About   Help   FAQ
Gene Expression Data
Assay Details
Assay
Reference: J:228563 Koscielny G, et al., The International Mouse Phenotyping Consortium Web Portal, a unified point of access for knockout mice and related phenotyping data. Nucleic Acids Res. 2014 Jan;42(Database issue):D802-9
Assay type: In situ reporter (knock in)
MGI Accession ID: MGI:6692114
Gene symbol: Ccdc33
Gene name: coiled-coil domain containing 33
Reporter: lacZ
Direct Detection
Results
Specimen UC Davis_1856990: postnatal adult; Ccdc33tm1.1(KOMP)Vlcg/Ccdc33+ (more )
Structure Level Pattern Image Note
TS28: tongue Present UC Davis_1856990

Specimen UC Davis_1856991: postnatal adult; Ccdc33tm1.1(KOMP)Vlcg/Ccdc33+ (more )
Structure Level Pattern Image Note
TS28: Harderian gland Present UC Davis_1856991

Specimen UC Davis_1856994: postnatal adult; Ccdc33tm1.1(KOMP)Vlcg/Ccdc33+ (more )
Structure Level Pattern Image Note
TS28: midbrain Present UC Davis_1856994

Specimen UC Davis_1857011: postnatal adult; Ccdc33tm1.1(KOMP)Vlcg/Ccdc33+ (more )
Structure Level Pattern Image Note
TS28: pituitary gland Present UC Davis_1857011

Specimen UC Davis_1856995: postnatal adult; Ccdc33tm1.1(KOMP)Vlcg/Ccdc33+ (more )
Structure Level Pattern Image Note
TS28: olfactory lobe Present UC Davis_1856995

Specimen UC Davis_1856996: postnatal adult; Ccdc33tm1.1(KOMP)Vlcg/Ccdc33+ (more )
Structure Level Pattern Image Note
TS28: olfactory lobe Present UC Davis_1856996

Specimen UC Davis_1856998: postnatal adult; Ccdc33tm1.1(KOMP)Vlcg/Ccdc33+ (more )
Structure Level Pattern Image Note
TS28: midbrain Present UC Davis_1856998

Specimen UC Davis_1856999: postnatal adult; Ccdc33tm1.1(KOMP)Vlcg/Ccdc33+ (more )
Structure Level Pattern Image Note
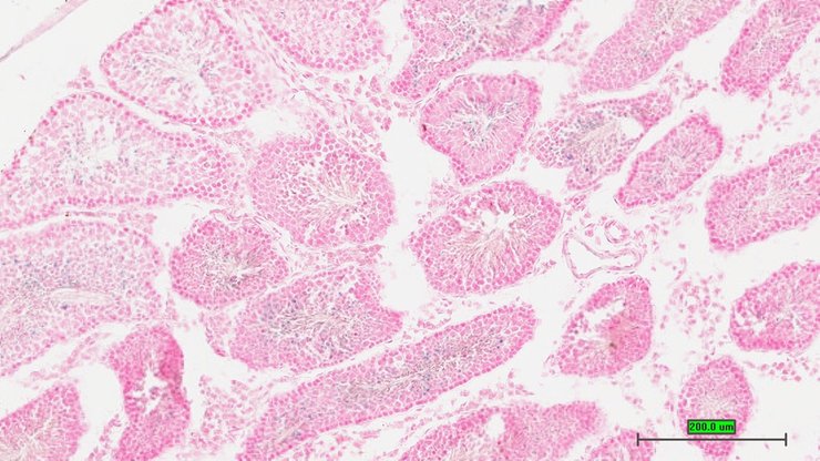
TS28: testis Present UC Davis_1856999

Specimen UC Davis_1857000: postnatal adult; Ccdc33tm1.1(KOMP)Vlcg/Ccdc33+ (more )
Structure Level Pattern Image Note
TS28: testis Present UC Davis_1857000

Specimen UC Davis_1857001: postnatal adult; Ccdc33tm1.1(KOMP)Vlcg/Ccdc33+ (more )
Structure Level Pattern Image Note
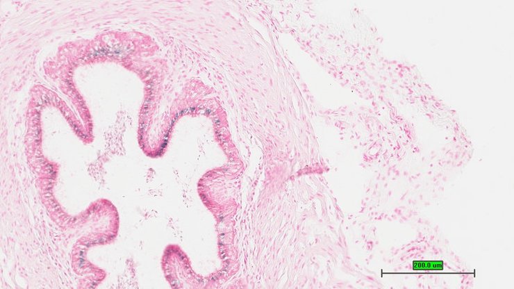
TS28: epididymis Present UC Davis_1857001

Specimen UC Davis_1857002: postnatal adult; Ccdc33tm1.1(KOMP)Vlcg/Ccdc33+ (more )
Structure Level Pattern Image Note
TS28: epididymis Present UC Davis_1857002

Specimen UC Davis_1857003: postnatal adult; Ccdc33tm1.1(KOMP)Vlcg/Ccdc33+ (more )
Structure Level Pattern Image Note
TS28: ductus deferens Present UC Davis_1857003 vas deferens

Specimen UC Davis_1857004: postnatal adult; Ccdc33tm1.1(KOMP)Vlcg/Ccdc33+ (more )
Structure Level Pattern Image Note
TS28: ductus deferens Present UC Davis_1857004 vas deferens

Specimen UC Davis_1857005: postnatal adult; Ccdc33tm1.1(KOMP)Vlcg/Ccdc33+ (more )
Structure Level Pattern Image Note
TS28: olfactory lobe Present UC Davis_1857005

Specimen UC Davis_1857007: postnatal adult; Ccdc33tm1.1(KOMP)Vlcg/Ccdc33+ (more )
Structure Level Pattern Image Note
TS28: midbrain Present UC Davis_1857007

Specimen UC Davis_1857009: postnatal adult; Ccdc33tm1.1(KOMP)Vlcg/Ccdc33+ (more )
Structure Level Pattern Image Note
TS28: brain Present UC Davis_1857009

Specimen UC Davis_1857010: postnatal adult; Ccdc33tm1.1(KOMP)Vlcg/Ccdc33+ (more )
Structure Level Pattern Image Note
TS28: testis Present UC Davis_1857010


Contributing Projects:
Mouse Genome Database (MGD), Gene Expression Database (GXD), Mouse Models of Human Cancer database (MMHCdb) (formerly Mouse Tumor Biology (MTB)), Gene Ontology (GO)
Citing These Resources
Funding Information
Warranty Disclaimer, Privacy Notice, Licensing, & Copyright
Send questions and comments to User Support.
last database update
10/07/2025
MGI 6.24
The Jackson Laboratory