About   Help   FAQ
Gene Expression Data
Assay Details
Assay
Reference: J:228563 Koscielny G, et al., The International Mouse Phenotyping Consortium Web Portal, a unified point of access for knockout mice and related phenotyping data. Nucleic Acids Res. 2014 Jan;42(Database issue):D802-9
Assay type: In situ reporter (knock in)
MGI Accession ID: MGI:6692258
Gene symbol: Asic5
Gene name: acid-sensing ion channel family member 5
Reporter: lacZ
Direct Detection
Results
Specimen UC Davis_1879458: postnatal adult; Asic5tm1b(KOMP)Mbp/Asic5+ (more )
Structure Level Pattern Image Note
TS28: ileum Present UC Davis_1879458

Specimen UC Davis_1879459: postnatal adult; Asic5tm1b(KOMP)Mbp/Asic5+ (more )
Structure Level Pattern Image Note
TS28: testis Present UC Davis_1879459

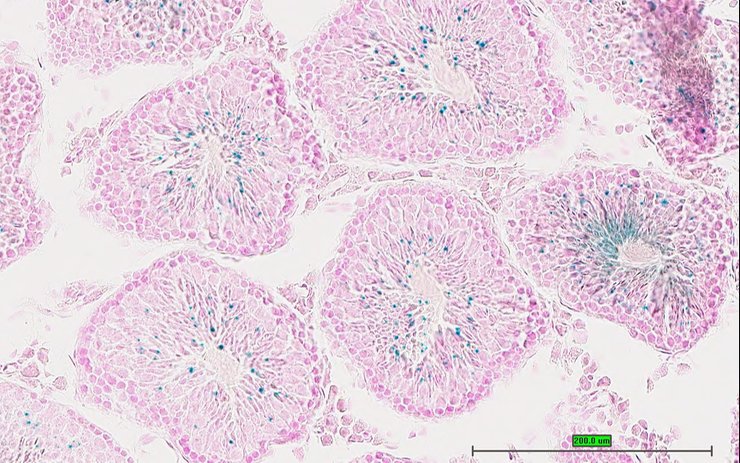
Specimen UC Davis_1879460: postnatal adult; Asic5tm1b(KOMP)Mbp/Asic5+ (more )
Structure Level Pattern Image Note
TS28: testis Present UC Davis_1879460

Specimen UC Davis_1879461: postnatal adult; Asic5tm1b(KOMP)Mbp/Asic5+ (more )
Structure Level Pattern Image Note
TS28: epididymis Present UC Davis_1879461

Specimen UC Davis_1879462: postnatal adult; Asic5tm1b(KOMP)Mbp/Asic5+ (more )
Structure Level Pattern Image Note
TS28: prostate gland Present UC Davis_1879462

Specimen UC Davis_1879463: postnatal adult; Asic5tm1b(KOMP)Mbp/Asic5+ (more )
Structure Level Pattern Image Note
TS28: ductus deferens Present UC Davis_1879463 vas deferens


Contributing Projects:
Mouse Genome Database (MGD), Gene Expression Database (GXD), Mouse Models of Human Cancer database (MMHCdb) (formerly Mouse Tumor Biology (MTB)), Gene Ontology (GO)
Citing These Resources
Funding Information
Warranty Disclaimer, Privacy Notice, Licensing, & Copyright
Send questions and comments to User Support.
last database update
01/06/2026
MGI 6.24
The Jackson Laboratory