About   Help   FAQ
Gene Expression Data
Assay Details
Assay
Reference: J:228563 Koscielny G, et al., The International Mouse Phenotyping Consortium Web Portal, a unified point of access for knockout mice and related phenotyping data. Nucleic Acids Res. 2014 Jan;42(Database issue):D802-9
Assay type: In situ reporter (knock in)
MGI Accession ID: MGI:6691940
Gene symbol: Arhgap19
Gene name: Rho GTPase activating protein 19
Reporter: lacZ
Direct Detection
Results
Specimen UC Davis_1872330: postnatal adult; Arhgap19tm1b(KOMP)Wtsi/Arhgap19+ (more )
Structure Level Pattern Image Note
TS28: tongue Present UC Davis_1872330

Specimen UC Davis_1872331: postnatal adult; Arhgap19tm1b(KOMP)Wtsi/Arhgap19+ (more )
Structure Level Pattern Image Note
TS28: tongue Present UC Davis_1872331

Specimen UC Davis_1872332: postnatal adult; Arhgap19tm1b(KOMP)Wtsi/Arhgap19+ (more )
Structure Level Pattern Image Note
TS28: tongue Present UC Davis_1872332

Specimen UC Davis_1872333: postnatal adult; Arhgap19tm1b(KOMP)Wtsi/Arhgap19+ (more )
Structure Level Pattern Image Note
TS28: trigeminal nerve Present UC Davis_1872333

Specimen UC Davis_1872334: postnatal adult; Arhgap19tm1b(KOMP)Wtsi/Arhgap19+ (more )
Structure Level Pattern Image Note
TS28: trigeminal nerve Present UC Davis_1872334

Specimen UC Davis_1872312: postnatal adult; Arhgap19tm1b(KOMP)Wtsi/Arhgap19+ (more )
Structure Level Pattern Image Note
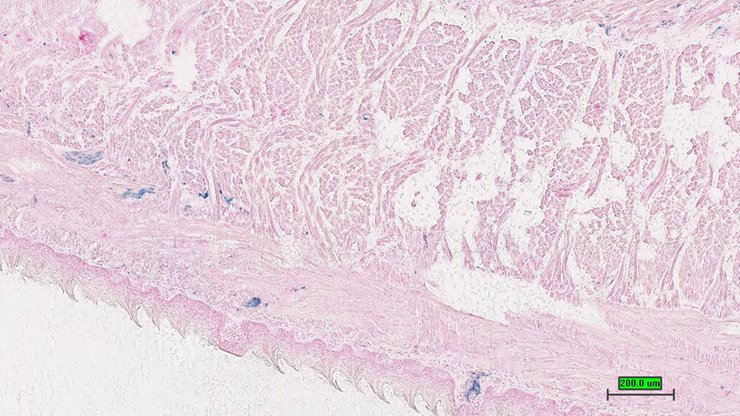
TS28: esophagus Present UC Davis_1872312

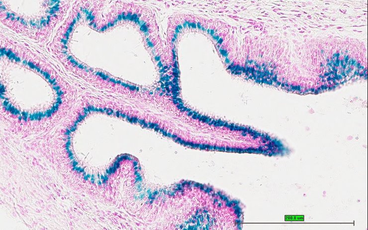
Specimen UC Davis_1872314: postnatal adult; Arhgap19tm1b(KOMP)Wtsi/Arhgap19+ (more )
Structure Level Pattern Image Note
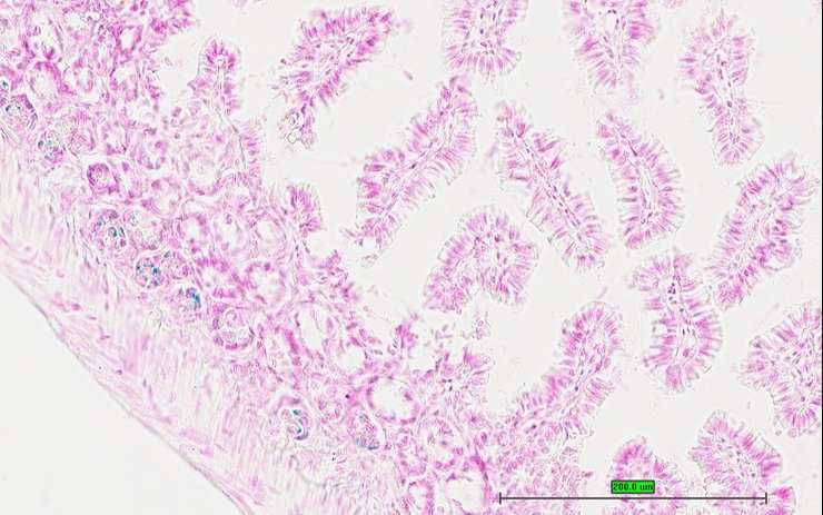
TS28: ileum Present UC Davis_1872314

Specimen UC Davis_1872315: postnatal adult; Arhgap19tm1b(KOMP)Wtsi/Arhgap19+ (more )
Structure Level Pattern Image Note
TS28: tongue Present UC Davis_1872315

Specimen UC Davis_1872316: postnatal adult; Arhgap19tm1b(KOMP)Wtsi/Arhgap19+ (more )
Structure Level Pattern Image Note
TS28: tongue Present UC Davis_1872316

Specimen UC Davis_1872317: postnatal adult; Arhgap19tm1b(KOMP)Wtsi/Arhgap19+ (more )
Structure Level Pattern Image Note
TS28: tongue Present UC Davis_1872317

Specimen UC Davis_1872318: postnatal adult; Arhgap19tm1b(KOMP)Wtsi/Arhgap19+ (more )
Structure Level Pattern Image Note
TS28: trigeminal nerve Present UC Davis_1872318

Specimen UC Davis_1872319: postnatal adult; Arhgap19tm1b(KOMP)Wtsi/Arhgap19+ (more )
Structure Level Pattern Image Note
TS28: trigeminal nerve Present UC Davis_1872319

Specimen UC Davis_1872320: postnatal adult; Arhgap19tm1b(KOMP)Wtsi/Arhgap19+ (more )
Structure Level Pattern Image Note
TS28: trigeminal nerve Present UC Davis_1872320

Specimen UC Davis_1872321: postnatal adult; Arhgap19tm1b(KOMP)Wtsi/Arhgap19+ (more )
Structure Level Pattern Image Note
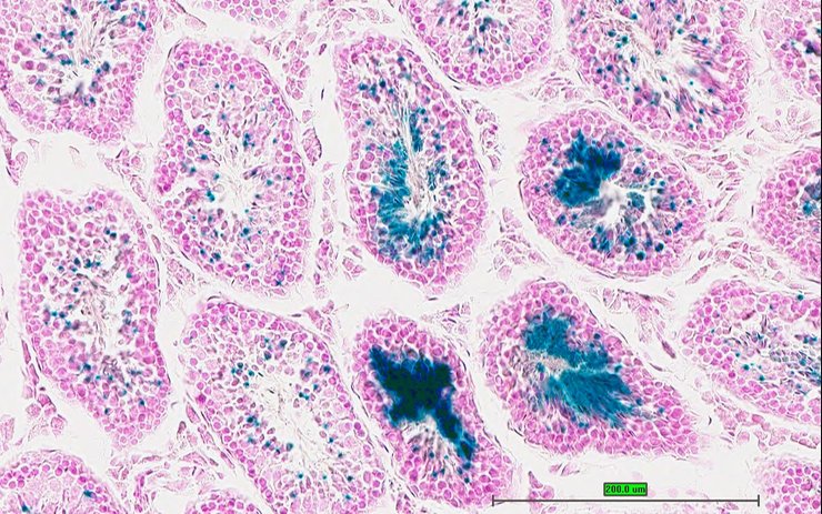
TS28: testis Present UC Davis_1872321

Specimen UC Davis_1872322: postnatal adult; Arhgap19tm1b(KOMP)Wtsi/Arhgap19+ (more )
Structure Level Pattern Image Note
TS28: testis Present UC Davis_1872322

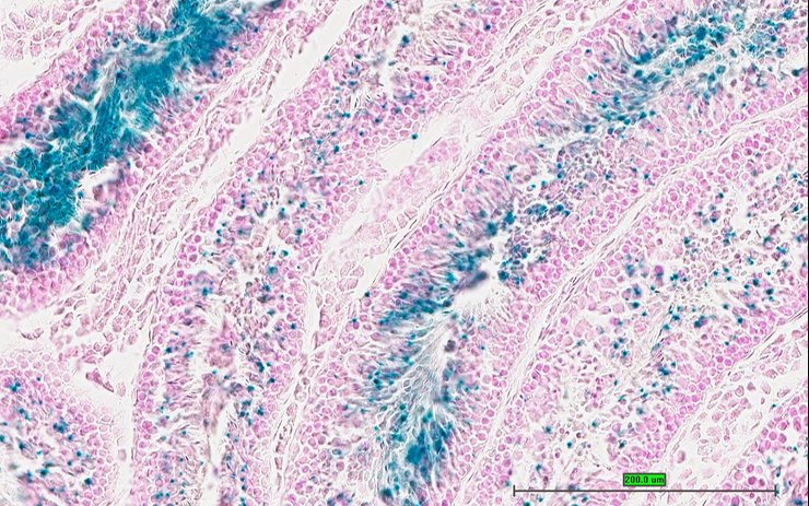
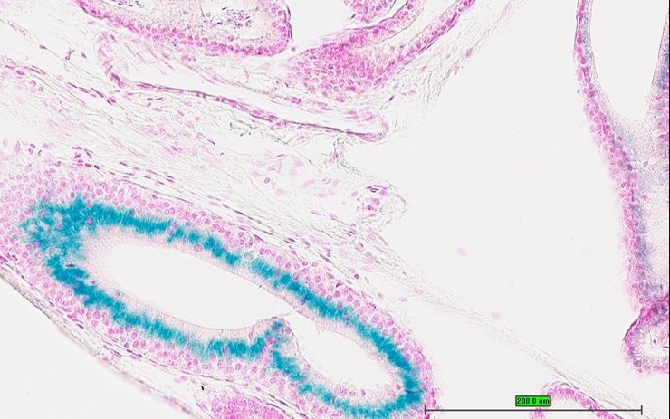
Specimen UC Davis_1872323: postnatal adult; Arhgap19tm1b(KOMP)Wtsi/Arhgap19+ (more )
Structure Level Pattern Image Note
TS28: epididymis Present UC Davis_1872323

Specimen UC Davis_1872324: postnatal adult; Arhgap19tm1b(KOMP)Wtsi/Arhgap19+ (more )
Structure Level Pattern Image Note
TS28: epididymis Present UC Davis_1872324

Specimen UC Davis_1872325: postnatal adult; Arhgap19tm1b(KOMP)Wtsi/Arhgap19+ (more )
Structure Level Pattern Image Note
TS28: prostate gland Present UC Davis_1872325

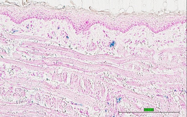
Specimen UC Davis_1872326: postnatal adult; Arhgap19tm1b(KOMP)Wtsi/Arhgap19+ (more )
Structure Level Pattern Image Note
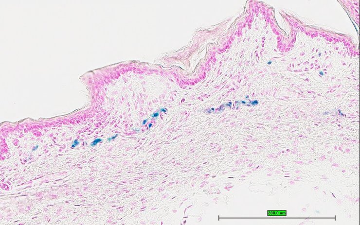
TS28: penis Present UC Davis_1872326

Specimen UC Davis_1872327: postnatal adult; Arhgap19tm1b(KOMP)Wtsi/Arhgap19+ (more )
Structure Level Pattern Image Note
TS28: penis Present UC Davis_1872327

Specimen UC Davis_1872328: postnatal adult; Arhgap19tm1b(KOMP)Wtsi/Arhgap19+ (more )
Structure Level Pattern Image Note
TS28: penis Present UC Davis_1872328

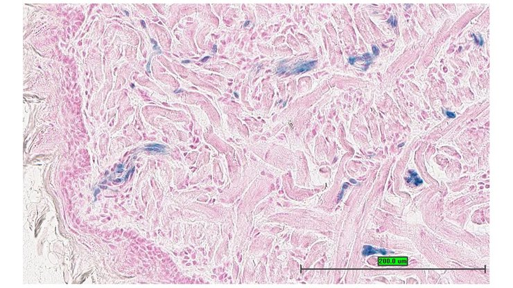
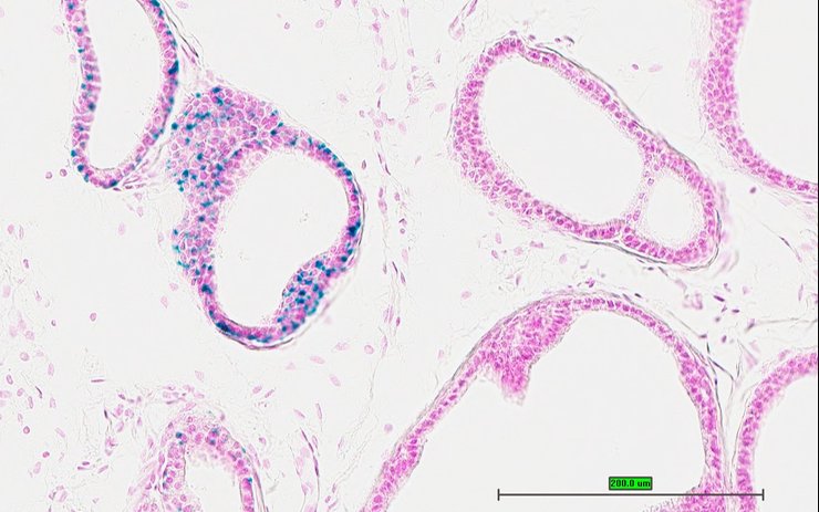
Specimen UC Davis_1872329: postnatal adult; Arhgap19tm1b(KOMP)Wtsi/Arhgap19+ (more )
Structure Level Pattern Image Note
TS28: ductus deferens Present UC Davis_1872329 vas deferens


Contributing Projects:
Mouse Genome Database (MGD), Gene Expression Database (GXD), Mouse Models of Human Cancer database (MMHCdb) (formerly Mouse Tumor Biology (MTB)), Gene Ontology (GO)
Citing These Resources
Funding Information
Warranty Disclaimer, Privacy Notice, Licensing, & Copyright
Send questions and comments to User Support.
last database update
01/20/2026
MGI 6.24
The Jackson Laboratory