About   Help   FAQ
Gene Expression Data
Assay Details
Assay
Reference: J:228563 Koscielny G, et al., The International Mouse Phenotyping Consortium Web Portal, a unified point of access for knockout mice and related phenotyping data. Nucleic Acids Res. 2014 Jan;42(Database issue):D802-9
Assay type: In situ reporter (knock in)
MGI Accession ID: MGI:6692014
Gene symbol: B4gat1
Gene name: beta-1,4-glucuronyltransferase 1
Reporter: lacZ
Direct Detection
Results
Specimen UC Davis_1870617: postnatal adult; B4gat1tm1.1(KOMP)Vlcg/B4gat1+ (more )
Structure Level Pattern Image Note
TS28: sublingual gland Present UC Davis_1870617

Specimen UC Davis_1870618: postnatal adult; B4gat1tm1.1(KOMP)Vlcg/B4gat1+ (more )
Structure Level Pattern Image Note
TS28: stomach Present UC Davis_1870618

Specimen UC Davis_1870619: postnatal adult; B4gat1tm1.1(KOMP)Vlcg/B4gat1+ (more )
Structure Level Pattern Image Note
TS28: stomach Present UC Davis_1870619

Specimen UC Davis_1870620: postnatal adult; B4gat1tm1.1(KOMP)Vlcg/B4gat1+ (more )
Structure Level Pattern Image Note
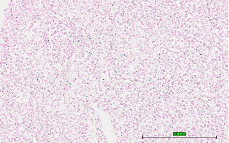
TS28: metanephros Present UC Davis_1870620 kidney

Specimen UC Davis_1870621: postnatal adult; B4gat1tm1.1(KOMP)Vlcg/B4gat1+ (more )
Structure Level Pattern Image Note
TS28: metanephros Present UC Davis_1870621 kidney

Specimen UC Davis_1870622: postnatal adult; B4gat1tm1.1(KOMP)Vlcg/B4gat1+ (more )
Structure Level Pattern Image Note
TS28: tongue Present UC Davis_1870622

Specimen UC Davis_1870623: postnatal adult; B4gat1tm1.1(KOMP)Vlcg/B4gat1+ (more )
Structure Level Pattern Image Note
TS28: pituitary gland Present UC Davis_1870623

Specimen UC Davis_1870624: postnatal adult; B4gat1tm1.1(KOMP)Vlcg/B4gat1+ (more )
Structure Level Pattern Image Note
TS28: spinal cord Present UC Davis_1870624

Specimen UC Davis_1870625: postnatal adult; B4gat1tm1.1(KOMP)Vlcg/B4gat1+ (more )
Structure Level Pattern Image Note
TS28: spinal cord Present UC Davis_1870625

Specimen UC Davis_1870626: postnatal adult; B4gat1tm1.1(KOMP)Vlcg/B4gat1+ (more )
Structure Level Pattern Image Note
TS28: eye Present UC Davis_1870626

Specimen UC Davis_1870627: postnatal adult; B4gat1tm1.1(KOMP)Vlcg/B4gat1+ (more )
Structure Level Pattern Image Note
TS28: eye Present UC Davis_1870627

Specimen UC Davis_1870628: postnatal adult; B4gat1tm1.1(KOMP)Vlcg/B4gat1+ (more )
Structure Level Pattern Image Note
TS28: skin Present UC Davis_1870628

Specimen UC Davis_1870629: postnatal adult; B4gat1tm1.1(KOMP)Vlcg/B4gat1+ (more )
Structure Level Pattern Image Note
TS28: skin Present UC Davis_1870629

Specimen UC Davis_1870632: postnatal adult; B4gat1tm1.1(KOMP)Vlcg/B4gat1+ (more )
Structure Level Pattern Image Note
TS28: midbrain Present UC Davis_1870632

Specimen UC Davis_1870633: postnatal adult; B4gat1tm1.1(KOMP)Vlcg/B4gat1+ (more )
Structure Level Pattern Image Note
TS28: cerebellum Present UC Davis_1870633

Specimen UC Davis_1870634: postnatal adult; B4gat1tm1.1(KOMP)Vlcg/B4gat1+ (more )
Structure Level Pattern Image Note
TS28: trigeminal nerve Present UC Davis_1870634

Specimen UC Davis_1870635: postnatal adult; B4gat1tm1.1(KOMP)Vlcg/B4gat1+ (more )
Structure Level Pattern Image Note
TS28: trigeminal nerve Present UC Davis_1870635

Specimen UC Davis_1870636: postnatal adult; B4gat1tm1.1(KOMP)Vlcg/B4gat1+ (more )
Structure Level Pattern Image Note
TS28: vagina Present UC Davis_1870636

Specimen UC Davis_1870589: postnatal adult; B4gat1tm1.1(KOMP)Vlcg/B4gat1+ (more )
Structure Level Pattern Image Note
TS28: sublingual gland Present UC Davis_1870589

Specimen UC Davis_1870590: postnatal adult; B4gat1tm1.1(KOMP)Vlcg/B4gat1+ (more )
Structure Level Pattern Image Note
TS28: sublingual gland Present UC Davis_1870590

Specimen UC Davis_1870593: postnatal adult; B4gat1tm1.1(KOMP)Vlcg/B4gat1+ (more )
Structure Level Pattern Image Note
TS28: lung Present UC Davis_1870593

Specimen UC Davis_1870594: postnatal adult; B4gat1tm1.1(KOMP)Vlcg/B4gat1+ (more )
Structure Level Pattern Image Note
TS28: thymus Present UC Davis_1870594

Specimen UC Davis_1870595: postnatal adult; B4gat1tm1.1(KOMP)Vlcg/B4gat1+ (more )
Structure Level Pattern Image Note
TS28: thymus Present UC Davis_1870595

Specimen UC Davis_1870596: postnatal adult; B4gat1tm1.1(KOMP)Vlcg/B4gat1+ (more )
Structure Level Pattern Image Note
TS28: ileum Present UC Davis_1870596

Specimen UC Davis_1870597: postnatal adult; B4gat1tm1.1(KOMP)Vlcg/B4gat1+ (more )
Structure Level Pattern Image Note
TS28: ileum Present UC Davis_1870597

Specimen UC Davis_1870598: postnatal adult; B4gat1tm1.1(KOMP)Vlcg/B4gat1+ (more )
Structure Level Pattern Image Note
TS28: metanephros Present UC Davis_1870598 kidney

Specimen UC Davis_1870599: postnatal adult; B4gat1tm1.1(KOMP)Vlcg/B4gat1+ (more )
Structure Level Pattern Image Note
TS28: metanephros Present UC Davis_1870599 kidney

Specimen UC Davis_1870600: postnatal adult; B4gat1tm1.1(KOMP)Vlcg/B4gat1+ (more )
Structure Level Pattern Image Note
TS28: pituitary gland Present UC Davis_1870600

Specimen UC Davis_1870601: postnatal adult; B4gat1tm1.1(KOMP)Vlcg/B4gat1+ (more )
Structure Level Pattern Image Note
TS28: spinal cord Present UC Davis_1870601

Specimen UC Davis_1870602: postnatal adult; B4gat1tm1.1(KOMP)Vlcg/B4gat1+ (more )
Structure Level Pattern Image Note
TS28: spinal cord Present UC Davis_1870602

Specimen UC Davis_1870603: postnatal adult; B4gat1tm1.1(KOMP)Vlcg/B4gat1+ (more )
Structure Level Pattern Image Note
TS28: eye Present UC Davis_1870603

Specimen UC Davis_1870604: postnatal adult; B4gat1tm1.1(KOMP)Vlcg/B4gat1+ (more )
Structure Level Pattern Image Note
TS28: skin Present UC Davis_1870604

Specimen UC Davis_1870605: postnatal adult; B4gat1tm1.1(KOMP)Vlcg/B4gat1+ (more )
Structure Level Pattern Image Note
TS28: olfactory lobe Present UC Davis_1870605

Specimen UC Davis_1870608: postnatal adult; B4gat1tm1.1(KOMP)Vlcg/B4gat1+ (more )
Structure Level Pattern Image Note
TS28: midbrain Present UC Davis_1870608

Specimen UC Davis_1870610: postnatal adult; B4gat1tm1.1(KOMP)Vlcg/B4gat1+ (more )
Structure Level Pattern Image Note
TS28: cerebellum Present UC Davis_1870610

Specimen UC Davis_1870611: postnatal adult; B4gat1tm1.1(KOMP)Vlcg/B4gat1+ (more )
Structure Level Pattern Image Note
TS28: trigeminal nerve Present UC Davis_1870611

Specimen UC Davis_1870612: postnatal adult; B4gat1tm1.1(KOMP)Vlcg/B4gat1+ (more )
Structure Level Pattern Image Note
TS28: testis Present UC Davis_1870612

Specimen UC Davis_1870613: postnatal adult; B4gat1tm1.1(KOMP)Vlcg/B4gat1+ (more )
Structure Level Pattern Image Note
TS28: testis Present UC Davis_1870613

Specimen UC Davis_1870614: postnatal adult; B4gat1tm1.1(KOMP)Vlcg/B4gat1+ (more )
Structure Level Pattern Image Note
TS28: epididymis Present UC Davis_1870614

Specimen UC Davis_1870615: postnatal adult; B4gat1tm1.1(KOMP)Vlcg/B4gat1+ (more )
Structure Level Pattern Image Note
TS28: prostate gland Present UC Davis_1870615

Specimen UC Davis_1870616: postnatal adult; B4gat1tm1.1(KOMP)Vlcg/B4gat1+ (more )
Structure Level Pattern Image Note
TS28: prostate gland Present UC Davis_1870616


Contributing Projects:
Mouse Genome Database (MGD), Gene Expression Database (GXD), Mouse Models of Human Cancer database (MMHCdb) (formerly Mouse Tumor Biology (MTB)), Gene Ontology (GO)
Citing These Resources
Funding Information
Warranty Disclaimer, Privacy Notice, Licensing, & Copyright
Send questions and comments to User Support.
last database update
12/30/2025
MGI 6.24
The Jackson Laboratory