About   Help   FAQ
Gene Expression Data
Assay Details
Assay
Reference: J:228563 Koscielny G, et al., The International Mouse Phenotyping Consortium Web Portal, a unified point of access for knockout mice and related phenotyping data. Nucleic Acids Res. 2014 Jan;42(Database issue):D802-9
Assay type: In situ reporter (knock in)
MGI Accession ID: MGI:6692050
Gene symbol: 1700037C18Rik
Gene name: RIKEN cDNA 1700037C18 gene
Reporter: lacZ
Direct Detection
Results
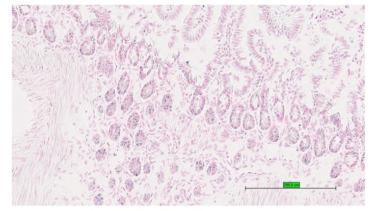
Specimen UC Davis_1881457: postnatal adult; 1700037C18Riktm1b(KOMP)Mbp/1700037C18Rik+ (more )
Structure Level Pattern Image Note
TS28: ileum Present UC Davis_1881457

Specimen UC Davis_1881458: postnatal adult; 1700037C18Riktm1b(KOMP)Mbp/1700037C18Rik+ (more )
Structure Level Pattern Image Note
TS28: ileum Present UC Davis_1881458

Specimen UC Davis_1881461: postnatal adult; 1700037C18Riktm1b(KOMP)Mbp/1700037C18Rik+ (more )
Structure Level Pattern Image Note
TS28: testis Present UC Davis_1881461

Specimen UC Davis_1881462: postnatal adult; 1700037C18Riktm1b(KOMP)Mbp/1700037C18Rik+ (more )
Structure Level Pattern Image Note
TS28: testis Present UC Davis_1881462

Specimen UC Davis_1881463: postnatal adult; 1700037C18Riktm1b(KOMP)Mbp/1700037C18Rik+ (more )
Structure Level Pattern Image Note
TS28: epididymis Present UC Davis_1881463

Specimen UC Davis_1881464: postnatal adult; 1700037C18Riktm1b(KOMP)Mbp/1700037C18Rik+ (more )
Structure Level Pattern Image Note
TS28: ductus deferens Present UC Davis_1881464 vas deferens


Contributing Projects:
Mouse Genome Database (MGD), Gene Expression Database (GXD), Mouse Models of Human Cancer database (MMHCdb) (formerly Mouse Tumor Biology (MTB)), Gene Ontology (GO)
Citing These Resources
Funding Information
Warranty Disclaimer, Privacy Notice, Licensing, & Copyright
Send questions and comments to User Support.
last database update
03/24/2026
MGI 6.24
The Jackson Laboratory