About   Help   FAQ
Gene Expression Data
Assay Details
Assay
Reference: J:228563 Koscielny G, et al., The International Mouse Phenotyping Consortium Web Portal, a unified point of access for knockout mice and related phenotyping data. Nucleic Acids Res. 2014 Jan;42(Database issue):D802-9
Assay type: In situ reporter (knock in)
MGI Accession ID: MGI:6692198
Gene symbol: Krtap17-1
Gene name: keratin associated protein 17-1
Reporter: lacZ
Direct Detection
Results
Specimen UC Davis_1877080: postnatal adult; Krtap17-1tm1.1(KOMP)Vlcg/Krtap17-1+ (more )
Structure Level Pattern Image Note
TS28: trachea Present UC Davis_1877080

Specimen UC Davis_1877081: postnatal adult; Krtap17-1tm1.1(KOMP)Vlcg/Krtap17-1+ (more )
Structure Level Pattern Image Note
TS28: esophagus Present UC Davis_1877081

Specimen UC Davis_1877082: postnatal adult; Krtap17-1tm1.1(KOMP)Vlcg/Krtap17-1+ (more )
Structure Level Pattern Image Note
TS28: lung Present UC Davis_1877082

Specimen UC Davis_1877083: postnatal adult; Krtap17-1tm1.1(KOMP)Vlcg/Krtap17-1+ (more )
Structure Level Pattern Image Note
TS28: thymus Present UC Davis_1877083

Specimen UC Davis_1877084: postnatal adult; Krtap17-1tm1.1(KOMP)Vlcg/Krtap17-1+ (more )
Structure Level Pattern Image Note
TS28: metanephros Present UC Davis_1877084 kidney

Specimen UC Davis_1877085: postnatal adult; Krtap17-1tm1.1(KOMP)Vlcg/Krtap17-1+ (more )
Structure Level Pattern Image Note
TS28: tongue Present UC Davis_1877085

Specimen UC Davis_1877086: postnatal adult; Krtap17-1tm1.1(KOMP)Vlcg/Krtap17-1+ (more )
Structure Level Pattern Image Note
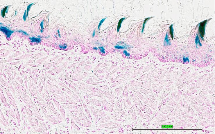
TS28: skin Present UC Davis_1877086

Specimen UC Davis_1877087: postnatal adult; Krtap17-1tm1.1(KOMP)Vlcg/Krtap17-1+ (more )
Structure Level Pattern Image Note
TS28: skin Present UC Davis_1877087

Specimen UC Davis_1877088: postnatal adult; Krtap17-1tm1.1(KOMP)Vlcg/Krtap17-1+ (more )
Structure Level Pattern Image Note
TS28: bladder Present UC Davis_1877088

Specimen UC Davis_1877089: postnatal adult; Krtap17-1tm1.1(KOMP)Vlcg/Krtap17-1+ (more )
Structure Level Pattern Image Note
TS28: trachea Present UC Davis_1877089

Specimen UC Davis_1877090: postnatal adult; Krtap17-1tm1.1(KOMP)Vlcg/Krtap17-1+ (more )
Structure Level Pattern Image Note
TS28: trachea Present UC Davis_1877090

Specimen UC Davis_1877091: postnatal adult; Krtap17-1tm1.1(KOMP)Vlcg/Krtap17-1+ (more )
Structure Level Pattern Image Note
TS28: trachea Present UC Davis_1877091

Specimen UC Davis_1877093: postnatal adult; Krtap17-1tm1.1(KOMP)Vlcg/Krtap17-1+ (more )
Structure Level Pattern Image Note
TS28: tongue Present UC Davis_1877093

Specimen UC Davis_1877094: postnatal adult; Krtap17-1tm1.1(KOMP)Vlcg/Krtap17-1+ (more )
Structure Level Pattern Image Note
TS28: tongue Present UC Davis_1877094

Specimen UC Davis_1877095: postnatal adult; Krtap17-1tm1.1(KOMP)Vlcg/Krtap17-1+ (more )
Structure Level Pattern Image Note
TS28: tongue Present UC Davis_1877095

Specimen UC Davis_1877096: postnatal adult; Krtap17-1tm1.1(KOMP)Vlcg/Krtap17-1+ (more )
Structure Level Pattern Image Note
TS28: skin Present UC Davis_1877096

Specimen UC Davis_1877097: postnatal adult; Krtap17-1tm1.1(KOMP)Vlcg/Krtap17-1+ (more )
Structure Level Pattern Image Note
TS28: skin Present UC Davis_1877097

Specimen UC Davis_1877098: postnatal adult; Krtap17-1tm1.1(KOMP)Vlcg/Krtap17-1+ (more )
Structure Level Pattern Image Note
TS28: epididymis Present UC Davis_1877098

Specimen UC Davis_1877099: postnatal adult; Krtap17-1tm1.1(KOMP)Vlcg/Krtap17-1+ (more )
Structure Level Pattern Image Note
TS28: epididymis Present UC Davis_1877099

Specimen UC Davis_1877100: postnatal adult; Krtap17-1tm1.1(KOMP)Vlcg/Krtap17-1+ (more )
Structure Level Pattern Image Note
TS28: prostate gland Present UC Davis_1877100

Specimen UC Davis_1877101: postnatal adult; Krtap17-1tm1.1(KOMP)Vlcg/Krtap17-1+ (more )
Structure Level Pattern Image Note
TS28: prostate gland Present UC Davis_1877101

Specimen UC Davis_1877102: postnatal adult; Krtap17-1tm1.1(KOMP)Vlcg/Krtap17-1+ (more )
Structure Level Pattern Image Note
TS28: prostate gland Present UC Davis_1877102

Specimen UC Davis_1877103: postnatal adult; Krtap17-1tm1.1(KOMP)Vlcg/Krtap17-1+ (more )
Structure Level Pattern Image Note
TS28: prostate gland Present UC Davis_1877103

Specimen UC Davis_1877104: postnatal adult; Krtap17-1tm1.1(KOMP)Vlcg/Krtap17-1+ (more )
Structure Level Pattern Image Note
TS28: penis Present UC Davis_1877104

Specimen UC Davis_1877105: postnatal adult; Krtap17-1tm1.1(KOMP)Vlcg/Krtap17-1+ (more )
Structure Level Pattern Image Note
TS28: penis Present UC Davis_1877105

Specimen UC Davis_1877106: postnatal adult; Krtap17-1tm1.1(KOMP)Vlcg/Krtap17-1+ (more )
Structure Level Pattern Image Note
TS28: penis Present UC Davis_1877106

Specimen UC Davis_1877107: postnatal adult; Krtap17-1tm1.1(KOMP)Vlcg/Krtap17-1+ (more )
Structure Level Pattern Image Note
TS28: penis Present UC Davis_1877107

Specimen UC Davis_1877110: postnatal adult; Krtap17-1tm1.1(KOMP)Vlcg/Krtap17-1+ (more )
Structure Level Pattern Image Note
TS28: ductus deferens Present UC Davis_1877110 vas deferens


Contributing Projects:
Mouse Genome Database (MGD), Gene Expression Database (GXD), Mouse Models of Human Cancer database (MMHCdb) (formerly Mouse Tumor Biology (MTB)), Gene Ontology (GO)
Citing These Resources
Funding Information
Warranty Disclaimer, Privacy Notice, Licensing, & Copyright
Send questions and comments to User Support.
last database update
01/20/2026
MGI 6.24
The Jackson Laboratory