About   Help   FAQ
Gene Expression Data
Assay Details
Assay
Reference: J:228563 Koscielny G, et al., The International Mouse Phenotyping Consortium Web Portal, a unified point of access for knockout mice and related phenotyping data. Nucleic Acids Res. 2014 Jan;42(Database issue):D802-9
Assay type: In situ reporter (knock in)
MGI Accession ID: MGI:6691929
Gene symbol: Lpcat2b
Gene name: lysophosphatidylcholine acyltransferase 2B
Reporter: lacZ
Direct Detection
Results
Specimen JAX_1622771: postnatal adult; Lpcat2btm1b(KOMP)Mbp/Lpcat2b+ (more )
Structure Level Pattern Image Note
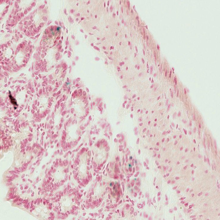
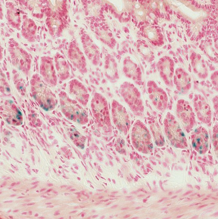
TS28: large intestine Present JAX_1622771

Specimen JAX_1622772: postnatal adult; Lpcat2btm1b(KOMP)Mbp/Lpcat2b+ (more )
Structure Level Pattern Image Note
TS28: oviduct Present JAX_1622772

Specimen JAX_1622773: postnatal adult; Lpcat2btm1b(KOMP)Mbp/Lpcat2b+ (more )
Structure Level Pattern Image Note
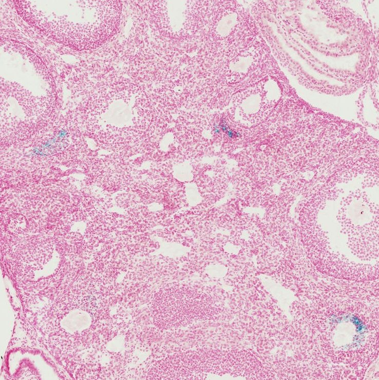
TS28: ovary Present JAX_1622773

Specimen JAX_1622774: postnatal adult; Lpcat2btm1b(KOMP)Mbp/Lpcat2b+ (more )
Structure Level Pattern Image Note
TS28: metanephros Present JAX_1622774 kidney

Specimen JAX_1622767: postnatal adult; Lpcat2btm1b(KOMP)Mbp/Lpcat2b+ (more )
Structure Level Pattern Image Note
TS28: lung Present JAX_1622767

Specimen JAX_1622768: postnatal adult; Lpcat2btm1b(KOMP)Mbp/Lpcat2b+ (more )
Structure Level Pattern Image Note
TS28: small intestine Present JAX_1622768

Specimen JAX_1622769: postnatal adult; Lpcat2btm1b(KOMP)Mbp/Lpcat2b+ (more )
Structure Level Pattern Image Note
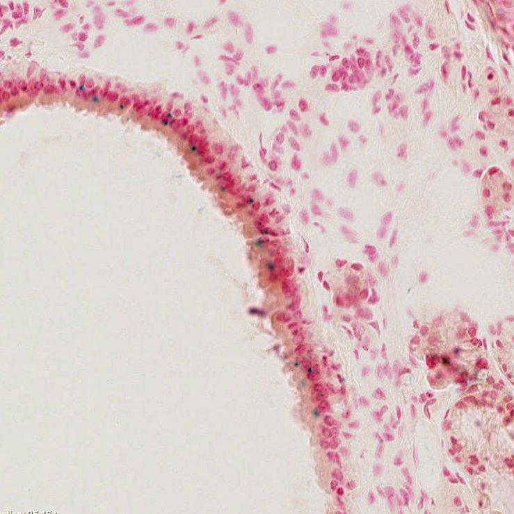
TS28: trachea Present JAX_1622769

Specimen JAX_1622770: postnatal adult; Lpcat2btm1b(KOMP)Mbp/Lpcat2b+ (more )
Structure Level Pattern Image Note
TS28: testis Present JAX_1622770


Contributing Projects:
Mouse Genome Database (MGD), Gene Expression Database (GXD), Mouse Models of Human Cancer database (MMHCdb) (formerly Mouse Tumor Biology (MTB)), Gene Ontology (GO)
Citing These Resources
Funding Information
Warranty Disclaimer, Privacy Notice, Licensing, & Copyright
Send questions and comments to User Support.
last database update
12/30/2025
MGI 6.24
The Jackson Laboratory