About   Help   FAQ
Gene Expression Data
Assay Details
Assay
Reference: J:228563 Koscielny G, et al., The International Mouse Phenotyping Consortium Web Portal, a unified point of access for knockout mice and related phenotyping data. Nucleic Acids Res. 2014 Jan;42(Database issue):D802-9
Assay type: In situ reporter (knock in)
MGI Accession ID: MGI:6692227
Gene symbol: Taf8
Gene name: TATA-box binding protein associated factor 8
Reporter: lacZ
Direct Detection
Results
Specimen UC Davis_1888348: postnatal adult; Taf8tm2b(EUCOMM)Wtsi/Taf8+ (more )
Structure Level Pattern Image Note
TS28: metanephros Present UC Davis_1888348 kidney

Specimen UC Davis_1888349: postnatal adult; Taf8tm2b(EUCOMM)Wtsi/Taf8+ (more )
Structure Level Pattern Image Note
TS28: tongue Present UC Davis_1888349

Specimen UC Davis_1888350: postnatal adult; Taf8tm2b(EUCOMM)Wtsi/Taf8+ (more )
Structure Level Pattern Image Note
TS28: Harderian gland Present UC Davis_1888350

Specimen UC Davis_1888351: postnatal adult; Taf8tm2b(EUCOMM)Wtsi/Taf8+ (more )
Structure Level Pattern Image Note
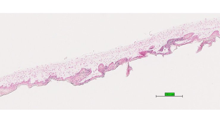
TS28: bladder Present UC Davis_1888351

Specimen UC Davis_1888337: postnatal adult; Taf8tm2b(EUCOMM)Wtsi/Taf8+ (more )
Structure Level Pattern Image Note
TS28: metanephros Present UC Davis_1888337 kidney

Specimen UC Davis_1888338: postnatal adult; Taf8tm2b(EUCOMM)Wtsi/Taf8+ (more )
Structure Level Pattern Image Note
TS28: metanephros Present UC Davis_1888338 kidney

Specimen UC Davis_1888339: postnatal adult; Taf8tm2b(EUCOMM)Wtsi/Taf8+ (more )
Structure Level Pattern Image Note
TS28: Harderian gland Present UC Davis_1888339

Specimen UC Davis_1888340: postnatal adult; Taf8tm2b(EUCOMM)Wtsi/Taf8+ (more )
Structure Level Pattern Image Note
TS28: Harderian gland Present UC Davis_1888340

Specimen UC Davis_1888341: postnatal adult; Taf8tm2b(EUCOMM)Wtsi/Taf8+ (more )
Structure Level Pattern Image Note
TS28: epididymis Present UC Davis_1888341

Specimen UC Davis_1888342: postnatal adult; Taf8tm2b(EUCOMM)Wtsi/Taf8+ (more )
Structure Level Pattern Image Note
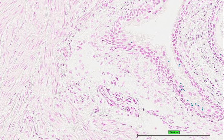
TS28: penis Present UC Davis_1888342

Specimen UC Davis_1888343: postnatal adult; Taf8tm2b(EUCOMM)Wtsi/Taf8+ (more )
Structure Level Pattern Image Note
TS28: penis Present UC Davis_1888343

Specimen UC Davis_1888344: postnatal adult; Taf8tm2b(EUCOMM)Wtsi/Taf8+ (more )
Structure Level Pattern Image Note
TS28: penis Present UC Davis_1888344

Specimen UC Davis_1888345: postnatal adult; Taf8tm2b(EUCOMM)Wtsi/Taf8+ (more )
Structure Level Pattern Image Note
TS28: ductus deferens Present UC Davis_1888345 vas deferens

Specimen UC Davis_1888346: postnatal adult; Taf8tm2b(EUCOMM)Wtsi/Taf8+ (more )
Structure Level Pattern Image Note
TS28: ductus deferens Present UC Davis_1888346 vas deferens


Contributing Projects:
Mouse Genome Database (MGD), Gene Expression Database (GXD), Mouse Models of Human Cancer database (MMHCdb) (formerly Mouse Tumor Biology (MTB)), Gene Ontology (GO)
Citing These Resources
Funding Information
Warranty Disclaimer, Privacy Notice, Licensing, & Copyright
Send questions and comments to User Support.
last database update
01/20/2026
MGI 6.24
The Jackson Laboratory