About   Help   FAQ
Gene Expression Data
Assay Details
Assay
Reference: J:228563 Koscielny G, et al., The International Mouse Phenotyping Consortium Web Portal, a unified point of access for knockout mice and related phenotyping data. Nucleic Acids Res. 2014 Jan;42(Database issue):D802-9
Assay type: In situ reporter (knock in)
MGI Accession ID: MGI:6692156
Gene symbol: Cenpo
Gene name: centromere protein O
Reporter: lacZ
Direct Detection
Results
Specimen JAX_1469417: embryonic day 12.5; Cenpotm1b(KOMP)Mbp/Cenpo+ (more )
Structure Level Pattern Image Note
TS20: embryo Present JAX_1469417

Specimen JAX_1469418: embryonic day 12.5; Cenpotm1b(KOMP)Mbp/Cenpo+ (more )
Structure Level Pattern Image Note
TS20: embryo Present JAX_1469418

Specimen JAX_1469419: embryonic day 12.5; Cenpotm1b(KOMP)Mbp/Cenpo+ (more )
Structure Level Pattern Image Note
TS20: embryo Present JAX_1469419

Specimen JAX_1469420: embryonic day 12.5; Cenpotm1b(KOMP)Mbp/Cenpo+ (more )
Structure Level Pattern Image Note
TS20: embryo Present JAX_1469420

Specimen JAX_1798201: postnatal adult; Cenpotm1b(KOMP)Mbp/Cenpo+ (more )
Structure Level Pattern Image Note
TS28: cartilage Present JAX_1798201

Specimen JAX_1798202: postnatal adult; Cenpotm1b(KOMP)Mbp/Cenpo+ (more )
Structure Level Pattern Image Note
TS28: aorta Present JAX_1798202

Specimen JAX_1798203: postnatal adult; Cenpotm1b(KOMP)Mbp/Cenpo+ (more )
Structure Level Pattern Image Note
TS28: spinal cord Present JAX_1798203

Specimen JAX_1798204: postnatal adult; Cenpotm1b(KOMP)Mbp/Cenpo+ (more )
Structure Level Pattern Image Note
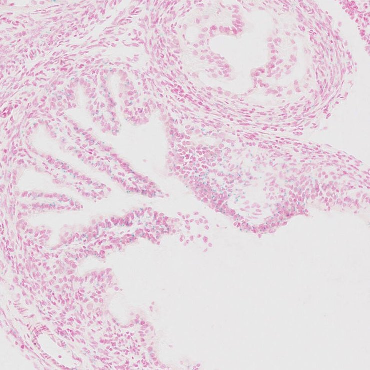
TS28: uterus Present JAX_1798204

Specimen JAX_1798205: postnatal adult; Cenpotm1b(KOMP)Mbp/Cenpo+ (more )
Structure Level Pattern Image Note
TS28: oviduct Present JAX_1798205

Specimen JAX_1798206: postnatal adult; Cenpotm1b(KOMP)Mbp/Cenpo+ (more )
Structure Level Pattern Image Note
TS28: ovary Present JAX_1798206

Specimen JAX_1798207: postnatal adult; Cenpotm1b(KOMP)Mbp/Cenpo+ (more )
Structure Level Pattern Image Note
TS28: metanephros Present JAX_1798207 kidney

Specimen JAX_1798208: postnatal adult; Cenpotm1b(KOMP)Mbp/Cenpo+ (more )
Structure Level Pattern Image Note
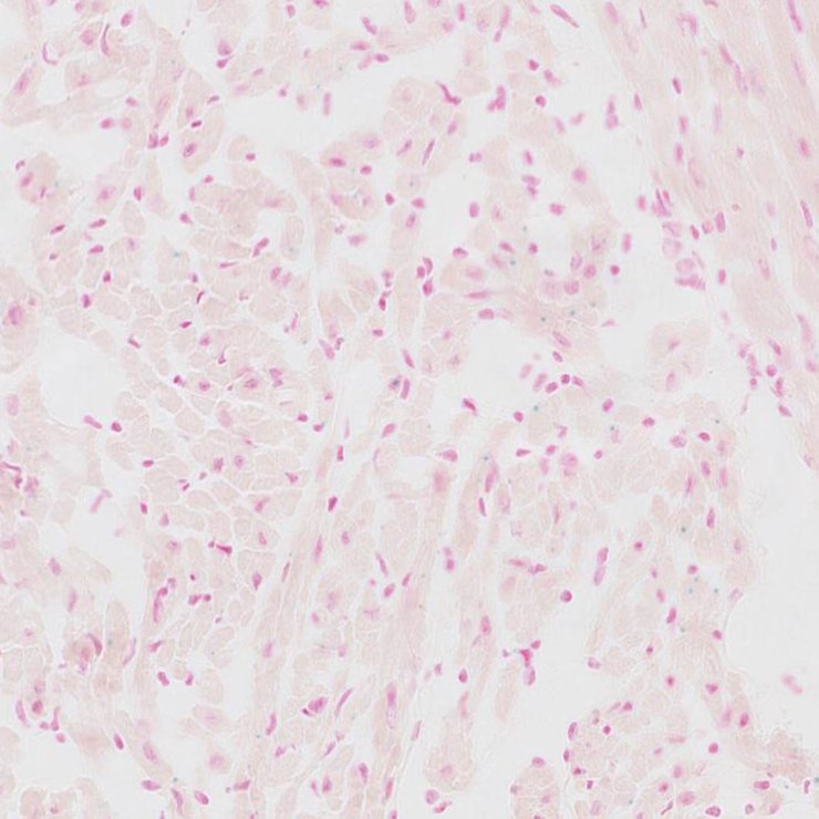
TS28: heart Present JAX_1798208

Specimen JAX_1798209: postnatal adult; Cenpotm1b(KOMP)Mbp/Cenpo+ (more )
Structure Level Pattern Image Note
TS28: adrenal gland Present JAX_1798209

Specimen JAX_1798210: postnatal adult; Cenpotm1b(KOMP)Mbp/Cenpo+ (more )
Structure Level Pattern Image Note
TS28: epididymis Present JAX_1798210

Specimen JAX_1798211: postnatal adult; Cenpotm1b(KOMP)Mbp/Cenpo+ (more )
Structure Level Pattern Image Note
TS28: bladder Present JAX_1798211

Specimen JAX_1798212: postnatal adult; Cenpotm1b(KOMP)Mbp/Cenpo+ (more )
Structure Level Pattern Image Note
TS28: pituitary gland Present JAX_1798212

Specimen JAX_1798213: postnatal adult; Cenpotm1b(KOMP)Mbp/Cenpo+ (more )
Structure Level Pattern Image Note
TS28: testis Present JAX_1798213

Specimen JAX_1798214: postnatal adult; Cenpotm1b(KOMP)Mbp/Cenpo+ (more )
Structure Level Pattern Image Note
TS28: eye Present JAX_1798214


Contributing Projects:
Mouse Genome Database (MGD), Gene Expression Database (GXD), Mouse Models of Human Cancer database (MMHCdb) (formerly Mouse Tumor Biology (MTB)), Gene Ontology (GO)
Citing These Resources
Funding Information
Warranty Disclaimer, Privacy Notice, Licensing, & Copyright
Send questions and comments to User Support.
last database update
12/30/2025
MGI 6.24
The Jackson Laboratory