About   Help   FAQ
Gene Expression Data
Assay Details
Assay
Reference: J:228563 Koscielny G, et al., The International Mouse Phenotyping Consortium Web Portal, a unified point of access for knockout mice and related phenotyping data. Nucleic Acids Res. 2014 Jan;42(Database issue):D802-9
Assay type: In situ reporter (knock in)
MGI Accession ID: MGI:6692252
Gene symbol: Thsd1
Gene name: thrombospondin, type I, domain 1
Reporter: lacZ
Direct Detection
Results
Specimen JAX_1122473: embryonic day 12.5; Thsd1tm1.1(KOMP)Vlcg/Thsd1+ (more )
Structure Level Pattern Image Note
TS20: embryo Present JAX_1122473

Specimen JAX_1122475: embryonic day 12.5; Thsd1tm1.1(KOMP)Vlcg/Thsd1+ (more )
Structure Level Pattern Image Note
TS20: embryo Present JAX_1122475

Specimen JAX_1122477: embryonic day 12.5; Thsd1tm1.1(KOMP)Vlcg/Thsd1+ (more )
Structure Level Pattern Image Note
TS20: embryo Present JAX_1122477

Specimen JAX_1122479: embryonic day 12.5; Thsd1tm1.1(KOMP)Vlcg/Thsd1+ (more )
Structure Level Pattern Image Note
TS20: embryo Present JAX_1122479

Specimen JAX_1122481: embryonic day 12.5; Thsd1tm1.1(KOMP)Vlcg/Thsd1+ (more )
Structure Level Pattern Image Note
TS20: embryo Present JAX_1122481

Specimen JAX_1122483: embryonic day 12.5; Thsd1tm1.1(KOMP)Vlcg/Thsd1+ (more )
Structure Level Pattern Image Note
TS20: embryo Present JAX_1122483

Specimen JAX_1122485: embryonic day 12.5; Thsd1tm1.1(KOMP)Vlcg/Thsd1+ (more )
Structure Level Pattern Image Note
TS20: embryo Present JAX_1122485

Specimen JAX_1122487: embryonic day 12.5; Thsd1tm1.1(KOMP)Vlcg/Thsd1+ (more )
Structure Level Pattern Image Note
TS20: embryo Present JAX_1122487

Specimen JAX_1800969: postnatal adult; Thsd1tm1.1(KOMP)Vlcg/Thsd1+ (more )
Structure Level Pattern Image Note
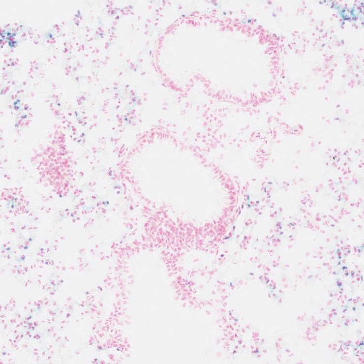
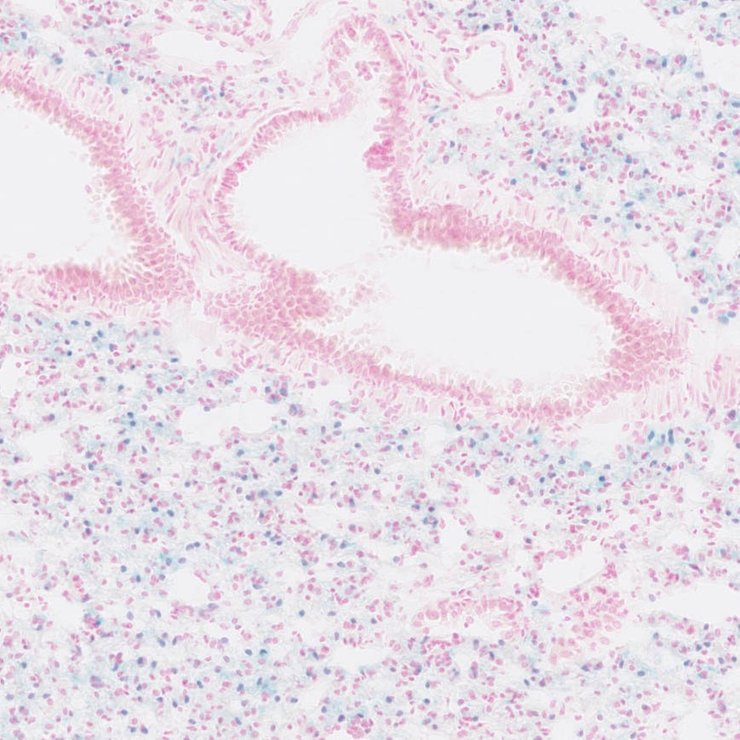
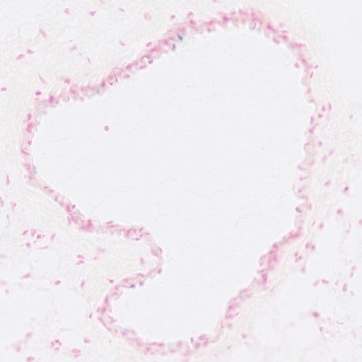
TS28: lung Present JAX_1800969

Specimen JAX_1800970: postnatal adult; Thsd1tm1.1(KOMP)Vlcg/Thsd1+ (more )
Structure Level Pattern Image Note
TS28: uterus Present JAX_1800970

Specimen JAX_1800971: postnatal adult; Thsd1tm1.1(KOMP)Vlcg/Thsd1+ (more )
Structure Level Pattern Image Note
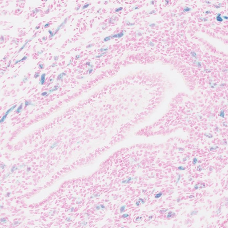
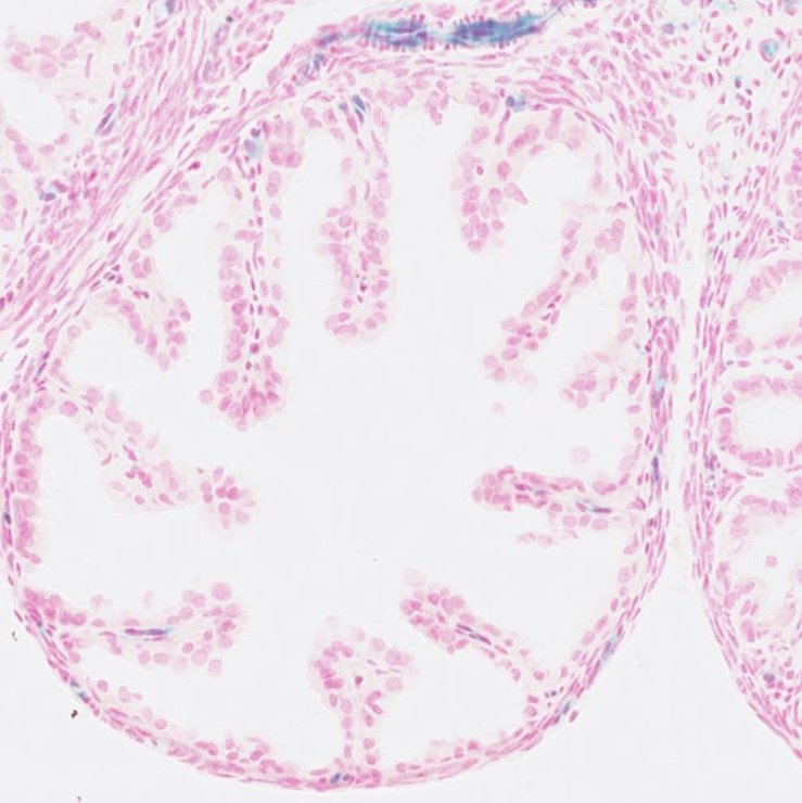
TS28: oviduct Present JAX_1800971

Specimen JAX_1800972: postnatal adult; Thsd1tm1.1(KOMP)Vlcg/Thsd1+ (more )
Structure Level Pattern Image Note
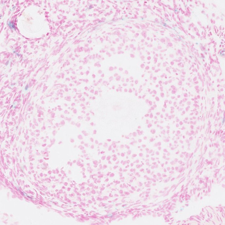
TS28: ovary Present JAX_1800972

Specimen JAX_1800973: postnatal adult; Thsd1tm1.1(KOMP)Vlcg/Thsd1+ (more )
Structure Level Pattern Image Note
TS28: vascular system Present JAX_1800973

Specimen JAX_1800974: postnatal adult; Thsd1tm1.1(KOMP)Vlcg/Thsd1+ (more )
Structure Level Pattern Image Note
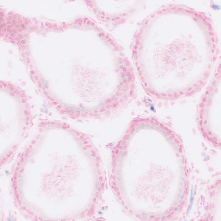
TS28: epididymis Present JAX_1800974

Specimen JAX_1800975: postnatal adult; Thsd1tm1.1(KOMP)Vlcg/Thsd1+ (more )
Structure Level Pattern Image Note
TS28: submandibular gland Present JAX_1800975

Specimen JAX_1800976: postnatal adult; Thsd1tm1.1(KOMP)Vlcg/Thsd1+ (more )
Structure Level Pattern Image Note
TS28: peripheral nervous system Present JAX_1800976

Specimen JAX_1800977: postnatal adult; Thsd1tm1.1(KOMP)Vlcg/Thsd1+ (more )
Structure Level Pattern Image Note
TS28: spleen Present JAX_1800977

Specimen JAX_1800978: postnatal adult; Thsd1tm1.1(KOMP)Vlcg/Thsd1+ (more )
Structure Level Pattern Image Note
TS28: pancreas Present JAX_1800978

Specimen JAX_1800979: postnatal adult; Thsd1tm1.1(KOMP)Vlcg/Thsd1+ (more )
Structure Level Pattern Image Note
TS28: aorta Present JAX_1800979

Specimen JAX_1800980: postnatal adult; Thsd1tm1.1(KOMP)Vlcg/Thsd1+ (more )
Structure Level Pattern Image Note
TS28: lung Present JAX_1800980

Specimen JAX_1800981: postnatal adult; Thsd1tm1.1(KOMP)Vlcg/Thsd1+ (more )
Structure Level Pattern Image Note
TS28: pituitary gland Present JAX_1800981

Specimen JAX_1800982: postnatal adult; Thsd1tm1.1(KOMP)Vlcg/Thsd1+ (more )
Structure Level Pattern Image Note
TS28: thyroid gland Present JAX_1800982

Specimen JAX_1800983: postnatal adult; Thsd1tm1.1(KOMP)Vlcg/Thsd1+ (more )
Structure Level Pattern Image Note
TS28: spinal cord Ambiguous JAX_1800983

Specimen JAX_1800984: postnatal adult; Thsd1tm1.1(KOMP)Vlcg/Thsd1+ (more )
Structure Level Pattern Image Note
TS28: esophagus Ambiguous JAX_1800984

Specimen JAX_1800985: postnatal adult; Thsd1tm1.1(KOMP)Vlcg/Thsd1+ (more )
Structure Level Pattern Image Note
TS28: thymus Present JAX_1800985

Specimen JAX_1800986: postnatal adult; Thsd1tm1.1(KOMP)Vlcg/Thsd1+ (more )
Structure Level Pattern Image Note
TS28: testis Present JAX_1800986

Specimen JAX_1800987: postnatal adult; Thsd1tm1.1(KOMP)Vlcg/Thsd1+ (more )
Structure Level Pattern Image Note
TS28: skin Present JAX_1800987

Specimen JAX_1800988: postnatal adult; Thsd1tm1.1(KOMP)Vlcg/Thsd1+ (more )
Structure Level Pattern Image Note
TS28: liver Present JAX_1800988

Specimen JAX_1800989: postnatal adult; Thsd1tm1.1(KOMP)Vlcg/Thsd1+ (more )
Structure Level Pattern Image Note
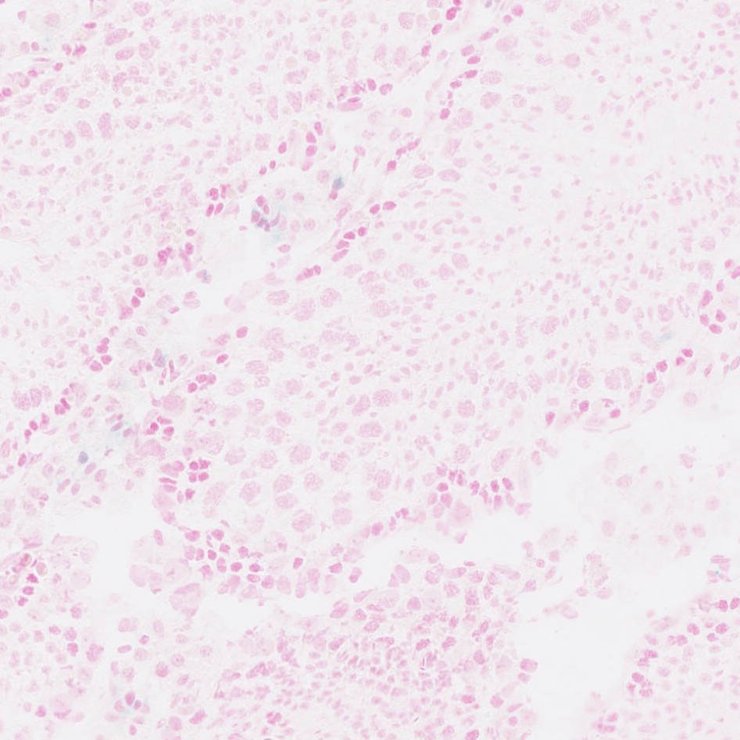
TS28: metanephros Present JAX_1800989 kidney

Specimen JAX_1800990: postnatal adult; Thsd1tm1.1(KOMP)Vlcg/Thsd1+ (more )
Structure Level Pattern Image Note
TS28: heart Present JAX_1800990

Specimen JAX_1800991: postnatal adult; Thsd1tm1.1(KOMP)Vlcg/Thsd1+ (more )
Structure Level Pattern Image Note
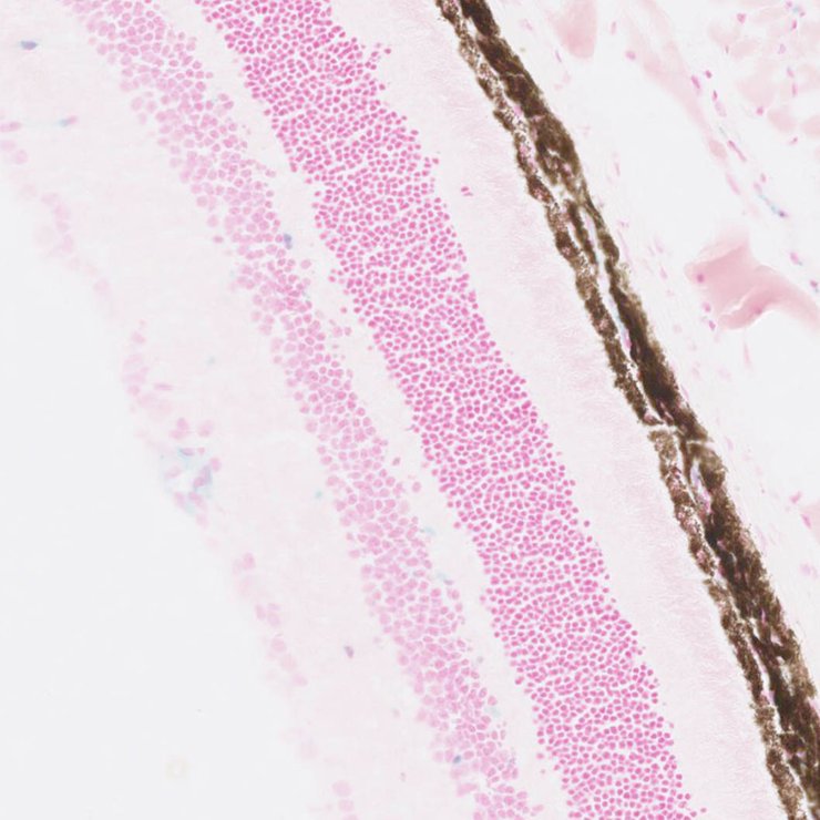
TS28: eye Present JAX_1800991


Contributing Projects:
Mouse Genome Database (MGD), Gene Expression Database (GXD), Mouse Models of Human Cancer database (MMHCdb) (formerly Mouse Tumor Biology (MTB)), Gene Ontology (GO)
Citing These Resources
Funding Information
Warranty Disclaimer, Privacy Notice, Licensing, & Copyright
Send questions and comments to User Support.
last database update
01/20/2026
MGI 6.24
The Jackson Laboratory