About   Help   FAQ
Gene Expression Data
Assay Details
Assay
Reference: J:228563 Koscielny G, et al., The International Mouse Phenotyping Consortium Web Portal, a unified point of access for knockout mice and related phenotyping data. Nucleic Acids Res. 2014 Jan;42(Database issue):D802-9
Assay type: In situ reporter (knock in)
MGI Accession ID: MGI:6692244
Gene symbol: Hspb3
Gene name: heat shock protein 3
Reporter: lacZ
Direct Detection
Results
Specimen JAX_1469352: embryonic day 12.5; Hspb3tm1.1(KOMP)Vlcg/Hspb3+ (more )
Structure Level Pattern Image Note
TS20: embryo Present JAX_1469352

Specimen JAX_1469353: embryonic day 12.5; Hspb3tm1.1(KOMP)Vlcg/Hspb3+ (more )
Structure Level Pattern Image Note
TS20: embryo Present JAX_1469353

Specimen JAX_1469354: embryonic day 12.5; Hspb3tm1.1(KOMP)Vlcg/Hspb3+ (more )
Structure Level Pattern Image Note
TS20: embryo Present JAX_1469354

Specimen JAX_1469355: embryonic day 12.5; Hspb3tm1.1(KOMP)Vlcg/Hspb3+ (more )
Structure Level Pattern Image Note
TS20: embryo Present JAX_1469355

Specimen JAX_266439: embryonic day 12.5; Hspb3tm1.1(KOMP)Vlcg/Hspb3+ (more )
Structure Level Pattern Image Note
TS20: embryo Present JAX_266439

Specimen JAX_266441: embryonic day 12.5; Hspb3tm1.1(KOMP)Vlcg/Hspb3+ (more )
Structure Level Pattern Image Note
TS20: embryo Present JAX_266441

Specimen JAX_266443: embryonic day 12.5; Hspb3tm1.1(KOMP)Vlcg/Hspb3+ (more )
Structure Level Pattern Image Note
TS20: embryo Present JAX_266443

Specimen JAX_266445: embryonic day 12.5; Hspb3tm1.1(KOMP)Vlcg/Hspb3+ (more )
Structure Level Pattern Image Note
TS20: embryo Present JAX_266445

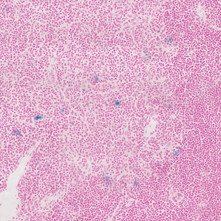
Specimen JAX_433623: postnatal adult; Hspb3tm1.1(KOMP)Vlcg/Hspb3+ (more )
Structure Level Pattern Image Note
TS28: thymus Present JAX_433623

Specimen JAX_1797581: postnatal adult; Hspb3tm1.1(KOMP)Vlcg/Hspb3+ (more )
Structure Level Pattern Image Note
TS28: submandibular gland Present JAX_1797581

Specimen JAX_1797582: postnatal adult; Hspb3tm1.1(KOMP)Vlcg/Hspb3+ (more )
Structure Level Pattern Image Note
TS28: cerebellum Present JAX_1797582

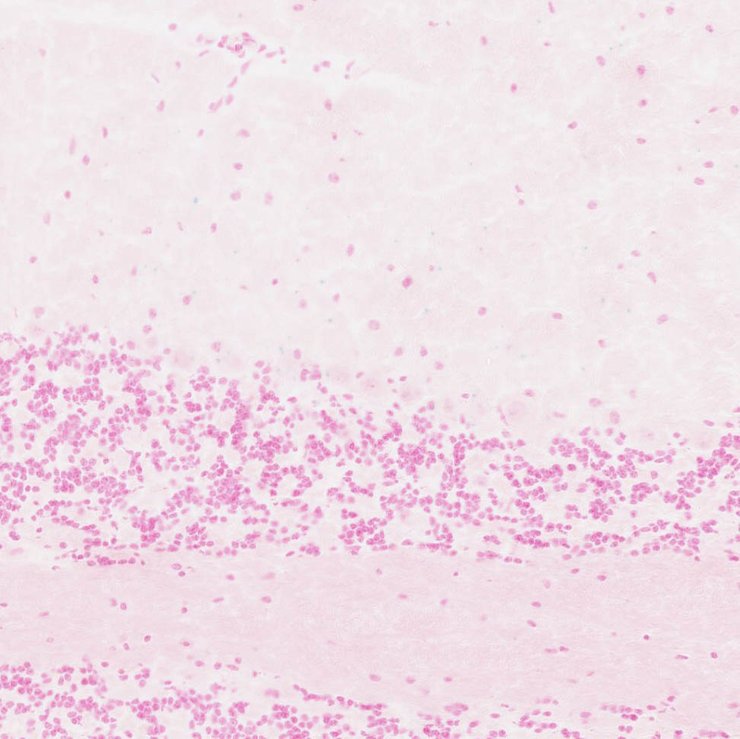
Specimen JAX_1797583: postnatal adult; Hspb3tm1.1(KOMP)Vlcg/Hspb3+ (more )
Structure Level Pattern Image Note
TS28: brainstem Present JAX_1797583

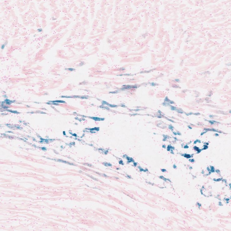
Specimen JAX_1797584: postnatal adult; Hspb3tm1.1(KOMP)Vlcg/Hspb3+ (more )
Structure Level Pattern Image Note
TS28: skeletal muscle tissue Present JAX_1797584

Specimen JAX_1797585: postnatal adult; Hspb3tm1.1(KOMP)Vlcg/Hspb3+ (more )
Structure Level Pattern Image Note
TS28: spinal cord Present JAX_1797585

Specimen JAX_1797586: postnatal adult; Hspb3tm1.1(KOMP)Vlcg/Hspb3+ (more )
Structure Level Pattern Image Note
TS28: heart Present JAX_1797586

Specimen JAX_1797587: postnatal adult; Hspb3tm1.1(KOMP)Vlcg/Hspb3+ (more )
Structure Level Pattern Image Note
TS28: brain Present JAX_1797587


Contributing Projects:
Mouse Genome Database (MGD), Gene Expression Database (GXD), Mouse Models of Human Cancer database (MMHCdb) (formerly Mouse Tumor Biology (MTB)), Gene Ontology (GO)
Citing These Resources
Funding Information
Warranty Disclaimer, Privacy Notice, Licensing, & Copyright
Send questions and comments to User Support.
last database update
01/06/2026
MGI 6.24
The Jackson Laboratory