About   Help   FAQ
Gene Expression Data
Assay Details
Assay
Reference: J:228563 Koscielny G, et al., The International Mouse Phenotyping Consortium Web Portal, a unified point of access for knockout mice and related phenotyping data. Nucleic Acids Res. 2014 Jan;42(Database issue):D802-9
Assay type: In situ reporter (knock in)
MGI Accession ID: MGI:6692256
Gene symbol: Cldn18
Gene name: claudin 18
Reporter: lacZ
Direct Detection
Results
Specimen UC Davis_1873321: postnatal adult; Cldn18tm1.1(KOMP)Vlcg/Cldn18+ (more )
Structure Level Pattern Image Note
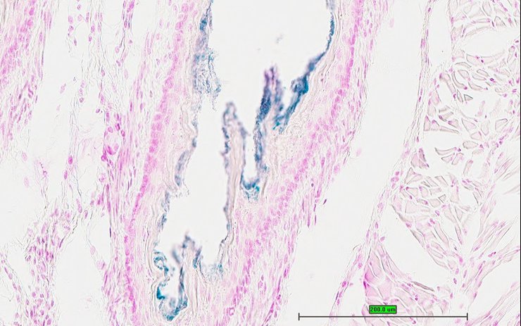
TS28: esophagus Present UC Davis_1873321

Specimen UC Davis_1873322: postnatal adult; Cldn18tm1.1(KOMP)Vlcg/Cldn18+ (more )
Structure Level Pattern Image Note
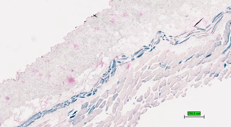
TS28: lung Present UC Davis_1873322

Specimen UC Davis_1873323: postnatal adult; Cldn18tm1.1(KOMP)Vlcg/Cldn18+ (more )
Structure Level Pattern Image Note
TS28: lung Present UC Davis_1873323

Specimen UC Davis_1873324: postnatal adult; Cldn18tm1.1(KOMP)Vlcg/Cldn18+ (more )
Structure Level Pattern Image Note
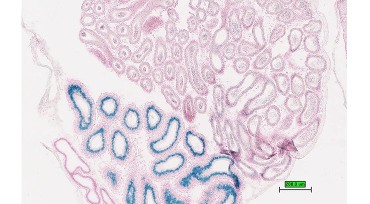
TS28: stomach Present UC Davis_1873324

Specimen UC Davis_1873325: postnatal adult; Cldn18tm1.1(KOMP)Vlcg/Cldn18+ (more )
Structure Level Pattern Image Note
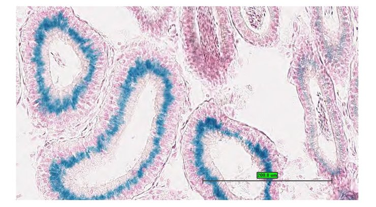
TS28: ileum Present UC Davis_1873325

Specimen UC Davis_1873308: postnatal adult; Cldn18tm1.1(KOMP)Vlcg/Cldn18+ (more )
Structure Level Pattern Image Note
TS28: lung Present UC Davis_1873308

Specimen UC Davis_1873309: postnatal adult; Cldn18tm1.1(KOMP)Vlcg/Cldn18+ (more )
Structure Level Pattern Image Note
TS28: lung Present UC Davis_1873309

Specimen UC Davis_1873310: postnatal adult; Cldn18tm1.1(KOMP)Vlcg/Cldn18+ (more )
Structure Level Pattern Image Note
TS28: ileum Present UC Davis_1873310

Specimen UC Davis_1873311: postnatal adult; Cldn18tm1.1(KOMP)Vlcg/Cldn18+ (more )
Structure Level Pattern Image Note
TS28: ileum Present UC Davis_1873311

Specimen UC Davis_1873312: postnatal adult; Cldn18tm1.1(KOMP)Vlcg/Cldn18+ (more )
Structure Level Pattern Image Note
TS28: gonadal fat pad Present UC Davis_1873312

Specimen UC Davis_1873313: postnatal adult; Cldn18tm1.1(KOMP)Vlcg/Cldn18+ (more )
Structure Level Pattern Image Note
TS28: gonadal fat pad Present UC Davis_1873313

Specimen UC Davis_1873314: postnatal adult; Cldn18tm1.1(KOMP)Vlcg/Cldn18+ (more )
Structure Level Pattern Image Note
TS28: skin Present UC Davis_1873314

Specimen UC Davis_1873315: postnatal adult; Cldn18tm1.1(KOMP)Vlcg/Cldn18+ (more )
Structure Level Pattern Image Note
TS28: skin Present UC Davis_1873315

Specimen UC Davis_1873316: postnatal adult; Cldn18tm1.1(KOMP)Vlcg/Cldn18+ (more )
Structure Level Pattern Image Note
TS28: brown fat Present UC Davis_1873316

Specimen UC Davis_1873317: postnatal adult; Cldn18tm1.1(KOMP)Vlcg/Cldn18+ (more )
Structure Level Pattern Image Note
TS28: brown fat Present UC Davis_1873317

Specimen UC Davis_1873318: postnatal adult; Cldn18tm1.1(KOMP)Vlcg/Cldn18+ (more )
Structure Level Pattern Image Note
TS28: epididymis Present UC Davis_1873318

Specimen UC Davis_1873319: postnatal adult; Cldn18tm1.1(KOMP)Vlcg/Cldn18+ (more )
Structure Level Pattern Image Note
TS28: epididymis Present UC Davis_1873319

Specimen UC Davis_1873320: postnatal adult; Cldn18tm1.1(KOMP)Vlcg/Cldn18+ (more )
Structure Level Pattern Image Note
TS28: ductus deferens Present UC Davis_1873320 vas deferens


Contributing Projects:
Mouse Genome Database (MGD), Gene Expression Database (GXD), Mouse Models of Human Cancer database (MMHCdb) (formerly Mouse Tumor Biology (MTB)), Gene Ontology (GO)
Citing These Resources
Funding Information
Warranty Disclaimer, Privacy Notice, Licensing, & Copyright
Send questions and comments to User Support.
last database update
01/06/2026
MGI 6.24
The Jackson Laboratory