About   Help   FAQ
Gene Expression Data
Assay Details
Assay
Reference: J:228563 Koscielny G, et al., The International Mouse Phenotyping Consortium Web Portal, a unified point of access for knockout mice and related phenotyping data. Nucleic Acids Res. 2014 Jan;42(Database issue):D802-9
Assay type: In situ reporter (knock in)
MGI Accession ID: MGI:6692088
Gene symbol: Ranbp10
Gene name: RAN binding protein 10
Reporter: lacZ
Direct Detection
Results
Specimen UC Davis_1885341: postnatal adult; Ranbp10tm1.1(KOMP)Vlcg/Ranbp10+ (more )
Structure Level Pattern Image Note
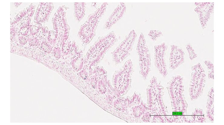
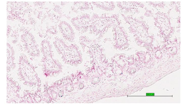
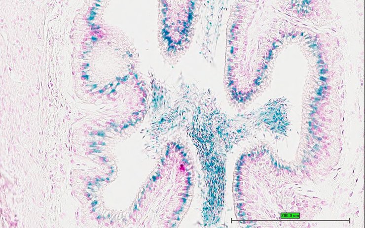
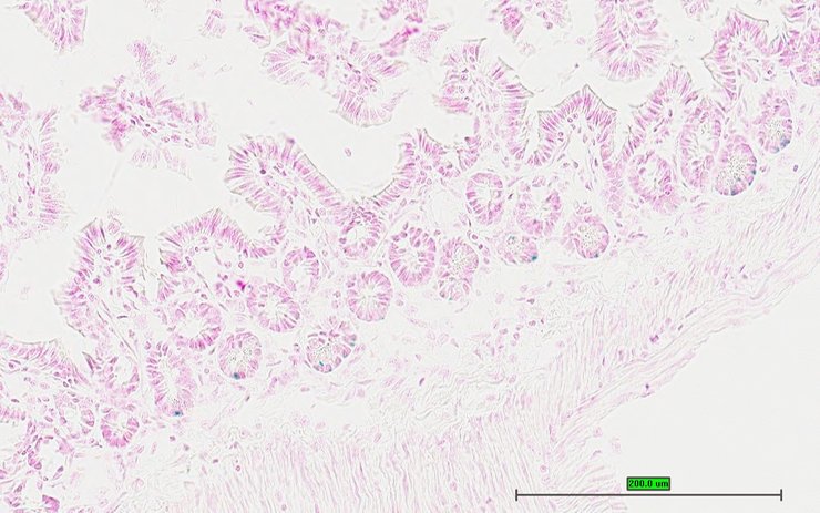
TS28: jejunum Present UC Davis_1885341

Specimen UC Davis_1885342: postnatal adult; Ranbp10tm1.1(KOMP)Vlcg/Ranbp10+ (more )
Structure Level Pattern Image Note
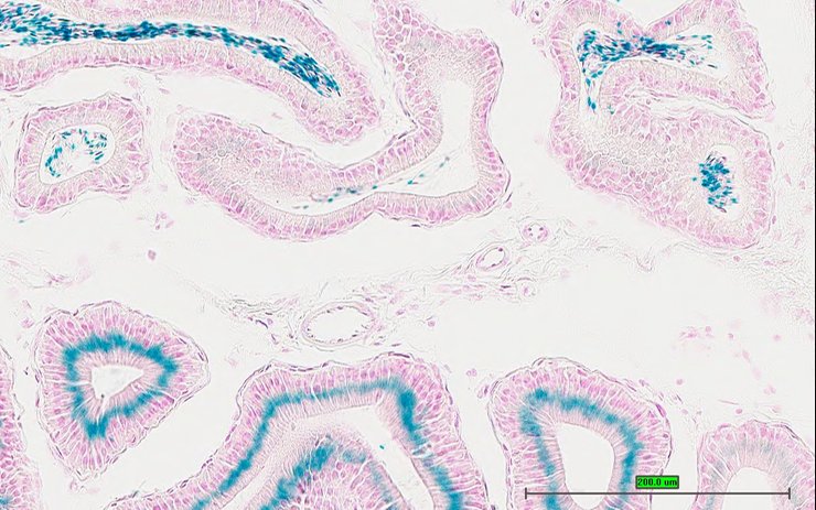
TS28: ileum Present UC Davis_1885342

Specimen UC Davis_1885343: postnatal adult; Ranbp10tm1.1(KOMP)Vlcg/Ranbp10+ (more )
Structure Level Pattern Image Note
TS28: ileum Present UC Davis_1885343

Specimen UC Davis_1885344: postnatal adult; Ranbp10tm1.1(KOMP)Vlcg/Ranbp10+ (more )
Structure Level Pattern Image Note
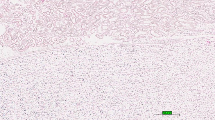
TS28: metanephros Present UC Davis_1885344 kidney

Specimen UC Davis_1885345: postnatal adult; Ranbp10tm1.1(KOMP)Vlcg/Ranbp10+ (more )
Structure Level Pattern Image Note
TS28: metanephros Present UC Davis_1885345 kidney

Specimen UC Davis_1885346: postnatal adult; Ranbp10tm1.1(KOMP)Vlcg/Ranbp10+ (more )
Structure Level Pattern Image Note
TS28: metanephros Present UC Davis_1885346 kidney

Specimen UC Davis_1885347: postnatal adult; Ranbp10tm1.1(KOMP)Vlcg/Ranbp10+ (more )
Structure Level Pattern Image Note
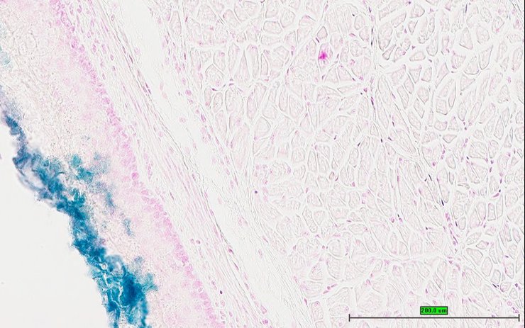
TS28: trigeminal nerve Present UC Davis_1885347

Specimen UC Davis_1885348: postnatal adult; Ranbp10tm1.1(KOMP)Vlcg/Ranbp10+ (more )
Structure Level Pattern Image Note
TS28: esophagus Present UC Davis_1885348

Specimen UC Davis_1885350: postnatal adult; Ranbp10tm1.1(KOMP)Vlcg/Ranbp10+ (more )
Structure Level Pattern Image Note
TS28: ileum Present UC Davis_1885350

Specimen UC Davis_1885353: postnatal adult; Ranbp10tm1.1(KOMP)Vlcg/Ranbp10+ (more )
Structure Level Pattern Image Note
TS28: midbrain Present UC Davis_1885353

Specimen UC Davis_1885355: postnatal adult; Ranbp10tm1.1(KOMP)Vlcg/Ranbp10+ (more )
Structure Level Pattern Image Note
TS28: trigeminal nerve Present UC Davis_1885355

Specimen UC Davis_1885356: postnatal adult; Ranbp10tm1.1(KOMP)Vlcg/Ranbp10+ (more )
Structure Level Pattern Image Note
TS28: trigeminal nerve Present UC Davis_1885356

Specimen UC Davis_1885357: postnatal adult; Ranbp10tm1.1(KOMP)Vlcg/Ranbp10+ (more )
Structure Level Pattern Image Note
TS28: testis Present UC Davis_1885357

Specimen UC Davis_1885358: postnatal adult; Ranbp10tm1.1(KOMP)Vlcg/Ranbp10+ (more )
Structure Level Pattern Image Note
TS28: testis Present UC Davis_1885358

Specimen UC Davis_1885359: postnatal adult; Ranbp10tm1.1(KOMP)Vlcg/Ranbp10+ (more )
Structure Level Pattern Image Note
TS28: epididymis Present UC Davis_1885359

Specimen UC Davis_1885360: postnatal adult; Ranbp10tm1.1(KOMP)Vlcg/Ranbp10+ (more )
Structure Level Pattern Image Note
TS28: epididymis Present UC Davis_1885360

Specimen UC Davis_1885361: postnatal adult; Ranbp10tm1.1(KOMP)Vlcg/Ranbp10+ (more )
Structure Level Pattern Image Note
TS28: ductus deferens Present UC Davis_1885361 vas deferens


Contributing Projects:
Mouse Genome Database (MGD), Gene Expression Database (GXD), Mouse Models of Human Cancer database (MMHCdb) (formerly Mouse Tumor Biology (MTB)), Gene Ontology (GO)
Citing These Resources
Funding Information
Warranty Disclaimer, Privacy Notice, Licensing, & Copyright
Send questions and comments to User Support.
last database update
01/20/2026
MGI 6.24
The Jackson Laboratory