About   Help   FAQ
Gene Expression Data
Assay Details
Assay
Reference: J:228563 Koscielny G, et al., The International Mouse Phenotyping Consortium Web Portal, a unified point of access for knockout mice and related phenotyping data. Nucleic Acids Res. 2014 Jan;42(Database issue):D802-9
Assay type: In situ reporter (knock in)
MGI Accession ID: MGI:6692217
Gene symbol: Zdhhc3
Gene name: zinc finger, DHHC domain containing 3
Reporter: lacZ
Direct Detection
Results
Specimen UC Davis_1885826: postnatal adult; Zdhhc3tm1.1(KOMP)Vlcg/Zdhhc3+ (more )
Structure Level Pattern Image Note
TS28: metanephros Present UC Davis_1885826 kidney

Specimen UC Davis_1885827: postnatal adult; Zdhhc3tm1.1(KOMP)Vlcg/Zdhhc3+ (more )
Structure Level Pattern Image Note
TS28: metanephros Present UC Davis_1885827 kidney

Specimen UC Davis_1885829: postnatal adult; Zdhhc3tm1.1(KOMP)Vlcg/Zdhhc3+ (more )
Structure Level Pattern Image Note
TS28: ileum Present UC Davis_1885829

Specimen UC Davis_1885830: postnatal adult; Zdhhc3tm1.1(KOMP)Vlcg/Zdhhc3+ (more )
Structure Level Pattern Image Note
TS28: testis Present UC Davis_1885830

Specimen UC Davis_1885831: postnatal adult; Zdhhc3tm1.1(KOMP)Vlcg/Zdhhc3+ (more )
Structure Level Pattern Image Note
TS28: epididymis Present UC Davis_1885831

Specimen UC Davis_1885832: postnatal adult; Zdhhc3tm1.1(KOMP)Vlcg/Zdhhc3+ (more )
Structure Level Pattern Image Note
TS28: prostate gland Present UC Davis_1885832

Specimen UC Davis_1885833: postnatal adult; Zdhhc3tm1.1(KOMP)Vlcg/Zdhhc3+ (more )
Structure Level Pattern Image Note
TS28: prostate gland Present UC Davis_1885833

Specimen UC Davis_1885834: postnatal adult; Zdhhc3tm1.1(KOMP)Vlcg/Zdhhc3+ (more )
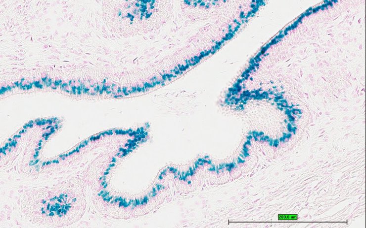
Structure Level Pattern Image Note
TS28: ductus deferens Present UC Davis_1885834 vas deferens


Contributing Projects:
Mouse Genome Database (MGD), Gene Expression Database (GXD), Mouse Models of Human Cancer database (MMHCdb) (formerly Mouse Tumor Biology (MTB)), Gene Ontology (GO)
Citing These Resources
Funding Information
Warranty Disclaimer, Privacy Notice, Licensing, & Copyright
Send questions and comments to User Support.
last database update
01/20/2026
MGI 6.24
The Jackson Laboratory