About   Help   FAQ
Gene Expression Data
Assay Details
Assay
Reference: J:228563 Koscielny G, et al., The International Mouse Phenotyping Consortium Web Portal, a unified point of access for knockout mice and related phenotyping data. Nucleic Acids Res. 2014 Jan;42(Database issue):D802-9
Assay type: In situ reporter (knock in)
MGI Accession ID: MGI:6692236
Gene symbol: Dnaja4
Gene name: DnaJ heat shock protein family (Hsp40) member A4
Reporter: lacZ
Direct Detection
Results
Specimen JAX_1261015: embryonic day 12.5; Dnaja4tm1b(KOMP)Wtsi/Dnaja4+ (more )
Structure Level Pattern Image Note
TS20: embryo Present JAX_1261015

Specimen JAX_1261017: embryonic day 12.5; Dnaja4tm1b(KOMP)Wtsi/Dnaja4+ (more )
Structure Level Pattern Image Note
TS20: embryo Present JAX_1261017

Specimen JAX_1261019: embryonic day 12.5; Dnaja4tm1b(KOMP)Wtsi/Dnaja4+ (more )
Structure Level Pattern Image Note
TS20: embryo Present JAX_1261019

Specimen JAX_1261021: embryonic day 12.5; Dnaja4tm1b(KOMP)Wtsi/Dnaja4+ (more )
Structure Level Pattern Image Note
TS20: embryo Present JAX_1261021

Specimen JAX_1469639: embryonic day 12.5; Dnaja4tm1b(KOMP)Wtsi/Dnaja4+ (more )
Structure Level Pattern Image Note
TS20: embryo Present JAX_1469639

Specimen JAX_1469640: embryonic day 12.5; Dnaja4tm1b(KOMP)Wtsi/Dnaja4+ (more )
Structure Level Pattern Image Note
TS20: embryo Present JAX_1469640

Specimen JAX_1469641: embryonic day 12.5; Dnaja4tm1b(KOMP)Wtsi/Dnaja4+ (more )
Structure Level Pattern Image Note
TS20: embryo Present JAX_1469641

Specimen JAX_1469642: embryonic day 12.5; Dnaja4tm1b(KOMP)Wtsi/Dnaja4+ (more )
Structure Level Pattern Image Note
TS20: embryo Present JAX_1469642

Specimen JAX_1801059: postnatal adult; Dnaja4tm1b(KOMP)Wtsi/Dnaja4+ (more )
Structure Level Pattern Image Note
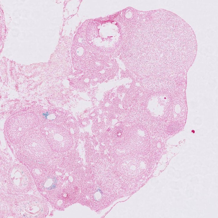
TS28: ovary Present JAX_1801059

Specimen JAX_1801060: postnatal adult; Dnaja4tm1b(KOMP)Wtsi/Dnaja4+ (more )
Structure Level Pattern Image Note
TS28: metanephros Present JAX_1801060 kidney

Specimen JAX_1801061: postnatal adult; Dnaja4tm1b(KOMP)Wtsi/Dnaja4+ (more )
Structure Level Pattern Image Note
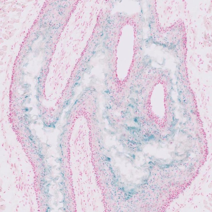
TS28: bladder Present JAX_1801061

Specimen JAX_1801062: postnatal adult; Dnaja4tm1b(KOMP)Wtsi/Dnaja4+ (more )
Structure Level Pattern Image Note
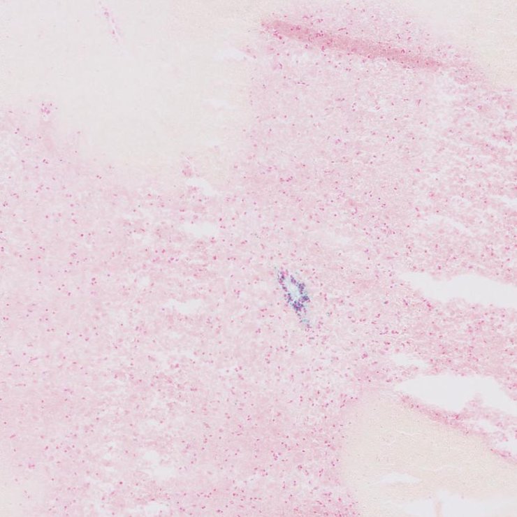
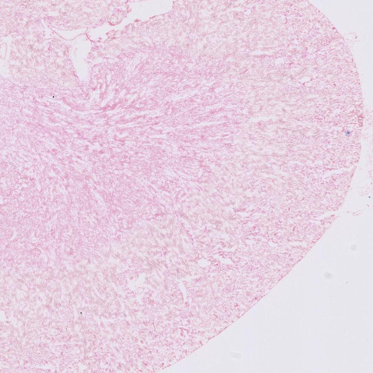
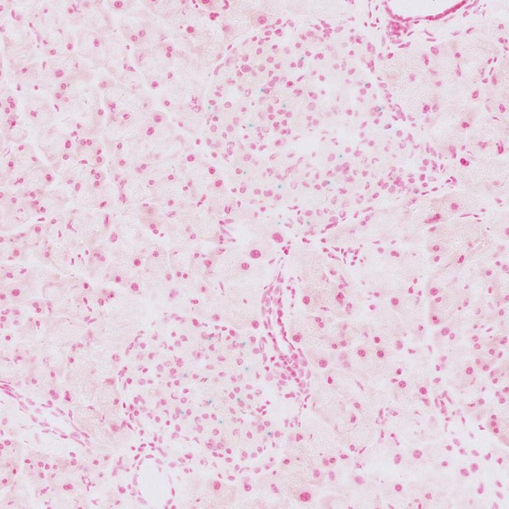
TS28: adrenal gland Present JAX_1801062

Specimen JAX_1801063: postnatal adult; Dnaja4tm1b(KOMP)Wtsi/Dnaja4+ (more )
Structure Level Pattern Image Note
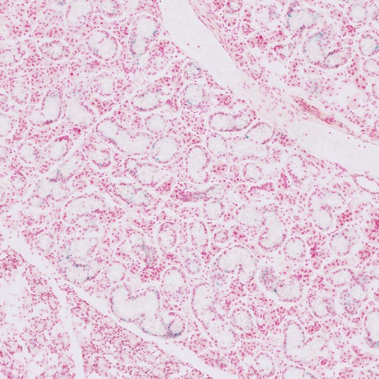
TS28: pancreas Present JAX_1801063

Specimen JAX_1801064: postnatal adult; Dnaja4tm1b(KOMP)Wtsi/Dnaja4+ (more )
Structure Level Pattern Image Note
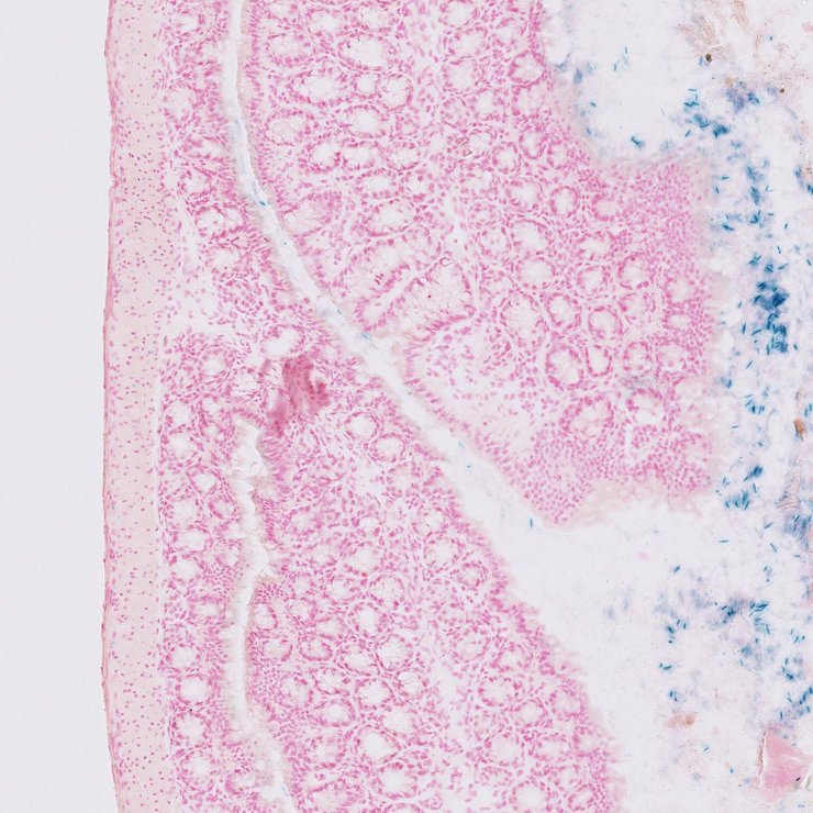
TS28: small intestine Present JAX_1801064

Specimen JAX_1801065: postnatal adult; Dnaja4tm1b(KOMP)Wtsi/Dnaja4+ (more )
Structure Level Pattern Image Note
TS28: stomach Present JAX_1801065

Specimen JAX_1801034: postnatal adult; Dnaja4tm1b(KOMP)Wtsi/Dnaja4+ (more )
Structure Level Pattern Image Note
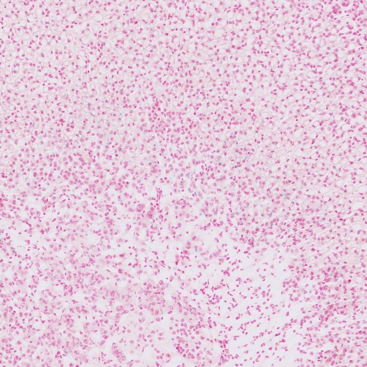
TS28: testis Present JAX_1801034

Specimen JAX_1801035: postnatal adult; Dnaja4tm1b(KOMP)Wtsi/Dnaja4+ (more )
Structure Level Pattern Image Note
TS28: epididymis Present JAX_1801035

Specimen JAX_1801036: postnatal adult; Dnaja4tm1b(KOMP)Wtsi/Dnaja4+ (more )
Structure Level Pattern Image Note
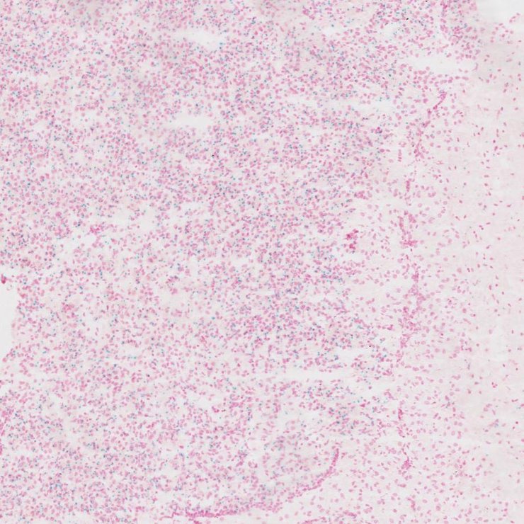
TS28: thymus Present JAX_1801036

Specimen JAX_1801037: postnatal adult; Dnaja4tm1b(KOMP)Wtsi/Dnaja4+ (more )
Structure Level Pattern Image Note
TS28: large intestine Present JAX_1801037

Specimen JAX_1801038: postnatal adult; Dnaja4tm1b(KOMP)Wtsi/Dnaja4+ (more )
Structure Level Pattern Image Note
TS28: lung Present JAX_1801038

Specimen JAX_1801039: postnatal adult; Dnaja4tm1b(KOMP)Wtsi/Dnaja4+ (more )
Structure Level Pattern Image Note
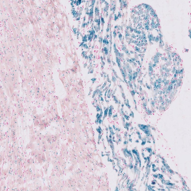
TS28: heart Present JAX_1801039

Specimen JAX_1801040: postnatal adult; Dnaja4tm1b(KOMP)Wtsi/Dnaja4+ (more )
Structure Level Pattern Image Note
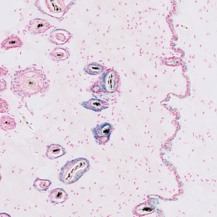
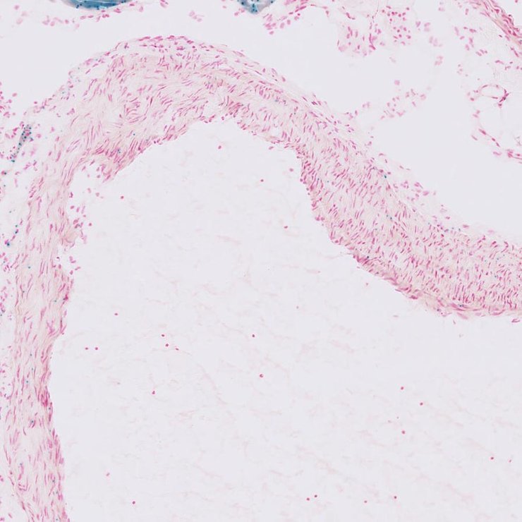
TS28: aorta Present JAX_1801040

Specimen JAX_1801041: postnatal adult; Dnaja4tm1b(KOMP)Wtsi/Dnaja4+ (more )
Structure Level Pattern Image Note
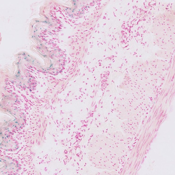
TS28: skin Present JAX_1801041

Specimen JAX_1801042: postnatal adult; Dnaja4tm1b(KOMP)Wtsi/Dnaja4+ (more )
Structure Level Pattern Image Note
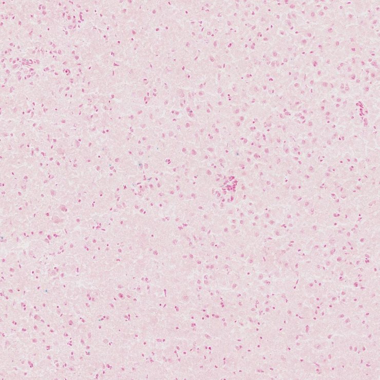
TS28: brain Present JAX_1801042

Specimen JAX_1801043: postnatal adult; Dnaja4tm1b(KOMP)Wtsi/Dnaja4+ (more )
Structure Level Pattern Image Note
TS28: brainstem Present JAX_1801043

Specimen JAX_1801044: postnatal adult; Dnaja4tm1b(KOMP)Wtsi/Dnaja4+ (more )
Structure Level Pattern Image Note
TS28: cerebral cortex Present JAX_1801044

Specimen JAX_1801045: postnatal adult; Dnaja4tm1b(KOMP)Wtsi/Dnaja4+ (more )
Structure Level Pattern Image Note
TS28: cerebellum Present JAX_1801045

Specimen JAX_1801046: postnatal adult; Dnaja4tm1b(KOMP)Wtsi/Dnaja4+ (more )
Structure Level Pattern Image Note
TS28: hippocampus Present JAX_1801046

Specimen JAX_1801047: postnatal adult; Dnaja4tm1b(KOMP)Wtsi/Dnaja4+ (more )
Structure Level Pattern Image Note
TS28: thalamus Present JAX_1801047

Specimen JAX_1801048: postnatal adult; Dnaja4tm1b(KOMP)Wtsi/Dnaja4+ (more )
Structure Level Pattern Image Note
TS28: midbrain Present JAX_1801048

Specimen JAX_1801049: postnatal adult; Dnaja4tm1b(KOMP)Wtsi/Dnaja4+ (more )
Structure Level Pattern Image Note
TS28: hypothalamus Present JAX_1801049

Specimen JAX_1801050: postnatal adult; Dnaja4tm1b(KOMP)Wtsi/Dnaja4+ (more )
Structure Level Pattern Image Note
TS28: olfactory lobe Present JAX_1801050

Specimen JAX_1801051: postnatal adult; Dnaja4tm1b(KOMP)Wtsi/Dnaja4+ (more )
Structure Level Pattern Image Note
TS28: spinal cord Present JAX_1801051

Specimen JAX_1801052: postnatal adult; Dnaja4tm1b(KOMP)Wtsi/Dnaja4+ (more )
Structure Level Pattern Image Note
TS28: eye Present JAX_1801052

Specimen JAX_1801053: postnatal adult; Dnaja4tm1b(KOMP)Wtsi/Dnaja4+ (more )
Structure Level Pattern Image Note
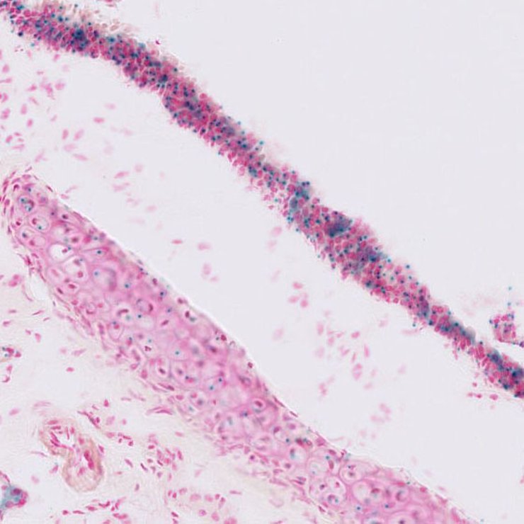
TS28: trachea Present JAX_1801053

Specimen JAX_1801054: postnatal adult; Dnaja4tm1b(KOMP)Wtsi/Dnaja4+ (more )
Structure Level Pattern Image Note
TS28: submandibular gland Present JAX_1801054

Specimen JAX_1801055: postnatal adult; Dnaja4tm1b(KOMP)Wtsi/Dnaja4+ (more )
Structure Level Pattern Image Note
TS28: thyroid gland Present JAX_1801055

Specimen JAX_1801056: postnatal adult; Dnaja4tm1b(KOMP)Wtsi/Dnaja4+ (more )
Structure Level Pattern Image Note
TS28: pituitary gland Present JAX_1801056

Specimen JAX_1801057: postnatal adult; Dnaja4tm1b(KOMP)Wtsi/Dnaja4+ (more )
Structure Level Pattern Image Note
TS28: esophagus Present JAX_1801057

Specimen JAX_1801058: postnatal adult; Dnaja4tm1b(KOMP)Wtsi/Dnaja4+ (more )
Structure Level Pattern Image Note
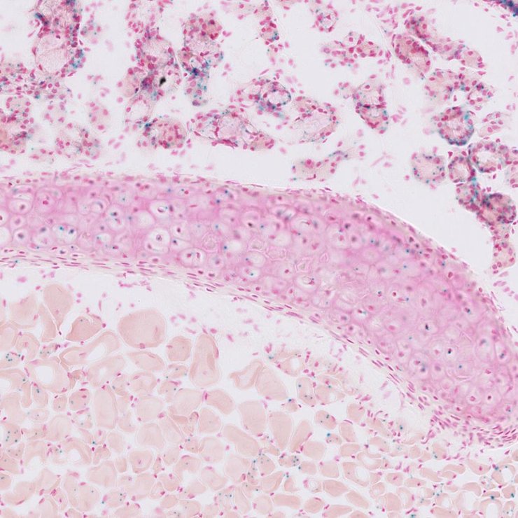
TS28: cartilage Present JAX_1801058


Contributing Projects:
Mouse Genome Database (MGD), Gene Expression Database (GXD), Mouse Models of Human Cancer database (MMHCdb) (formerly Mouse Tumor Biology (MTB)), Gene Ontology (GO)
Citing These Resources
Funding Information
Warranty Disclaimer, Privacy Notice, Licensing, & Copyright
Send questions and comments to User Support.
last database update
12/30/2025
MGI 6.24
The Jackson Laboratory