About   Help   FAQ
Gene Expression Data
Assay Details
Assay
Reference: J:228563 Koscielny G, et al., The International Mouse Phenotyping Consortium Web Portal, a unified point of access for knockout mice and related phenotyping data. Nucleic Acids Res. 2014 Jan;42(Database issue):D802-9
Assay type: In situ reporter (knock in)
MGI Accession ID: MGI:6691971
Gene symbol: Slc17a9
Gene name: solute carrier family 17, member 9
Reporter: lacZ
Direct Detection
Results
Specimen UC Davis_1870070: postnatal adult; Slc17a9tm1.1(KOMP)Vlcg/Slc17a9+ (more )
Structure Level Pattern Image Note
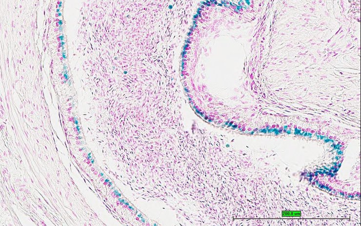
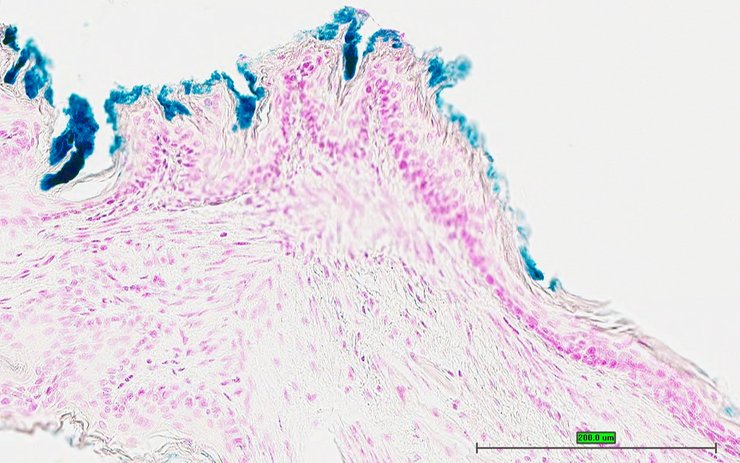
TS28: esophagus Present UC Davis_1870070

Specimen UC Davis_1870072: postnatal adult; Slc17a9tm1.1(KOMP)Vlcg/Slc17a9+ (more )
Structure Level Pattern Image Note
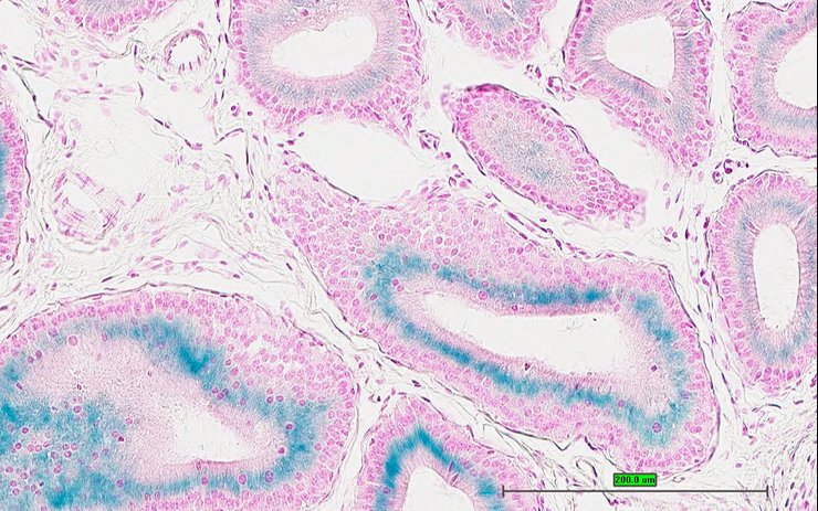
TS28: epididymis Present UC Davis_1870072

Specimen UC Davis_1870073: postnatal adult; Slc17a9tm1.1(KOMP)Vlcg/Slc17a9+ (more )
Structure Level Pattern Image Note
TS28: prostate gland Present UC Davis_1870073

Specimen UC Davis_1870074: postnatal adult; Slc17a9tm1.1(KOMP)Vlcg/Slc17a9+ (more )
Structure Level Pattern Image Note
TS28: ductus deferens Present UC Davis_1870074 vas deferens


Contributing Projects:
Mouse Genome Database (MGD), Gene Expression Database (GXD), Mouse Models of Human Cancer database (MMHCdb) (formerly Mouse Tumor Biology (MTB)), Gene Ontology (GO)
Citing These Resources
Funding Information
Warranty Disclaimer, Privacy Notice, Licensing, & Copyright
Send questions and comments to User Support.
last database update
01/28/2026
MGI 6.24
The Jackson Laboratory