About   Help   FAQ
Gene Expression Data
Assay Details
Assay
Reference: J:228563 Koscielny G, et al., The International Mouse Phenotyping Consortium Web Portal, a unified point of access for knockout mice and related phenotyping data. Nucleic Acids Res. 2014 Jan;42(Database issue):D802-9
Assay type: In situ reporter (knock in)
MGI Accession ID: MGI:6691847
Gene symbol: Rint1
Gene name: RAD50 interactor 1
Reporter: lacZ
Direct Detection
Results
Specimen JAX_1469401: embryonic day 12.5; Rint1tm1b(KOMP)Wtsi/Rint1+ (more )
Structure Level Pattern Image Note
TS20: embryo Present JAX_1469401

Specimen JAX_1469402: embryonic day 12.5; Rint1tm1b(KOMP)Wtsi/Rint1+ (more )
Structure Level Pattern Image Note
TS20: embryo Present JAX_1469402

Specimen JAX_1469403: embryonic day 12.5; Rint1tm1b(KOMP)Wtsi/Rint1+ (more )
Structure Level Pattern Image Note
TS20: embryo Present JAX_1469403

Specimen JAX_1469404: embryonic day 12.5; Rint1tm1b(KOMP)Wtsi/Rint1+ (more )
Structure Level Pattern Image Note
TS20: embryo Present JAX_1469404

Specimen JAX_900355: embryonic day 12.5; Rint1tm1b(KOMP)Wtsi/Rint1+ (more )
Structure Level Pattern Image Note
TS20: embryo Present JAX_900355

Specimen JAX_900357: embryonic day 12.5; Rint1tm1b(KOMP)Wtsi/Rint1+ (more )
Structure Level Pattern Image Note
TS20: embryo Present JAX_900357

Specimen JAX_900359: embryonic day 12.5; Rint1tm1b(KOMP)Wtsi/Rint1+ (more )
Structure Level Pattern Image Note
TS20: embryo Present JAX_900359

Specimen JAX_900361: embryonic day 12.5; Rint1tm1b(KOMP)Wtsi/Rint1+ (more )
Structure Level Pattern Image Note
TS20: embryo Present JAX_900361

Specimen JAX_1798044: postnatal adult; Rint1tm1b(KOMP)Wtsi/Rint1+ (more )
Structure Level Pattern Image Note
TS28: ovary Present JAX_1798044

Specimen JAX_1798045: postnatal adult; Rint1tm1b(KOMP)Wtsi/Rint1+ (more )
Structure Level Pattern Image Note
TS28: uterus Present JAX_1798045

Specimen JAX_1798046: postnatal adult; Rint1tm1b(KOMP)Wtsi/Rint1+ (more )
Structure Level Pattern Image Note
TS28: lung Present JAX_1798046

Specimen JAX_1798047: postnatal adult; Rint1tm1b(KOMP)Wtsi/Rint1+ (more )
Structure Level Pattern Image Note
TS28: brown fat Present JAX_1798047

Specimen JAX_1798048: postnatal adult; Rint1tm1b(KOMP)Wtsi/Rint1+ (more )
Structure Level Pattern Image Note
TS28: brain Present JAX_1798048

Specimen JAX_1798049: postnatal adult; Rint1tm1b(KOMP)Wtsi/Rint1+ (more )
Structure Level Pattern Image Note
TS28: brainstem Present JAX_1798049

Specimen JAX_1798050: postnatal adult; Rint1tm1b(KOMP)Wtsi/Rint1+ (more )
Structure Level Pattern Image Note
TS28: cerebral cortex Present JAX_1798050

Specimen JAX_1798051: postnatal adult; Rint1tm1b(KOMP)Wtsi/Rint1+ (more )
Structure Level Pattern Image Note
TS28: cerebellum Present JAX_1798051

Specimen JAX_1798052: postnatal adult; Rint1tm1b(KOMP)Wtsi/Rint1+ (more )
Structure Level Pattern Image Note
TS28: hippocampus Present JAX_1798052

Specimen JAX_1798053: postnatal adult; Rint1tm1b(KOMP)Wtsi/Rint1+ (more )
Structure Level Pattern Image Note
TS28: thalamus Present JAX_1798053

Specimen JAX_1798054: postnatal adult; Rint1tm1b(KOMP)Wtsi/Rint1+ (more )
Structure Level Pattern Image Note
TS28: midbrain Present JAX_1798054

Specimen JAX_1798055: postnatal adult; Rint1tm1b(KOMP)Wtsi/Rint1+ (more )
Structure Level Pattern Image Note
TS28: hypothalamus Present JAX_1798055

Specimen JAX_1798056: postnatal adult; Rint1tm1b(KOMP)Wtsi/Rint1+ (more )
Structure Level Pattern Image Note
TS28: olfactory lobe Present JAX_1798056

Specimen JAX_1798057: postnatal adult; Rint1tm1b(KOMP)Wtsi/Rint1+ (more )
Structure Level Pattern Image Note
TS28: spinal cord Present JAX_1798057

Specimen JAX_1798058: postnatal adult; Rint1tm1b(KOMP)Wtsi/Rint1+ (more )
Structure Level Pattern Image Note
TS28: peripheral nervous system Present JAX_1798058

Specimen JAX_1798059: postnatal adult; Rint1tm1b(KOMP)Wtsi/Rint1+ (more )
Structure Level Pattern Image Note
TS28: eye Present JAX_1798059

Specimen JAX_1798060: postnatal adult; Rint1tm1b(KOMP)Wtsi/Rint1+ (more )
Structure Level Pattern Image Note
TS28: trachea Present JAX_1798060

Specimen JAX_1798061: postnatal adult; Rint1tm1b(KOMP)Wtsi/Rint1+ (more )
Structure Level Pattern Image Note
TS28: submandibular gland Present JAX_1798061

Specimen JAX_1798062: postnatal adult; Rint1tm1b(KOMP)Wtsi/Rint1+ (more )
Structure Level Pattern Image Note
TS28: thyroid gland Present JAX_1798062

Specimen JAX_1798063: postnatal adult; Rint1tm1b(KOMP)Wtsi/Rint1+ (more )
Structure Level Pattern Image Note
TS28: pituitary gland Present JAX_1798063

Specimen JAX_1798064: postnatal adult; Rint1tm1b(KOMP)Wtsi/Rint1+ (more )
Structure Level Pattern Image Note
TS28: oviduct Present JAX_1798064

Specimen JAX_1798065: postnatal adult; Rint1tm1b(KOMP)Wtsi/Rint1+ (more )
Structure Level Pattern Image Note
TS28: esophagus Present JAX_1798065

Specimen JAX_1798066: postnatal adult; Rint1tm1b(KOMP)Wtsi/Rint1+ (more )
Structure Level Pattern Image Note
TS28: cartilage Present JAX_1798066

Specimen JAX_1798067: postnatal adult; Rint1tm1b(KOMP)Wtsi/Rint1+ (more )
Structure Level Pattern Image Note
TS28: testis Present JAX_1798067

Specimen JAX_1798068: postnatal adult; Rint1tm1b(KOMP)Wtsi/Rint1+ (more )
Structure Level Pattern Image Note
TS28: epididymis Present JAX_1798068

Specimen JAX_1798069: postnatal adult; Rint1tm1b(KOMP)Wtsi/Rint1+ (more )
Structure Level Pattern Image Note
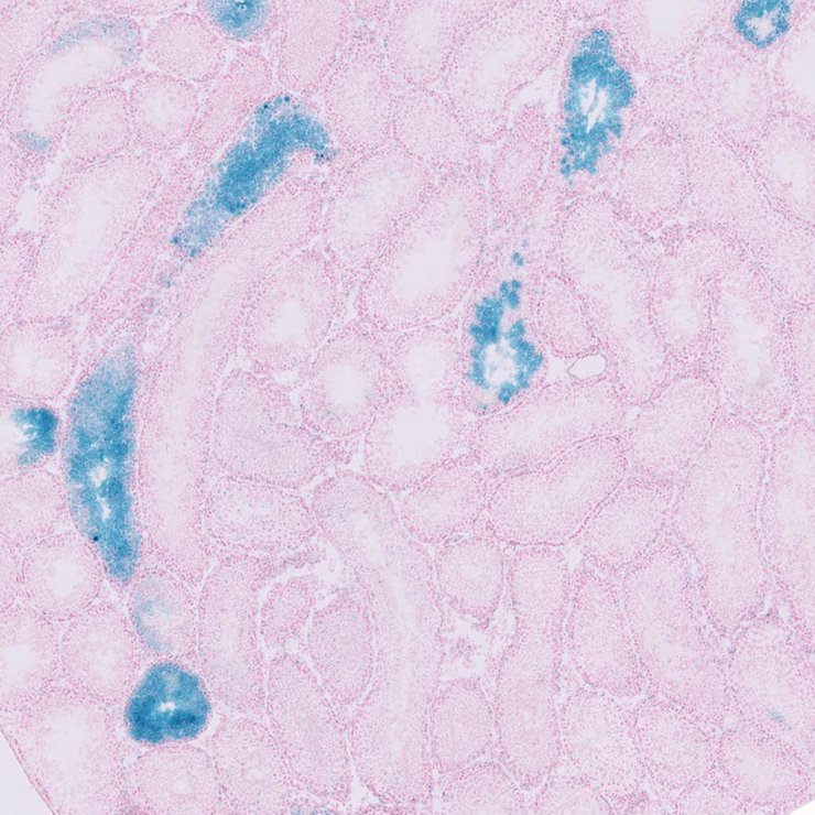
TS28: metanephros Present JAX_1798069 kidney

Specimen JAX_1798070: postnatal adult; Rint1tm1b(KOMP)Wtsi/Rint1+ (more )
Structure Level Pattern Image Note
TS28: bladder Present JAX_1798070

Specimen JAX_1798071: postnatal adult; Rint1tm1b(KOMP)Wtsi/Rint1+ (more )
Structure Level Pattern Image Note
TS28: adrenal gland Present JAX_1798071

Specimen JAX_1798072: postnatal adult; Rint1tm1b(KOMP)Wtsi/Rint1+ (more )
Structure Level Pattern Image Note
TS28: pancreas Present JAX_1798072

Specimen JAX_1798073: postnatal adult; Rint1tm1b(KOMP)Wtsi/Rint1+ (more )
Structure Level Pattern Image Note
TS28: spleen Present JAX_1798073

Specimen JAX_1798074: postnatal adult; Rint1tm1b(KOMP)Wtsi/Rint1+ (more )
Structure Level Pattern Image Note
TS28: thymus Present JAX_1798074

Specimen JAX_1798075: postnatal adult; Rint1tm1b(KOMP)Wtsi/Rint1+ (more )
Structure Level Pattern Image Note
TS28: large intestine Present JAX_1798075

Specimen JAX_1798076: postnatal adult; Rint1tm1b(KOMP)Wtsi/Rint1+ (more )
Structure Level Pattern Image Note
TS28: small intestine Present JAX_1798076

Specimen JAX_1798077: postnatal adult; Rint1tm1b(KOMP)Wtsi/Rint1+ (more )
Structure Level Pattern Image Note
TS28: stomach Present JAX_1798077

Specimen JAX_1798078: postnatal adult; Rint1tm1b(KOMP)Wtsi/Rint1+ (more )
Structure Level Pattern Image Note
TS28: liver Present JAX_1798078

Specimen JAX_1798079: postnatal adult; Rint1tm1b(KOMP)Wtsi/Rint1+ (more )
Structure Level Pattern Image Note
TS28: heart Present JAX_1798079

Specimen JAX_1798080: postnatal adult; Rint1tm1b(KOMP)Wtsi/Rint1+ (more )
Structure Level Pattern Image Note
TS28: aorta Present JAX_1798080

Specimen JAX_1798081: postnatal adult; Rint1tm1b(KOMP)Wtsi/Rint1+ (more )
Structure Level Pattern Image Note
TS28: skin Present JAX_1798081

Specimen JAX_1798082: postnatal adult; Rint1tm1b(KOMP)Wtsi/Rint1+ (more )
Structure Level Pattern Image Note
TS28: white fat Present JAX_1798082


Contributing Projects:
Mouse Genome Database (MGD), Gene Expression Database (GXD), Mouse Models of Human Cancer database (MMHCdb) (formerly Mouse Tumor Biology (MTB)), Gene Ontology (GO)
Citing These Resources
Funding Information
Warranty Disclaimer, Privacy Notice, Licensing, & Copyright
Send questions and comments to User Support.
last database update
01/20/2026
MGI 6.24
The Jackson Laboratory