About   Help   FAQ
Gene Expression Data
Assay Details
Assay
Reference: J:228563 Koscielny G, et al., The International Mouse Phenotyping Consortium Web Portal, a unified point of access for knockout mice and related phenotyping data. Nucleic Acids Res. 2014 Jan;42(Database issue):D802-9
Assay type: In situ reporter (knock in)
MGI Accession ID: MGI:6692056
Gene symbol: Cabp4
Gene name: calcium binding protein 4
Reporter: lacZ
Direct Detection
Results
Specimen UC Davis_1877111: postnatal adult; Cabp4tm1.1(KOMP)Vlcg/Cabp4+ (more )
Structure Level Pattern Image Note
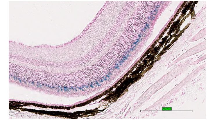
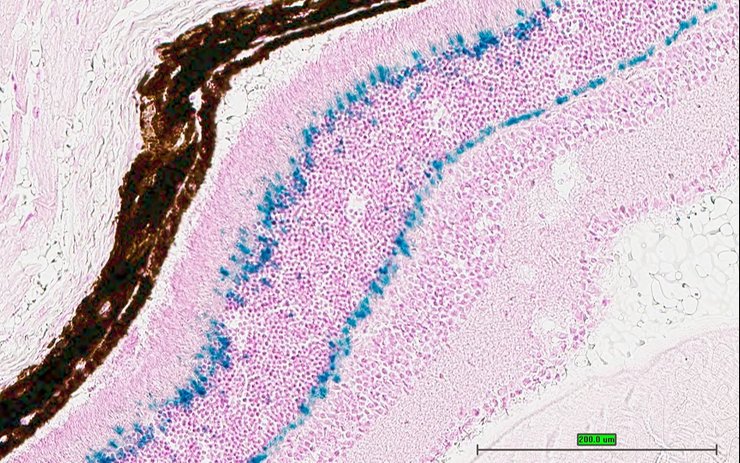
TS28: eye Present UC Davis_1877111

Specimen UC Davis_1877112: postnatal adult; Cabp4tm1.1(KOMP)Vlcg/Cabp4+ (more )
Structure Level Pattern Image Note
TS28: eye Present UC Davis_1877112

Specimen UC Davis_1877114: postnatal adult; Cabp4tm1.1(KOMP)Vlcg/Cabp4+ (more )
Structure Level Pattern Image Note
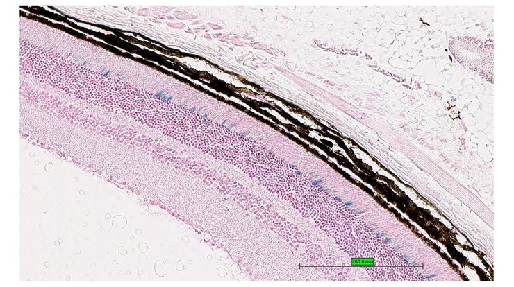
TS28: eye Present UC Davis_1877114

Specimen UC Davis_1877115: postnatal adult; Cabp4tm1.1(KOMP)Vlcg/Cabp4+ (more )
Structure Level Pattern Image Note
TS28: eye Present UC Davis_1877115

Specimen UC Davis_1877116: postnatal adult; Cabp4tm1.1(KOMP)Vlcg/Cabp4+ (more )
Structure Level Pattern Image Note
TS28: epididymis Present UC Davis_1877116

Specimen UC Davis_1877117: postnatal adult; Cabp4tm1.1(KOMP)Vlcg/Cabp4+ (more )
Structure Level Pattern Image Note
TS28: prostate gland Present UC Davis_1877117

Specimen UC Davis_1877118: postnatal adult; Cabp4tm1.1(KOMP)Vlcg/Cabp4+ (more )
Structure Level Pattern Image Note
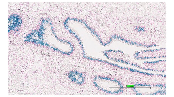
TS28: ductus deferens Present UC Davis_1877118 vas deferens


Contributing Projects:
Mouse Genome Database (MGD), Gene Expression Database (GXD), Mouse Models of Human Cancer database (MMHCdb) (formerly Mouse Tumor Biology (MTB)), Gene Ontology (GO)
Citing These Resources
Funding Information
Warranty Disclaimer, Privacy Notice, Licensing, & Copyright
Send questions and comments to User Support.
last database update
03/24/2026
MGI 6.24
The Jackson Laboratory