About   Help   FAQ
Gene Expression Data
Assay Details
Assay
Reference: J:228563 Koscielny G, et al., The International Mouse Phenotyping Consortium Web Portal, a unified point of access for knockout mice and related phenotyping data. Nucleic Acids Res. 2014 Jan;42(Database issue):D802-9
Assay type: In situ reporter (knock in)
MGI Accession ID: MGI:6691959
Gene symbol: Tmt1b
Gene name: thiol methyltransferase 1B
Reporter: lacZ
Direct Detection
Results
Specimen JAX_1261591: embryonic day 12.5; Tmt1btm1.1(KOMP)Vlcg/Tmt1b+ (more )
Structure Level Pattern Image Note
TS20: embryo Present JAX_1261591

Specimen JAX_1261593: embryonic day 12.5; Tmt1btm1.1(KOMP)Vlcg/Tmt1b+ (more )
Structure Level Pattern Image Note
TS20: embryo Present JAX_1261593

Specimen JAX_1261595: embryonic day 12.5; Tmt1btm1.1(KOMP)Vlcg/Tmt1b+ (more )
Structure Level Pattern Image Note
TS20: embryo Present JAX_1261595

Specimen JAX_1261597: embryonic day 12.5; Tmt1btm1.1(KOMP)Vlcg/Tmt1b+ (more )
Structure Level Pattern Image Note
TS20: embryo Present JAX_1261597

Specimen JAX_1469895: embryonic day 12.5; Tmt1btm1.1(KOMP)Vlcg/Tmt1b+ (more )
Structure Level Pattern Image Note
TS20: embryo Present JAX_1469895

Specimen JAX_1469896: embryonic day 12.5; Tmt1btm1.1(KOMP)Vlcg/Tmt1b+ (more )
Structure Level Pattern Image Note
TS20: embryo Present JAX_1469896

Specimen JAX_1469897: embryonic day 12.5; Tmt1btm1.1(KOMP)Vlcg/Tmt1b+ (more )
Structure Level Pattern Image Note
TS20: embryo Present JAX_1469897

Specimen JAX_1469898: embryonic day 12.5; Tmt1btm1.1(KOMP)Vlcg/Tmt1b+ (more )
Structure Level Pattern Image Note
TS20: embryo Present JAX_1469898

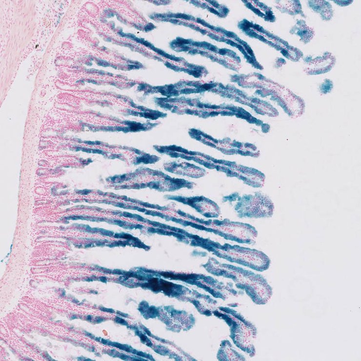
Specimen JAX_1803927: postnatal adult; Tmt1btm1.1(KOMP)Vlcg/Tmt1b+ (more )
Structure Level Pattern Image Note
TS28: small intestine Present JAX_1803927

Specimen JAX_1803928: postnatal adult; Tmt1btm1.1(KOMP)Vlcg/Tmt1b+ (more )
Structure Level Pattern Image Note
TS28: ovary Present JAX_1803928

Specimen JAX_1803918: postnatal adult; Tmt1btm1.1(KOMP)Vlcg/Tmt1b+ (more )
Structure Level Pattern Image Note
TS28: midbrain Present JAX_1803918

Specimen JAX_1803919: postnatal adult; Tmt1btm1.1(KOMP)Vlcg/Tmt1b+ (more )
Structure Level Pattern Image Note
TS28: submandibular gland Present JAX_1803919

Specimen JAX_1803920: postnatal adult; Tmt1btm1.1(KOMP)Vlcg/Tmt1b+ (more )
Structure Level Pattern Image Note
TS28: hippocampus Present JAX_1803920

Specimen JAX_1803921: postnatal adult; Tmt1btm1.1(KOMP)Vlcg/Tmt1b+ (more )
Structure Level Pattern Image Note
TS28: spleen Present JAX_1803921

Specimen JAX_1803922: postnatal adult; Tmt1btm1.1(KOMP)Vlcg/Tmt1b+ (more )
Structure Level Pattern Image Note
TS28: large intestine Present JAX_1803922

Specimen JAX_1803923: postnatal adult; Tmt1btm1.1(KOMP)Vlcg/Tmt1b+ (more )
Structure Level Pattern Image Note
TS28: skin Present JAX_1803923

Specimen JAX_1803924: postnatal adult; Tmt1btm1.1(KOMP)Vlcg/Tmt1b+ (more )
Structure Level Pattern Image Note
TS28: liver Present JAX_1803924

Specimen JAX_1803925: postnatal adult; Tmt1btm1.1(KOMP)Vlcg/Tmt1b+ (more )
Structure Level Pattern Image Note
TS28: metanephros Present JAX_1803925 kidney

Specimen JAX_1803926: postnatal adult; Tmt1btm1.1(KOMP)Vlcg/Tmt1b+ (more )
Structure Level Pattern Image Note
TS28: brain Present JAX_1803926


Contributing Projects:
Mouse Genome Database (MGD), Gene Expression Database (GXD), Mouse Models of Human Cancer database (MMHCdb) (formerly Mouse Tumor Biology (MTB)), Gene Ontology (GO)
Citing These Resources
Funding Information
Warranty Disclaimer, Privacy Notice, Licensing, & Copyright
Send questions and comments to User Support.
last database update
01/20/2026
MGI 6.24
The Jackson Laboratory