About   Help   FAQ
Gene Expression Data
Assay Details
Assay
Reference: J:228563 Koscielny G, et al., The International Mouse Phenotyping Consortium Web Portal, a unified point of access for knockout mice and related phenotyping data. Nucleic Acids Res. 2014 Jan;42(Database issue):D802-9
Assay type: In situ reporter (knock in)
MGI Accession ID: MGI:6692123
Gene symbol: 1700003F12Rik
Gene name: RIKEN cDNA 1700003F12 gene
Reporter: lacZ
Direct Detection
Results
Specimen TCP_2459674: postnatal adult; 1700003F12Riktm1.1(KOMP)Vlcg/1700003F12Rik+ (more )
Structure Level Pattern Image Note
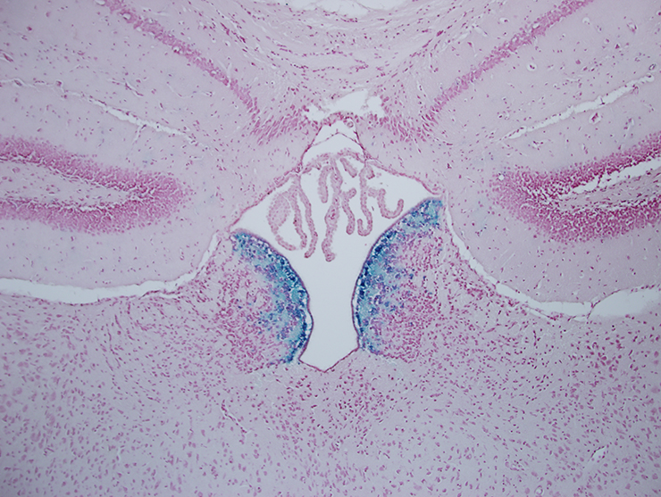
TS28: brain Present TCP_2459674

Specimen TCP_2459675: postnatal adult; 1700003F12Riktm1.1(KOMP)Vlcg/1700003F12Rik+ (more )
Structure Level Pattern Image Note
TS28: brain Present TCP_2459675

Specimen TCP_2459676: postnatal adult; 1700003F12Riktm1.1(KOMP)Vlcg/1700003F12Rik+ (more )
Structure Level Pattern Image Note
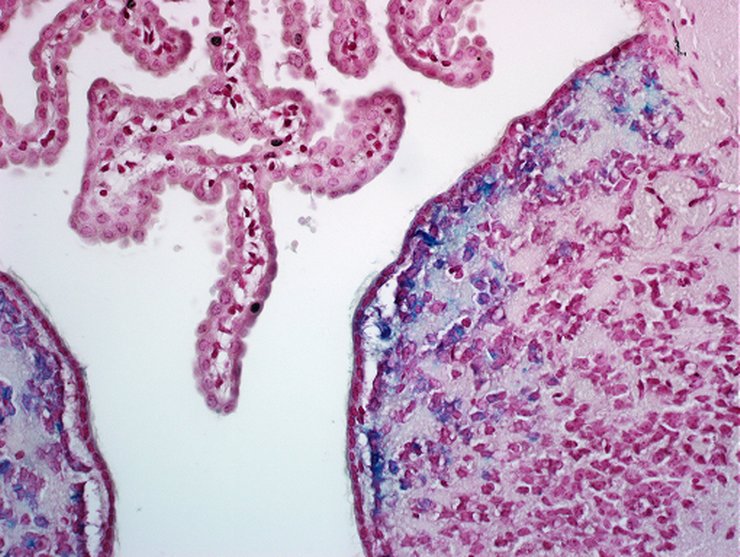
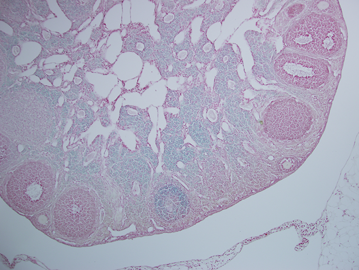
TS28: ovary Present TCP_2459676

Specimen TCP_2459677: postnatal adult; 1700003F12Riktm1.1(KOMP)Vlcg/1700003F12Rik+ (more )
Structure Level Pattern Image Note
TS28: ovary Present TCP_2459677

Specimen TCP_2459678: postnatal adult; 1700003F12Riktm1.1(KOMP)Vlcg/1700003F12Rik+ (more )
Structure Level Pattern Image Note
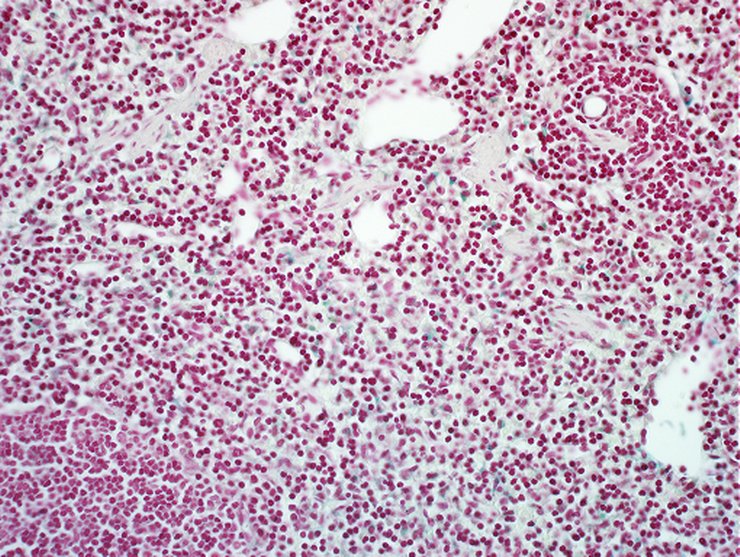
TS28: spleen Present TCP_2459678

Specimen TCP_2459679: postnatal adult; 1700003F12Riktm1.1(KOMP)Vlcg/1700003F12Rik+ (more )
Structure Level Pattern Image Note
TS28: spleen Present TCP_2459679

Specimen TCP_2459680: postnatal adult; 1700003F12Riktm1.1(KOMP)Vlcg/1700003F12Rik+ (more )
Structure Level Pattern Image Note
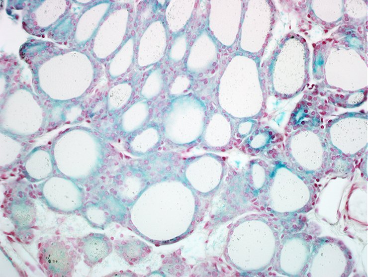
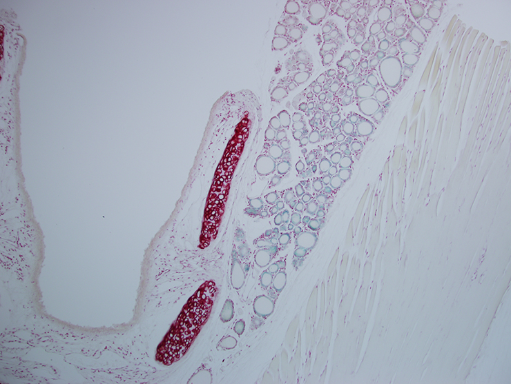
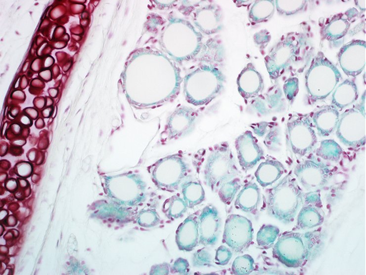
TS28: thyroid gland Present TCP_2459680

Specimen TCP_2459681: postnatal adult; 1700003F12Riktm1.1(KOMP)Vlcg/1700003F12Rik+ (more )
Structure Level Pattern Image Note
TS28: thyroid gland Present TCP_2459681

Specimen TCP_2459666: postnatal adult; 1700003F12Riktm1.1(KOMP)Vlcg/1700003F12Rik+ (more )
Structure Level Pattern Image Note
TS28: brain Present TCP_2459666

Specimen TCP_2459667: postnatal adult; 1700003F12Riktm1.1(KOMP)Vlcg/1700003F12Rik+ (more )
Structure Level Pattern Image Note
TS28: brain Present TCP_2459667

Specimen TCP_2459668: postnatal adult; 1700003F12Riktm1.1(KOMP)Vlcg/1700003F12Rik+ (more )
Structure Level Pattern Image Note
TS28: spleen Present TCP_2459668

Specimen TCP_2459669: postnatal adult; 1700003F12Riktm1.1(KOMP)Vlcg/1700003F12Rik+ (more )
Structure Level Pattern Image Note
TS28: spleen Present TCP_2459669

Specimen TCP_2459670: postnatal adult; 1700003F12Riktm1.1(KOMP)Vlcg/1700003F12Rik+ (more )
Structure Level Pattern Image Note
TS28: testis Present TCP_2459670

Specimen TCP_2459671: postnatal adult; 1700003F12Riktm1.1(KOMP)Vlcg/1700003F12Rik+ (more )
Structure Level Pattern Image Note
TS28: testis Present TCP_2459671

Specimen TCP_2459672: postnatal adult; 1700003F12Riktm1.1(KOMP)Vlcg/1700003F12Rik+ (more )
Structure Level Pattern Image Note
TS28: thyroid gland Present TCP_2459672

Specimen TCP_2459673: postnatal adult; 1700003F12Riktm1.1(KOMP)Vlcg/1700003F12Rik+ (more )
Structure Level Pattern Image Note
TS28: thyroid gland Present TCP_2459673


Contributing Projects:
Mouse Genome Database (MGD), Gene Expression Database (GXD), Mouse Models of Human Cancer database (MMHCdb) (formerly Mouse Tumor Biology (MTB)), Gene Ontology (GO)
Citing These Resources
Funding Information
Warranty Disclaimer, Privacy Notice, Licensing, & Copyright
Send questions and comments to User Support.
last database update
01/28/2026
MGI 6.24
The Jackson Laboratory