbtm1.1(KOMP)Vlcg/Papolb+ (more )
Structure Level Pattern Image Note
TS28: testis Present UC Davis_1888050

Specimen UC Davis_1888051: postnatal adult; Papolbtm1.1(KOMP)Vlcg/Papolb+ (more )
Structure Level Pattern Image Note
TS28: epididymis Present UC Davis_1888051

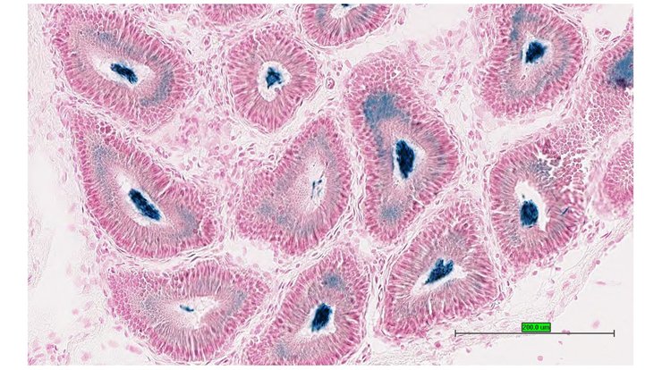
Specimen UC Davis_1888052: postnatal adult; Papolbtm1.1(KOMP)Vlcg/Papolb+ (more )
Structure Level Pattern Image Note
TS28: epididymis Present UC Davis_1888052

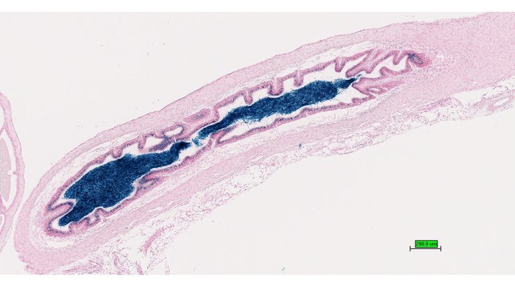
Specimen UC Davis_1888053: postnatal adult; Papolbtm1.1(KOMP)Vlcg/Papolb+ (more )
Structure Level Pattern Image Note
TS28: ductus deferens Present UC Davis_1888053 vas deferens

Specimen UC Davis_1888054: postnatal adult; Papolbtm1.1(KOMP)Vlcg/Papolb+ (more )
Structure Level Pattern Image Note
TS28: ductus deferens Present UC Davis_1888054 vas deferens


Contributing Projects:
Mouse Genome Database (MGD), Gene Expression Database (GXD), Mouse Models of Human Cancer database (MMHCdb) (formerly Mouse Tumor Biology (MTB)), Gene Ontology (GO)
Citing These Resources
Funding Information
Warranty Disclaimer, Privacy Notice, Licensing, & Copyright
Send questions and comments to User Support.
last database update
12/30/2025
MGI 6.24
The Jackson Laboratory