About   Help   FAQ
Gene Expression Data
Assay Details
Assay
Reference: J:228563 Koscielny G, et al., The International Mouse Phenotyping Consortium Web Portal, a unified point of access for knockout mice and related phenotyping data. Nucleic Acids Res. 2014 Jan;42(Database issue):D802-9
Assay type: In situ reporter (knock in)
MGI Accession ID: MGI:6691958
Gene symbol: Gimap6
Gene name: GTPase, IMAP family member 6
Reporter: lacZ
Direct Detection
Results
Specimen JAX_1618641: embryonic day 12.5; Gimap6tm1b(KOMP)Wtsi/Gimap6+ (more )
Structure Level Pattern Image Note
TS20: embryo Present JAX_1618641

Specimen JAX_1618642: embryonic day 12.5; Gimap6tm1b(KOMP)Wtsi/Gimap6+ (more )
Structure Level Pattern Image Note
TS20: embryo Present JAX_1618642

Specimen JAX_1618643: embryonic day 12.5; Gimap6tm1b(KOMP)Wtsi/Gimap6+ (more )
Structure Level Pattern Image Note
TS20: embryo Present JAX_1618643

Specimen JAX_1618644: embryonic day 12.5; Gimap6tm1b(KOMP)Wtsi/Gimap6+ (more )
Structure Level Pattern Image Note
TS20: embryo Present JAX_1618644

Specimen JAX_610629: embryonic day 12.5; Gimap6tm1b(KOMP)Wtsi/Gimap6+ (more )
Structure Level Pattern Image Note
TS20: embryo Present JAX_610629

Specimen JAX_610631: embryonic day 12.5; Gimap6tm1b(KOMP)Wtsi/Gimap6+ (more )
Structure Level Pattern Image Note
TS20: embryo Present JAX_610631

Specimen JAX_610633: embryonic day 12.5; Gimap6tm1b(KOMP)Wtsi/Gimap6+ (more )
Structure Level Pattern Image Note
TS20: embryo Present JAX_610633

Specimen JAX_610635: embryonic day 12.5; Gimap6tm1b(KOMP)Wtsi/Gimap6+ (more )
Structure Level Pattern Image Note
TS20: embryo Present JAX_610635

Specimen JAX_610637: embryonic day 12.5; Gimap6tm1b(KOMP)Wtsi/Gimap6+ (more )
Structure Level Pattern Image Note
TS20: embryo Present JAX_610637

Specimen JAX_610639: embryonic day 12.5; Gimap6tm1b(KOMP)Wtsi/Gimap6+ (more )
Structure Level Pattern Image Note
TS20: embryo Present JAX_610639

Specimen JAX_610641: embryonic day 12.5; Gimap6tm1b(KOMP)Wtsi/Gimap6+ (more )
Structure Level Pattern Image Note
TS20: embryo Present JAX_610641

Specimen JAX_610643: embryonic day 12.5; Gimap6tm1b(KOMP)Wtsi/Gimap6+ (more )
Structure Level Pattern Image Note
TS20: embryo Present JAX_610643

Specimen JAX_1800668: postnatal adult; Gimap6tm1b(KOMP)Wtsi/Gimap6+ (more )
Structure Level Pattern Image Note
TS28: vascular system Present JAX_1800668

Specimen JAX_1800669: postnatal adult; Gimap6tm1b(KOMP)Wtsi/Gimap6+ (more )
Structure Level Pattern Image Note
TS28: esophagus Present JAX_1800669

Specimen JAX_1800670: postnatal adult; Gimap6tm1b(KOMP)Wtsi/Gimap6+ (more )
Structure Level Pattern Image Note
TS28: uterus Present JAX_1800670

Specimen JAX_1800671: postnatal adult; Gimap6tm1b(KOMP)Wtsi/Gimap6+ (more )
Structure Level Pattern Image Note
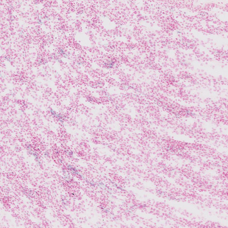
TS28: thymus Present JAX_1800671

Specimen JAX_1800672: postnatal adult; Gimap6tm1b(KOMP)Wtsi/Gimap6+ (more )
Structure Level Pattern Image Note
TS28: oviduct Present JAX_1800672

Specimen JAX_1800673: postnatal adult; Gimap6tm1b(KOMP)Wtsi/Gimap6+ (more )
Structure Level Pattern Image Note
TS28: ovary Present JAX_1800673

Specimen JAX_1800674: postnatal adult; Gimap6tm1b(KOMP)Wtsi/Gimap6+ (more )
Structure Level Pattern Image Note
TS28: heart Present JAX_1800674

Specimen JAX_1800675: postnatal adult; Gimap6tm1b(KOMP)Wtsi/Gimap6+ (more )
Structure Level Pattern Image Note
TS28: submandibular gland Present JAX_1800675

Specimen JAX_1800676: postnatal adult; Gimap6tm1b(KOMP)Wtsi/Gimap6+ (more )
Structure Level Pattern Image Note
TS28: Peyer's patch Present JAX_1800676

Specimen JAX_1800677: postnatal adult; Gimap6tm1b(KOMP)Wtsi/Gimap6+ (more )
Structure Level Pattern Image Note
TS28: brainstem Present JAX_1800677

Specimen JAX_1800678: postnatal adult; Gimap6tm1b(KOMP)Wtsi/Gimap6+ (more )
Structure Level Pattern Image Note
TS28: spleen Present JAX_1800678

Specimen JAX_1800679: postnatal adult; Gimap6tm1b(KOMP)Wtsi/Gimap6+ (more )
Structure Level Pattern Image Note
TS28: pancreas Present JAX_1800679

Specimen JAX_1800680: postnatal adult; Gimap6tm1b(KOMP)Wtsi/Gimap6+ (more )
Structure Level Pattern Image Note
TS28: small intestine Present JAX_1800680

Specimen JAX_1800681: postnatal adult; Gimap6tm1b(KOMP)Wtsi/Gimap6+ (more )
Structure Level Pattern Image Note
TS28: pituitary gland Present JAX_1800681

Specimen JAX_1800682: postnatal adult; Gimap6tm1b(KOMP)Wtsi/Gimap6+ (more )
Structure Level Pattern Image Note
TS28: thyroid gland Present JAX_1800682

Specimen JAX_1800683: postnatal adult; Gimap6tm1b(KOMP)Wtsi/Gimap6+ (more )
Structure Level Pattern Image Note
TS28: large intestine Present JAX_1800683

Specimen JAX_1800684: postnatal adult; Gimap6tm1b(KOMP)Wtsi/Gimap6+ (more )
Structure Level Pattern Image Note
TS28: testis Present JAX_1800684

Specimen JAX_1800685: postnatal adult; Gimap6tm1b(KOMP)Wtsi/Gimap6+ (more )
Structure Level Pattern Image Note
TS28: lymph node Present JAX_1800685

Specimen JAX_1800686: postnatal adult; Gimap6tm1b(KOMP)Wtsi/Gimap6+ (more )
Structure Level Pattern Image Note
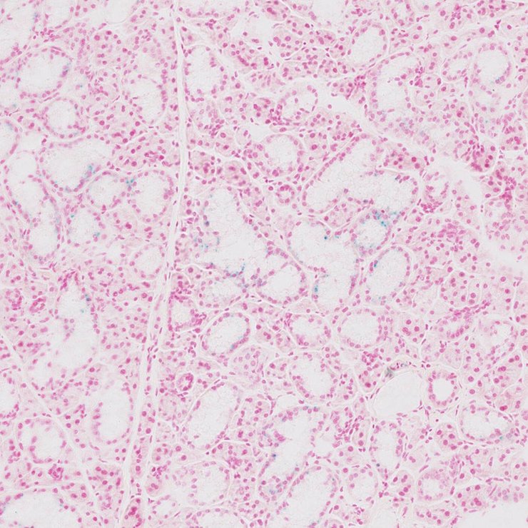
TS28: metanephros Present JAX_1800686 kidney

Specimen JAX_1800687: postnatal adult; Gimap6tm1b(KOMP)Wtsi/Gimap6+ (more )
Structure Level Pattern Image Note
TS28: brain Present JAX_1800687


Contributing Projects:
Mouse Genome Database (MGD), Gene Expression Database (GXD), Mouse Models of Human Cancer database (MMHCdb) (formerly Mouse Tumor Biology (MTB)), Gene Ontology (GO)
Citing These Resources
Funding Information
Warranty Disclaimer, Privacy Notice, Licensing, & Copyright
Send questions and comments to User Support.
last database update
12/30/2025
MGI 6.24
The Jackson Laboratory