About   Help   FAQ
Gene Expression Data
Assay Details
Assay
Reference: J:228563 Koscielny G, et al., The International Mouse Phenotyping Consortium Web Portal, a unified point of access for knockout mice and related phenotyping data. Nucleic Acids Res. 2014 Jan;42(Database issue):D802-9
Assay type: In situ reporter (knock in)
MGI Accession ID: MGI:6692062
Gene symbol: Fam161a
Gene name: family with sequence similarity 161, member A
Reporter: lacZ
Direct Detection
Results
Specimen JAX_1798277: postnatal adult; Fam161atm1b(KOMP)Wtsi/Fam161a+ (more )
Structure Level Pattern Image Note
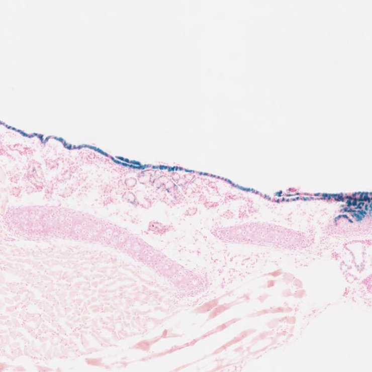
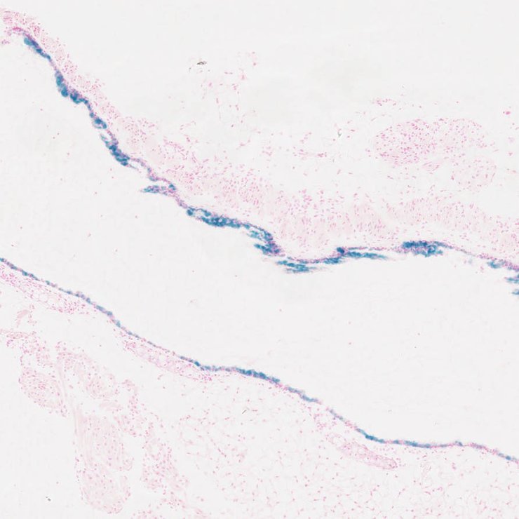
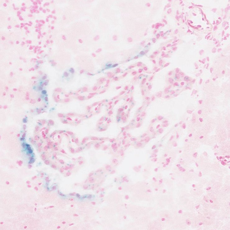
TS28: aorta Present JAX_1798277

Specimen JAX_1798278: postnatal adult; Fam161atm1b(KOMP)Wtsi/Fam161a+ (more )
Structure Level Pattern Image Note
TS28: oviduct Present JAX_1798278

Specimen JAX_1798270: postnatal adult; Fam161atm1b(KOMP)Wtsi/Fam161a+ (more )
Structure Level Pattern Image Note
TS28: lung Present JAX_1798270

Specimen JAX_1798271: postnatal adult; Fam161atm1b(KOMP)Wtsi/Fam161a+ (more )
Structure Level Pattern Image Note
TS28: pituitary gland Present JAX_1798271

Specimen JAX_1798272: postnatal adult; Fam161atm1b(KOMP)Wtsi/Fam161a+ (more )
Structure Level Pattern Image Note
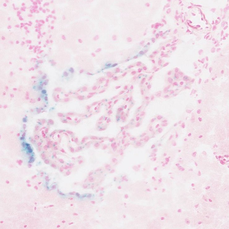
TS28: spinal cord Present JAX_1798272

Specimen JAX_1798273: postnatal adult; Fam161atm1b(KOMP)Wtsi/Fam161a+ (more )
Structure Level Pattern Image Note
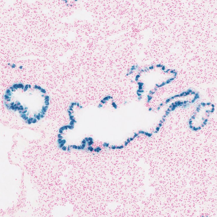
TS28: trachea Present JAX_1798273

Specimen JAX_1798274: postnatal adult; Fam161atm1b(KOMP)Wtsi/Fam161a+ (more )
Structure Level Pattern Image Note
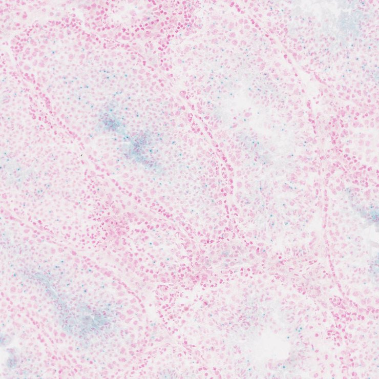
TS28: testis Present JAX_1798274

Specimen JAX_1798275: postnatal adult; Fam161atm1b(KOMP)Wtsi/Fam161a+ (more )
Structure Level Pattern Image Note
TS28: eye Present JAX_1798275

Specimen JAX_1798276: postnatal adult; Fam161atm1b(KOMP)Wtsi/Fam161a+ (more )
Structure Level Pattern Image Note
TS28: brain Present JAX_1798276


Contributing Projects:
Mouse Genome Database (MGD), Gene Expression Database (GXD), Mouse Models of Human Cancer database (MMHCdb) (formerly Mouse Tumor Biology (MTB)), Gene Ontology (GO)
Citing These Resources
Funding Information
Warranty Disclaimer, Privacy Notice, Licensing, & Copyright
Send questions and comments to User Support.
last database update
12/30/2025
MGI 6.24
The Jackson Laboratory