About   Help   FAQ
Gene Expression Data
Assay Details
Assay
Reference: J:228563 Koscielny G, et al., The International Mouse Phenotyping Consortium Web Portal, a unified point of access for knockout mice and related phenotyping data. Nucleic Acids Res. 2014 Jan;42(Database issue):D802-9
Assay type: In situ reporter (knock in)
MGI Accession ID: MGI:6692070
Gene symbol: Slc7a13
Gene name: solute carrier family 7, (cationic amino acid transporter, y+ system) member 13
Reporter: lacZ
Direct Detection
Results
Specimen UC Davis_1866930: postnatal adult; Slc7a13tm1.1(KOMP)Vlcg/Slc7a13+ (more )
Structure Level Pattern Image Note
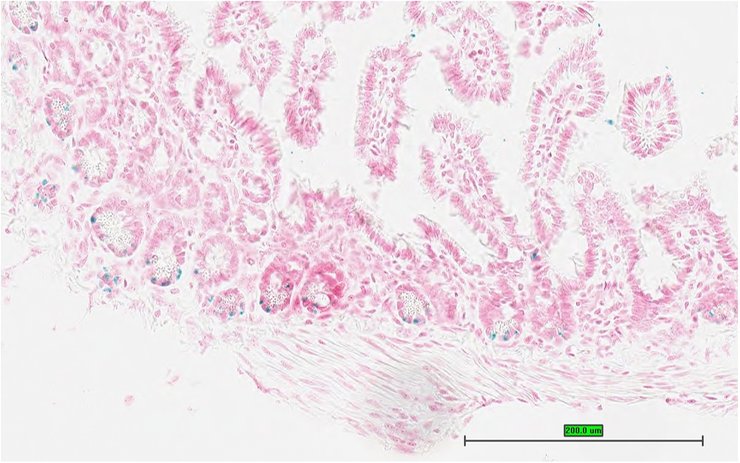
TS28: ileum Present UC Davis_1866930

Specimen UC Davis_1866931: postnatal adult; Slc7a13tm1.1(KOMP)Vlcg/Slc7a13+ (more )
Structure Level Pattern Image Note
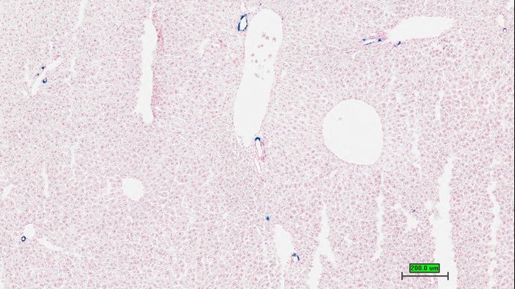
TS28: liver Present UC Davis_1866931

Specimen UC Davis_1866932: postnatal adult; Slc7a13tm1.1(KOMP)Vlcg/Slc7a13+ (more )
Structure Level Pattern Image Note
TS28: liver Present UC Davis_1866932

Specimen UC Davis_1866933: postnatal adult; Slc7a13tm1.1(KOMP)Vlcg/Slc7a13+ (more )
Structure Level Pattern Image Note
TS28: liver Present UC Davis_1866933

Specimen UC Davis_1866934: postnatal adult; Slc7a13tm1.1(KOMP)Vlcg/Slc7a13+ (more )
Structure Level Pattern Image Note
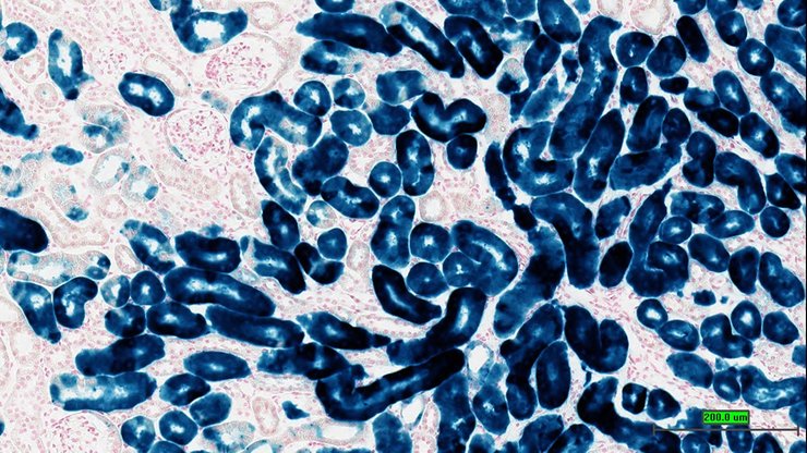
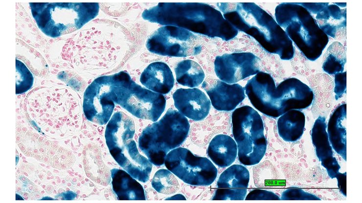
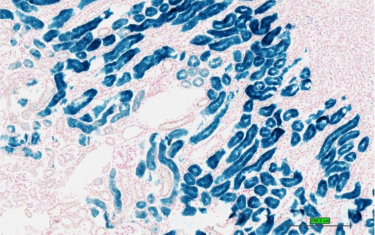
TS28: metanephros Present UC Davis_1866934 kidney

Specimen UC Davis_1866935: postnatal adult; Slc7a13tm1.1(KOMP)Vlcg/Slc7a13+ (more )
Structure Level Pattern Image Note
TS28: metanephros Present UC Davis_1866935 kidney

Specimen UC Davis_1866936: postnatal adult; Slc7a13tm1.1(KOMP)Vlcg/Slc7a13+ (more )
Structure Level Pattern Image Note
TS28: metanephros Present UC Davis_1866936 kidney

Specimen UC Davis_1866937: postnatal adult; Slc7a13tm1.1(KOMP)Vlcg/Slc7a13+ (more )
Structure Level Pattern Image Note
TS28: metanephros Present UC Davis_1866937 kidney

Specimen UC Davis_1866938: postnatal adult; Slc7a13tm1.1(KOMP)Vlcg/Slc7a13+ (more )
Structure Level Pattern Image Note
TS28: metanephros Present UC Davis_1866938 kidney

Specimen UC Davis_1866940: postnatal adult; Slc7a13tm1.1(KOMP)Vlcg/Slc7a13+ (more )
Structure Level Pattern Image Note
TS28: liver Present UC Davis_1866940

Specimen UC Davis_1866941: postnatal adult; Slc7a13tm1.1(KOMP)Vlcg/Slc7a13+ (more )
Structure Level Pattern Image Note
TS28: liver Present UC Davis_1866941

Specimen UC Davis_1866942: postnatal adult; Slc7a13tm1.1(KOMP)Vlcg/Slc7a13+ (more )
Structure Level Pattern Image Note
TS28: metanephros Present UC Davis_1866942 kidney

Specimen UC Davis_1866943: postnatal adult; Slc7a13tm1.1(KOMP)Vlcg/Slc7a13+ (more )
Structure Level Pattern Image Note
TS28: metanephros Present UC Davis_1866943 kidney

Specimen UC Davis_1866944: postnatal adult; Slc7a13tm1.1(KOMP)Vlcg/Slc7a13+ (more )
Structure Level Pattern Image Note
TS28: metanephros Present UC Davis_1866944 kidney

Specimen UC Davis_1866945: postnatal adult; Slc7a13tm1.1(KOMP)Vlcg/Slc7a13+ (more )
Structure Level Pattern Image Note
TS28: metanephros Present UC Davis_1866945 kidney

Specimen UC Davis_1866946: postnatal adult; Slc7a13tm1.1(KOMP)Vlcg/Slc7a13+ (more )
Structure Level Pattern Image Note
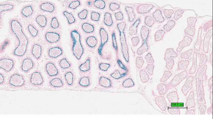
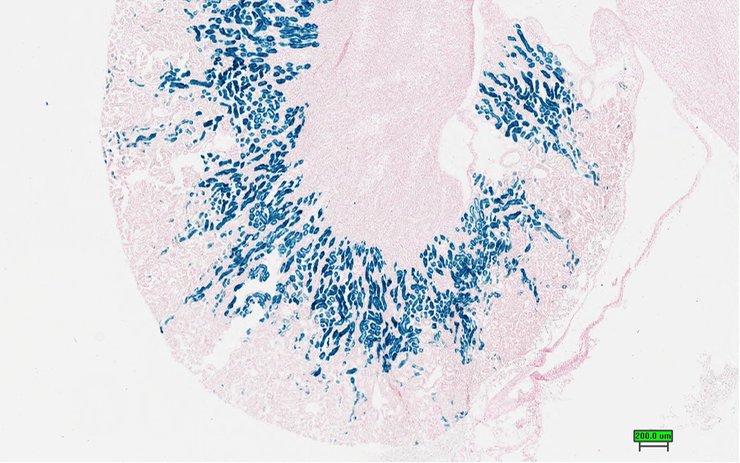
TS28: epididymis Present UC Davis_1866946

Specimen UC Davis_1866947: postnatal adult; Slc7a13tm1.1(KOMP)Vlcg/Slc7a13+ (more )
Structure Level Pattern Image Note
TS28: epididymis Present UC Davis_1866947

Specimen UC Davis_1866948: postnatal adult; Slc7a13tm1.1(KOMP)Vlcg/Slc7a13+ (more )
Structure Level Pattern Image Note
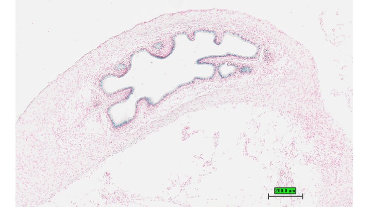
TS28: ductus deferens Present UC Davis_1866948 vas deferens

Specimen UC Davis_1866949: postnatal adult; Slc7a13tm1.1(KOMP)Vlcg/Slc7a13+ (more )
Structure Level Pattern Image Note
TS28: ductus deferens Present UC Davis_1866949 vas deferens


Contributing Projects:
Mouse Genome Database (MGD), Gene Expression Database (GXD), Mouse Models of Human Cancer database (MMHCdb) (formerly Mouse Tumor Biology (MTB)), Gene Ontology (GO)
Citing These Resources
Funding Information
Warranty Disclaimer, Privacy Notice, Licensing, & Copyright
Send questions and comments to User Support.
last database update
01/20/2026
MGI 6.24
The Jackson Laboratory