About   Help   FAQ
Gene Expression Data
Assay Details
Assay
Reference: J:228563 Koscielny G, et al., The International Mouse Phenotyping Consortium Web Portal, a unified point of access for knockout mice and related phenotyping data. Nucleic Acids Res. 2014 Jan;42(Database issue):D802-9
Assay type: In situ reporter (knock in)
MGI Accession ID: MGI:6692291
Gene symbol: Recql4
Gene name: RecQ protein-like 4
Reporter: lacZ
Direct Detection
Results
Specimen UC Davis_1863358: postnatal adult; Recql4tm1.1(KOMP)Vlcg/Recql4+ (more )
Structure Level Pattern Image Note
TS28: ileum Present UC Davis_1863358

Specimen UC Davis_1863359: postnatal adult; Recql4tm1.1(KOMP)Vlcg/Recql4+ (more )
Structure Level Pattern Image Note
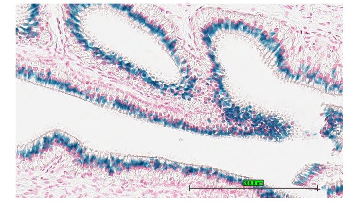
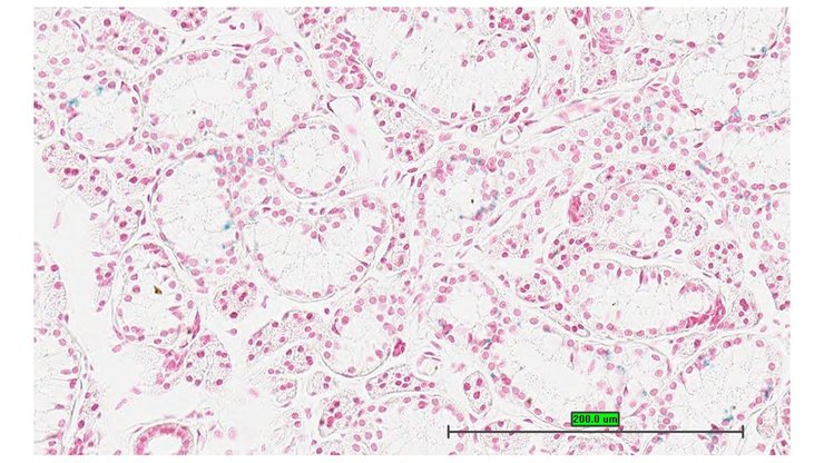
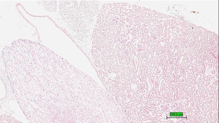
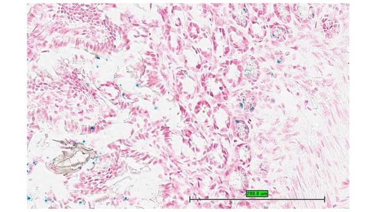
TS28: metanephros Present UC Davis_1863359 kidney

Specimen UC Davis_1863360: postnatal adult; Recql4tm1.1(KOMP)Vlcg/Recql4+ (more )
Structure Level Pattern Image Note
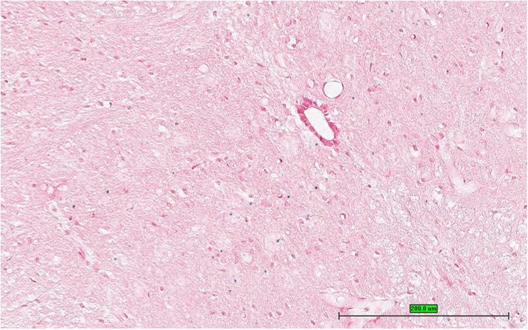
TS28: spinal cord Present UC Davis_1863360

Specimen UC Davis_1863361: postnatal adult; Recql4tm1.1(KOMP)Vlcg/Recql4+ (more )
Structure Level Pattern Image Note
TS28: spinal cord Present UC Davis_1863361

Specimen UC Davis_1863362: postnatal adult; Recql4tm1.1(KOMP)Vlcg/Recql4+ (more )
Structure Level Pattern Image Note
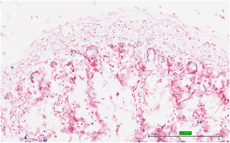
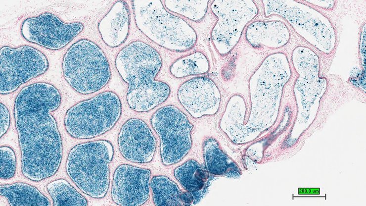
TS28: Harderian gland Present UC Davis_1863362

Specimen UC Davis_1863363: postnatal adult; Recql4tm1.1(KOMP)Vlcg/Recql4+ (more )
Structure Level Pattern Image Note
TS28: Harderian gland Present UC Davis_1863363

Specimen UC Davis_1863364: postnatal adult; Recql4tm1.1(KOMP)Vlcg/Recql4+ (more )
Structure Level Pattern Image Note
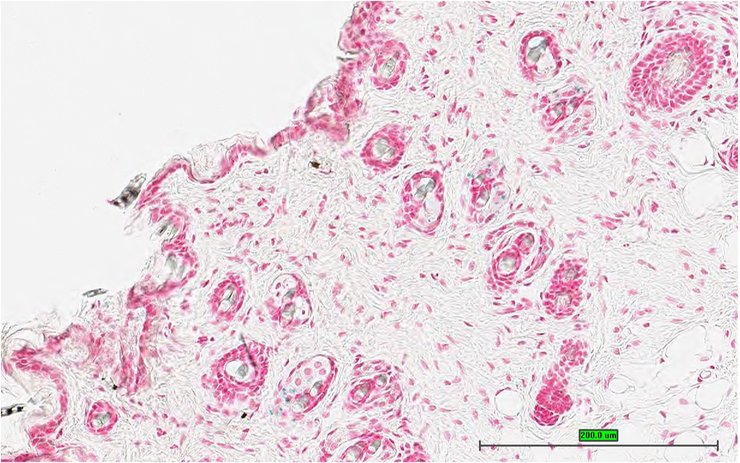
TS28: skin Present UC Davis_1863364

Specimen UC Davis_1863366: postnatal adult; Recql4tm1.1(KOMP)Vlcg/Recql4+ (more )
Structure Level Pattern Image Note
TS28: trigeminal nerve Present UC Davis_1863366

Specimen UC Davis_1863367: postnatal adult; Recql4tm1.1(KOMP)Vlcg/Recql4+ (more )
Structure Level Pattern Image Note
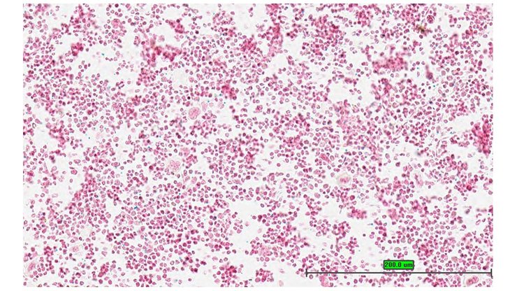
TS28: bone marrow Present UC Davis_1863367

Specimen UC Davis_1863368: postnatal adult; Recql4tm1.1(KOMP)Vlcg/Recql4+ (more )
Structure Level Pattern Image Note
TS28: bone marrow Present UC Davis_1863368

Specimen UC Davis_1863398: postnatal adult; Recql4tm1.1(KOMP)Vlcg/Recql4+ (more )
Structure Level Pattern Image Note
TS28: spleen Present UC Davis_1863398

Specimen UC Davis_1863399: postnatal adult; Recql4tm1.1(KOMP)Vlcg/Recql4+ (more )
Structure Level Pattern Image Note
TS28: metanephros Present UC Davis_1863399 kidney

Specimen UC Davis_1863369: postnatal adult; Recql4tm1.1(KOMP)Vlcg/Recql4+ (more )
Structure Level Pattern Image Note
TS28: submandibular gland Present UC Davis_1863369

Specimen UC Davis_1863372: postnatal adult; Recql4tm1.1(KOMP)Vlcg/Recql4+ (more )
Structure Level Pattern Image Note
TS28: ileum Present UC Davis_1863372

Specimen UC Davis_1863373: postnatal adult; Recql4tm1.1(KOMP)Vlcg/Recql4+ (more )
Structure Level Pattern Image Note
TS28: metanephros Present UC Davis_1863373 kidney

Specimen UC Davis_1863374: postnatal adult; Recql4tm1.1(KOMP)Vlcg/Recql4+ (more )
Structure Level Pattern Image Note
TS28: metanephros Present UC Davis_1863374 kidney

Specimen UC Davis_1863375: postnatal adult; Recql4tm1.1(KOMP)Vlcg/Recql4+ (more )
Structure Level Pattern Image Note
TS28: tongue Present UC Davis_1863375

Specimen UC Davis_1863376: postnatal adult; Recql4tm1.1(KOMP)Vlcg/Recql4+ (more )
Structure Level Pattern Image Note
TS28: skin Present UC Davis_1863376

Specimen UC Davis_1863377: postnatal adult; Recql4tm1.1(KOMP)Vlcg/Recql4+ (more )
Structure Level Pattern Image Note
TS28: testis Present UC Davis_1863377

Specimen UC Davis_1863378: postnatal adult; Recql4tm1.1(KOMP)Vlcg/Recql4+ (more )
Structure Level Pattern Image Note
TS28: epididymis Present UC Davis_1863378

Specimen UC Davis_1863379: postnatal adult; Recql4tm1.1(KOMP)Vlcg/Recql4+ (more )
Structure Level Pattern Image Note
TS28: epididymis Present UC Davis_1863379

Specimen UC Davis_1863380: postnatal adult; Recql4tm1.1(KOMP)Vlcg/Recql4+ (more )
Structure Level Pattern Image Note
TS28: prostate gland Present UC Davis_1863380

Specimen UC Davis_1863381: postnatal adult; Recql4tm1.1(KOMP)Vlcg/Recql4+ (more )
Structure Level Pattern Image Note
TS28: bone marrow Present UC Davis_1863381

Specimen UC Davis_1863382: postnatal adult; Recql4tm1.1(KOMP)Vlcg/Recql4+ (more )
Structure Level Pattern Image Note
TS28: bone marrow Present UC Davis_1863382

Specimen UC Davis_1863383: postnatal adult; Recql4tm1.1(KOMP)Vlcg/Recql4+ (more )
Structure Level Pattern Image Note
TS28: ductus deferens Present UC Davis_1863383 vas deferens

Specimen UC Davis_1863385: postnatal adult; Recql4tm1.1(KOMP)Vlcg/Recql4+ (more )
Structure Level Pattern Image Note
TS28: tongue Present UC Davis_1863385

Specimen UC Davis_1863386: postnatal adult; Recql4tm1.1(KOMP)Vlcg/Recql4+ (more )
Structure Level Pattern Image Note
TS28: midbrain Present UC Davis_1863386

Specimen UC Davis_1863387: postnatal adult; Recql4tm1.1(KOMP)Vlcg/Recql4+ (more )
Structure Level Pattern Image Note
TS28: midbrain Present UC Davis_1863387

Specimen UC Davis_1863389: postnatal adult; Recql4tm1.1(KOMP)Vlcg/Recql4+ (more )
Structure Level Pattern Image Note
TS28: brain Present UC Davis_1863389

Specimen UC Davis_1863390: postnatal adult; Recql4tm1.1(KOMP)Vlcg/Recql4+ (more )
Structure Level Pattern Image Note
TS28: metanephros Present UC Davis_1863390 kidney

Specimen UC Davis_1863391: postnatal adult; Recql4tm1.1(KOMP)Vlcg/Recql4+ (more )
Structure Level Pattern Image Note
TS28: thyroid gland Present UC Davis_1863391

Specimen UC Davis_1863392: postnatal adult; Recql4tm1.1(KOMP)Vlcg/Recql4+ (more )
Structure Level Pattern Image Note
TS28: spinal cord Present UC Davis_1863392

Specimen UC Davis_1863393: postnatal adult; Recql4tm1.1(KOMP)Vlcg/Recql4+ (more )
Structure Level Pattern Image Note
TS28: testis Present UC Davis_1863393

Specimen UC Davis_1863394: postnatal adult; Recql4tm1.1(KOMP)Vlcg/Recql4+ (more )
Structure Level Pattern Image Note
TS28: epididymis Present UC Davis_1863394

Specimen UC Davis_1863395: postnatal adult; Recql4tm1.1(KOMP)Vlcg/Recql4+ (more )
Structure Level Pattern Image Note
TS28: ductus deferens Present UC Davis_1863395 vas deferens


Contributing Projects:
Mouse Genome Database (MGD), Gene Expression Database (GXD), Mouse Models of Human Cancer database (MMHCdb) (formerly Mouse Tumor Biology (MTB)), Gene Ontology (GO)
Citing These Resources
Funding Information
Warranty Disclaimer, Privacy Notice, Licensing, & Copyright
Send questions and comments to User Support.
last database update
01/28/2026
MGI 6.24
The Jackson Laboratory