About   Help   FAQ
Gene Expression Data
Assay Details
Assay
Reference: J:228563 Koscielny G, et al., The International Mouse Phenotyping Consortium Web Portal, a unified point of access for knockout mice and related phenotyping data. Nucleic Acids Res. 2014 Jan;42(Database issue):D802-9
Assay type: In situ reporter (knock in)
MGI Accession ID: MGI:6692287
Gene symbol: Tex101
Gene name: testis expressed gene 101
Reporter: lacZ
Direct Detection
Results
Specimen JAX_1279481: postnatal adult; Tex101tm1b(KOMP)Wtsi/Tex101+ (more )
Structure Level Pattern Image Note
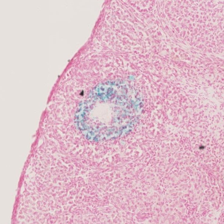
TS28: ovary Present JAX_1279481

Specimen JAX_1279473: postnatal adult; Tex101tm1b(KOMP)Wtsi/Tex101+ (more )
Structure Level Pattern Image Note
TS28: epididymis Present JAX_1279473

Specimen JAX_1279475: postnatal adult; Tex101tm1b(KOMP)Wtsi/Tex101+ (more )
Structure Level Pattern Image Note
TS28: submandibular gland Present JAX_1279475

Specimen JAX_1279477: postnatal adult; Tex101tm1b(KOMP)Wtsi/Tex101+ (more )
Structure Level Pattern Image Note
TS28: testis Present JAX_1279477

Specimen JAX_1279479: postnatal adult; Tex101tm1b(KOMP)Wtsi/Tex101+ (more )
Structure Level Pattern Image Note
TS28: metanephros Present JAX_1279479 kidney


Contributing Projects:
Mouse Genome Database (MGD), Gene Expression Database (GXD), Mouse Models of Human Cancer database (MMHCdb) (formerly Mouse Tumor Biology (MTB)), Gene Ontology (GO)
Citing These Resources
Funding Information
Warranty Disclaimer, Privacy Notice, Licensing, & Copyright
Send questions and comments to User Support.
last database update
12/30/2025
MGI 6.24
The Jackson Laboratory