About   Help   FAQ
Gene Expression Data
Assay Details
Assay
Reference: J:228563 Koscielny G, et al., The International Mouse Phenotyping Consortium Web Portal, a unified point of access for knockout mice and related phenotyping data. Nucleic Acids Res. 2014 Jan;42(Database issue):D802-9
Assay type: In situ reporter (knock in)
MGI Accession ID: MGI:6691941
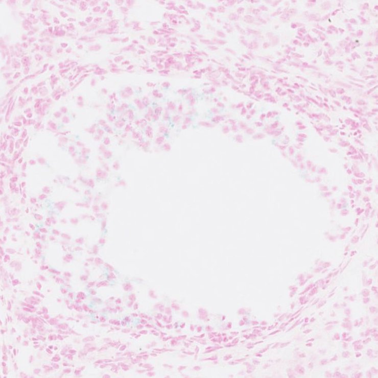
Gene symbol: Stx18
Gene name: syntaxin 18
Reporter: lacZ
Direct Detection
Results
Specimen JAX_1469907: embryonic day 12.5; Stx18tm2b(KOMP)Wtsi/Stx18+ (more )
Structure Level Pattern Image Note
TS20: embryo Present JAX_1469907

Specimen JAX_1469908: embryonic day 12.5; Stx18tm2b(KOMP)Wtsi/Stx18+ (more )
Structure Level Pattern Image Note
TS20: embryo Present JAX_1469908

Specimen JAX_1469909: embryonic day 12.5; Stx18tm2b(KOMP)Wtsi/Stx18+ (more )
Structure Level Pattern Image Note
TS20: embryo Present JAX_1469909

Specimen JAX_1469910: embryonic day 12.5; Stx18tm2b(KOMP)Wtsi/Stx18+ (more )
Structure Level Pattern Image Note
TS20: embryo Present JAX_1469910

Specimen JAX_927731: embryonic day 12.5; Stx18tm2b(KOMP)Wtsi/Stx18+ (more )
Structure Level Pattern Image Note
TS20: embryo Present JAX_927731

Specimen JAX_927733: embryonic day 12.5; Stx18tm2b(KOMP)Wtsi/Stx18+ (more )
Structure Level Pattern Image Note
TS20: embryo Present JAX_927733

Specimen JAX_927735: embryonic day 12.5; Stx18tm2b(KOMP)Wtsi/Stx18+ (more )
Structure Level Pattern Image Note
TS20: embryo Present JAX_927735

Specimen JAX_927737: embryonic day 12.5; Stx18tm2b(KOMP)Wtsi/Stx18+ (more )
Structure Level Pattern Image Note
TS20: embryo Present JAX_927737

Specimen JAX_1804049: postnatal adult; Stx18tm2b(KOMP)Wtsi/Stx18+ (more )
Structure Level Pattern Image Note
TS28: ovary Present JAX_1804049

Specimen JAX_1804050: postnatal adult; Stx18tm2b(KOMP)Wtsi/Stx18+ (more )
Structure Level Pattern Image Note
TS28: metanephros Present JAX_1804050 kidney

Specimen JAX_1804017: postnatal adult; Stx18tm2b(KOMP)Wtsi/Stx18+ (more )
Structure Level Pattern Image Note
TS28: thalamus Present JAX_1804017

Specimen JAX_1804018: postnatal adult; Stx18tm2b(KOMP)Wtsi/Stx18+ (more )
Structure Level Pattern Image Note
TS28: midbrain Present JAX_1804018

Specimen JAX_1804019: postnatal adult; Stx18tm2b(KOMP)Wtsi/Stx18+ (more )
Structure Level Pattern Image Note
TS28: vascular system Present JAX_1804019

Specimen JAX_1804020: postnatal adult; Stx18tm2b(KOMP)Wtsi/Stx18+ (more )
Structure Level Pattern Image Note
TS28: epididymis Present JAX_1804020

Specimen JAX_1804021: postnatal adult; Stx18tm2b(KOMP)Wtsi/Stx18+ (more )
Structure Level Pattern Image Note
TS28: submandibular gland Present JAX_1804021

Specimen JAX_1804022: postnatal adult; Stx18tm2b(KOMP)Wtsi/Stx18+ (more )
Structure Level Pattern Image Note
TS28: bladder Present JAX_1804022

Specimen JAX_1804024: postnatal adult; Stx18tm2b(KOMP)Wtsi/Stx18+ (more )
Structure Level Pattern Image Note
TS28: peripheral nervous system Present JAX_1804024

Specimen JAX_1804025: postnatal adult; Stx18tm2b(KOMP)Wtsi/Stx18+ (more )
Structure Level Pattern Image Note
TS28: olfactory lobe Present JAX_1804025

Specimen JAX_1804026: postnatal adult; Stx18tm2b(KOMP)Wtsi/Stx18+ (more )
Structure Level Pattern Image Note
TS28: hypothalamus Present JAX_1804026

Specimen JAX_1804027: postnatal adult; Stx18tm2b(KOMP)Wtsi/Stx18+ (more )
Structure Level Pattern Image Note
TS28: hippocampus Present JAX_1804027

Specimen JAX_1804028: postnatal adult; Stx18tm2b(KOMP)Wtsi/Stx18+ (more )
Structure Level Pattern Image Note
TS28: cerebellum Present JAX_1804028

Specimen JAX_1804029: postnatal adult; Stx18tm2b(KOMP)Wtsi/Stx18+ (more )
Structure Level Pattern Image Note
TS28: cerebral cortex Present JAX_1804029

Specimen JAX_1804030: postnatal adult; Stx18tm2b(KOMP)Wtsi/Stx18+ (more )
Structure Level Pattern Image Note
TS28: cartilage Present JAX_1804030

Specimen JAX_1804031: postnatal adult; Stx18tm2b(KOMP)Wtsi/Stx18+ (more )
Structure Level Pattern Image Note
TS28: brainstem Present JAX_1804031

Specimen JAX_1804032: postnatal adult; Stx18tm2b(KOMP)Wtsi/Stx18+ (more )
Structure Level Pattern Image Note
TS28: spleen Present JAX_1804032

Specimen JAX_1804033: postnatal adult; Stx18tm2b(KOMP)Wtsi/Stx18+ (more )
Structure Level Pattern Image Note
TS28: pancreas Present JAX_1804033

Specimen JAX_1804034: postnatal adult; Stx18tm2b(KOMP)Wtsi/Stx18+ (more )
Structure Level Pattern Image Note
TS28: aorta Present JAX_1804034

Specimen JAX_1804035: postnatal adult; Stx18tm2b(KOMP)Wtsi/Stx18+ (more )
Structure Level Pattern Image Note
TS28: small intestine Present JAX_1804035

Specimen JAX_1804036: postnatal adult; Stx18tm2b(KOMP)Wtsi/Stx18+ (more )
Structure Level Pattern Image Note
TS28: pituitary gland Present JAX_1804036

Specimen JAX_1804037: postnatal adult; Stx18tm2b(KOMP)Wtsi/Stx18+ (more )
Structure Level Pattern Image Note
TS28: spinal cord Present JAX_1804037

Specimen JAX_1804038: postnatal adult; Stx18tm2b(KOMP)Wtsi/Stx18+ (more )
Structure Level Pattern Image Note
TS28: large intestine Present JAX_1804038

Specimen JAX_1804039: postnatal adult; Stx18tm2b(KOMP)Wtsi/Stx18+ (more )
Structure Level Pattern Image Note
TS28: trachea Present JAX_1804039

Specimen JAX_1804040: postnatal adult; Stx18tm2b(KOMP)Wtsi/Stx18+ (more )
Structure Level Pattern Image Note
TS28: thymus Present JAX_1804040

Specimen JAX_1804041: postnatal adult; Stx18tm2b(KOMP)Wtsi/Stx18+ (more )
Structure Level Pattern Image Note
TS28: testis Present JAX_1804041

Specimen JAX_1804042: postnatal adult; Stx18tm2b(KOMP)Wtsi/Stx18+ (more )
Structure Level Pattern Image Note
TS28: stomach Present JAX_1804042

Specimen JAX_1804043: postnatal adult; Stx18tm2b(KOMP)Wtsi/Stx18+ (more )
Structure Level Pattern Image Note
TS28: skin Present JAX_1804043

Specimen JAX_1804044: postnatal adult; Stx18tm2b(KOMP)Wtsi/Stx18+ (more )
Structure Level Pattern Image Note
TS28: metanephros Present JAX_1804044 kidney

Specimen JAX_1804045: postnatal adult; Stx18tm2b(KOMP)Wtsi/Stx18+ (more )
Structure Level Pattern Image Note
TS28: heart Present JAX_1804045

Specimen JAX_1804046: postnatal adult; Stx18tm2b(KOMP)Wtsi/Stx18+ (more )
Structure Level Pattern Image Note
TS28: eye Present JAX_1804046

Specimen JAX_1804047: postnatal adult; Stx18tm2b(KOMP)Wtsi/Stx18+ (more )
Structure Level Pattern Image Note
TS28: brain Present JAX_1804047

Specimen JAX_1804048: postnatal adult; Stx18tm2b(KOMP)Wtsi/Stx18+ (more )
Structure Level Pattern Image Note
TS28: adrenal gland Present JAX_1804048


Contributing Projects:
Mouse Genome Database (MGD), Gene Expression Database (GXD), Mouse Models of Human Cancer database (MMHCdb) (formerly Mouse Tumor Biology (MTB)), Gene Ontology (GO)
Citing These Resources
Funding Information
Warranty Disclaimer, Privacy Notice, Licensing, & Copyright
Send questions and comments to User Support.
last database update
09/30/2025
MGI 6.24
The Jackson Laboratory