About   Help   FAQ
Gene Expression Data
Assay Details
Assay
Reference: J:228563 Koscielny G, et al., The International Mouse Phenotyping Consortium Web Portal, a unified point of access for knockout mice and related phenotyping data. Nucleic Acids Res. 2014 Jan;42(Database issue):D802-9
Assay type: In situ reporter (knock in)
MGI Accession ID: MGI:6692017
Gene symbol: Sting1
Gene name: stimulator of interferon response cGAMP interactor 1
Reporter: lacZ
Direct Detection
Results
Specimen UC Davis_1883071: postnatal adult; Sting1tm1.1(KOMP)Mbp/Sting1+ (more )
Note: The IMPC refers to this as a tm1b allele; when using standard nomenclature conventions, however, it is a tm1.1 allele.
Structure Level Pattern Image Note
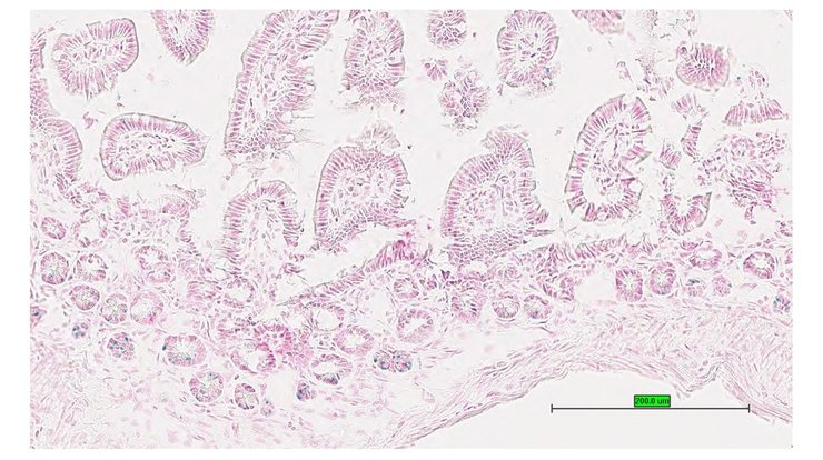
TS28: ileum Present UC Davis_1883071

Specimen UC Davis_1883072: postnatal adult; Sting1tm1.1(KOMP)Mbp/Sting1+ (more )
Note: The IMPC refers to this as a tm1b allele; when using standard nomenclature conventions, however, it is a tm1.1 allele.
Structure Level Pattern Image Note
TS28: ileum Present UC Davis_1883072

Specimen UC Davis_1883073: postnatal adult; Sting1tm1.1(KOMP)Mbp/Sting1+ (more )
Note: The IMPC refers to this as a tm1b allele; when using standard nomenclature conventions, however, it is a tm1.1 allele.
Structure Level Pattern Image Note
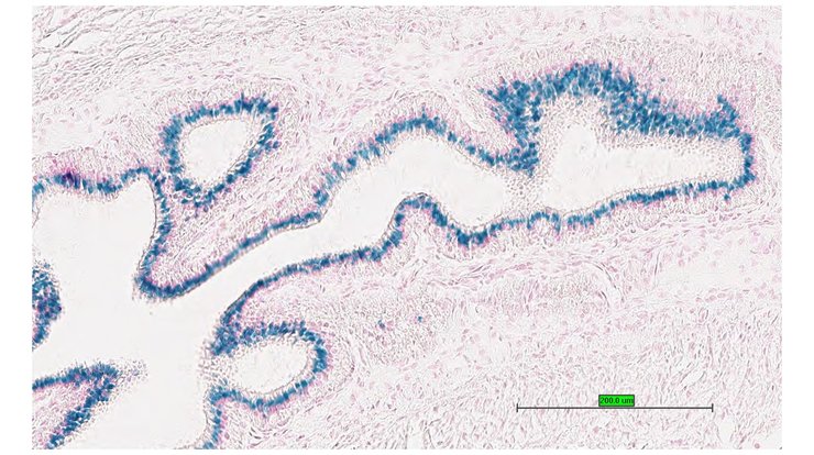
TS28: epididymis Present UC Davis_1883073

Specimen UC Davis_1883074: postnatal adult; Sting1tm1.1(KOMP)Mbp/Sting1+ (more )
Note: The IMPC refers to this as a tm1b allele; when using standard nomenclature conventions, however, it is a tm1.1 allele.
Structure Level Pattern Image Note
TS28: epididymis Present UC Davis_1883074

Specimen UC Davis_1883075: postnatal adult; Sting1tm1.1(KOMP)Mbp/Sting1+ (more )
Note: The IMPC refers to this as a tm1b allele; when using standard nomenclature conventions, however, it is a tm1.1 allele.
Structure Level Pattern Image Note
TS28: epididymis Present UC Davis_1883075

Specimen UC Davis_1883076: postnatal adult; Sting1tm1.1(KOMP)Mbp/Sting1+ (more )
Note: The IMPC refers to this as a tm1b allele; when using standard nomenclature conventions, however, it is a tm1.1 allele.
Structure Level Pattern Image Note
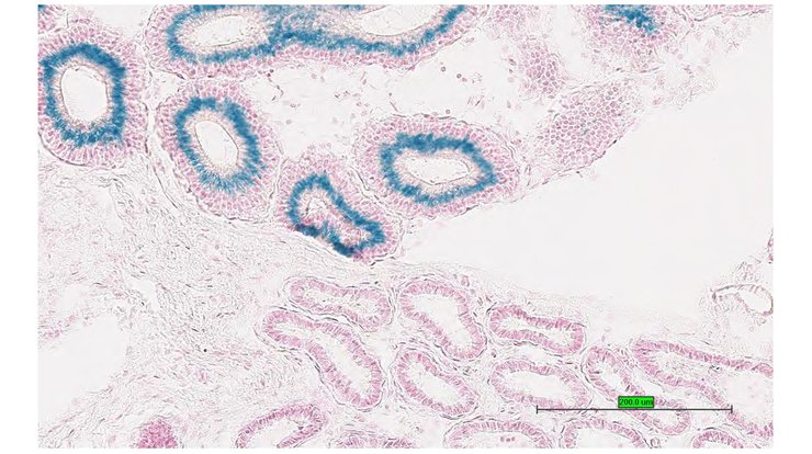
TS28: prostate gland Present UC Davis_1883076

Specimen UC Davis_1883077: postnatal adult; Sting1tm1.1(KOMP)Mbp/Sting1+ (more )
Note: The IMPC refers to this as a tm1b allele; when using standard nomenclature conventions, however, it is a tm1.1 allele.
Structure Level Pattern Image Note
TS28: prostate gland Present UC Davis_1883077

Specimen UC Davis_1883078: postnatal adult; Sting1tm1.1(KOMP)Mbp/Sting1+ (more )
Note: The IMPC refers to this as a tm1b allele; when using standard nomenclature conventions, however, it is a tm1.1 allele.
Structure Level Pattern Image Note
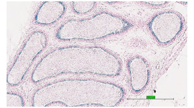
TS28: ductus deferens Present UC Davis_1883078 vas deferens

Specimen UC Davis_1883079: postnatal adult; Sting1tm1.1(KOMP)Mbp/Sting1+ (more )
Note: The IMPC refers to this as a tm1b allele; when using standard nomenclature conventions, however, it is a tm1.1 allele.
Structure Level Pattern Image Note
TS28: ductus deferens Present UC Davis_1883079 vas deferens


Contributing Projects:
Mouse Genome Database (MGD), Gene Expression Database (GXD), Mouse Models of Human Cancer database (MMHCdb) (formerly Mouse Tumor Biology (MTB)), Gene Ontology (GO)
Citing These Resources
Funding Information
Warranty Disclaimer, Privacy Notice, Licensing, & Copyright
Send questions and comments to User Support.
last database update
12/30/2025
MGI 6.24
The Jackson Laboratory