About   Help   FAQ
Gene Expression Data
Assay Details
Assay
Reference: J:228563 Koscielny G, et al., The International Mouse Phenotyping Consortium Web Portal, a unified point of access for knockout mice and related phenotyping data. Nucleic Acids Res. 2014 Jan;42(Database issue):D802-9
Assay type: In situ reporter (knock in)
MGI Accession ID: MGI:6691788
Gene symbol: Nmb
Gene name: neuromedin B
Reporter: lacZ
Direct Detection
Results
Specimen JAX_1470407: embryonic day 12.5; Nmbtm1.1(KOMP)Vlcg/Nmb+ (more )
Structure Level Pattern Image Note
TS20: embryo Present JAX_1470407

Specimen JAX_1470408: embryonic day 12.5; Nmbtm1.1(KOMP)Vlcg/Nmb+ (more )
Structure Level Pattern Image Note
TS20: embryo Present JAX_1470408

Specimen JAX_1470409: embryonic day 12.5; Nmbtm1.1(KOMP)Vlcg/Nmb+ (more )
Structure Level Pattern Image Note
TS20: embryo Present JAX_1470409

Specimen JAX_1470410: embryonic day 12.5; Nmbtm1.1(KOMP)Vlcg/Nmb+ (more )
Structure Level Pattern Image Note
TS20: embryo Present JAX_1470410

Specimen JAX_1314247: embryonic day 12.5; Nmbtm1.1(KOMP)Vlcg/Nmb+ (more )
Structure Level Pattern Image Note
TS20: embryo Present JAX_1314247

Specimen JAX_1314248: embryonic day 12.5; Nmbtm1.1(KOMP)Vlcg/Nmb+ (more )
Structure Level Pattern Image Note
TS20: embryo Present JAX_1314248

Specimen JAX_1314249: embryonic day 12.5; Nmbtm1.1(KOMP)Vlcg/Nmb+ (more )
Structure Level Pattern Image Note
TS20: embryo Present JAX_1314249

Specimen JAX_1314250: embryonic day 12.5; Nmbtm1.1(KOMP)Vlcg/Nmb+ (more )
Structure Level Pattern Image Note
TS20: embryo Present JAX_1314250

Specimen JAX_1371535: postnatal adult; Nmbtm1.1(KOMP)Vlcg/Nmb+ (more )
Structure Level Pattern Image Note
TS28: midbrain Present JAX_1371535

Specimen JAX_1371536: postnatal adult; Nmbtm1.1(KOMP)Vlcg/Nmb+ (more )
Structure Level Pattern Image Note
TS28: submandibular gland Present JAX_1371536

Specimen JAX_1371537: postnatal adult; Nmbtm1.1(KOMP)Vlcg/Nmb+ (more )
Structure Level Pattern Image Note
TS28: olfactory lobe Present JAX_1371537

Specimen JAX_1371539: postnatal adult; Nmbtm1.1(KOMP)Vlcg/Nmb+ (more )
Structure Level Pattern Image Note
TS28: hippocampus Present JAX_1371539

Specimen JAX_1371540: postnatal adult; Nmbtm1.1(KOMP)Vlcg/Nmb+ (more )
Structure Level Pattern Image Note
TS28: cerebellum Present JAX_1371540

Specimen JAX_1371541: postnatal adult; Nmbtm1.1(KOMP)Vlcg/Nmb+ (more )
Structure Level Pattern Image Note
TS28: cerebral cortex Present JAX_1371541

Specimen JAX_1371542: postnatal adult; Nmbtm1.1(KOMP)Vlcg/Nmb+ (more )
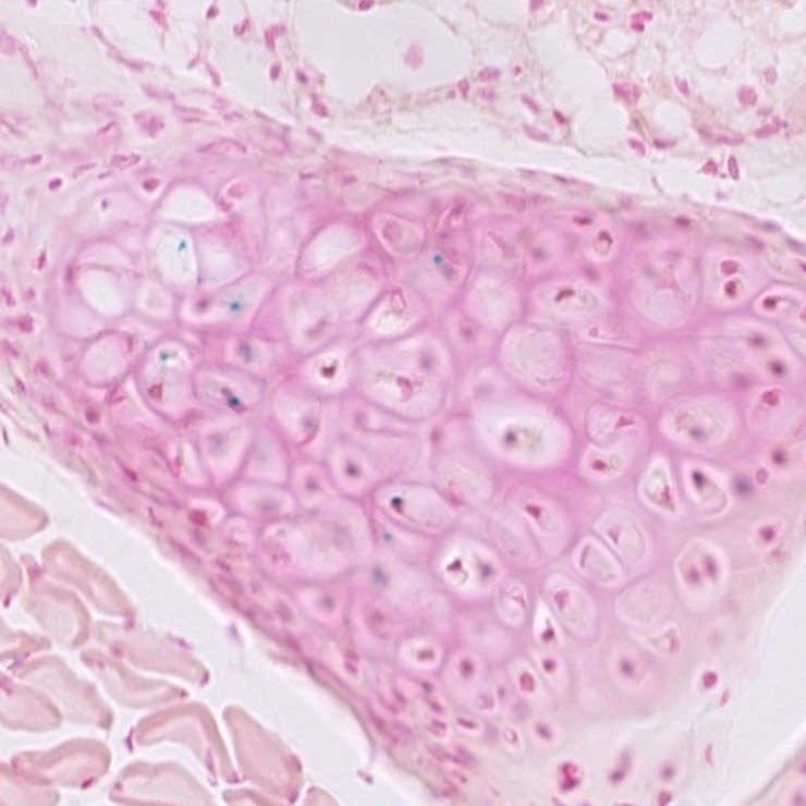
Structure Level Pattern Image Note
TS28: cartilage Present JAX_1371542

Specimen JAX_1371543: postnatal adult; Nmbtm1.1(KOMP)Vlcg/Nmb+ (more )
Structure Level Pattern Image Note
TS28: brainstem Present JAX_1371543

Specimen JAX_1371544: postnatal adult; Nmbtm1.1(KOMP)Vlcg/Nmb+ (more )
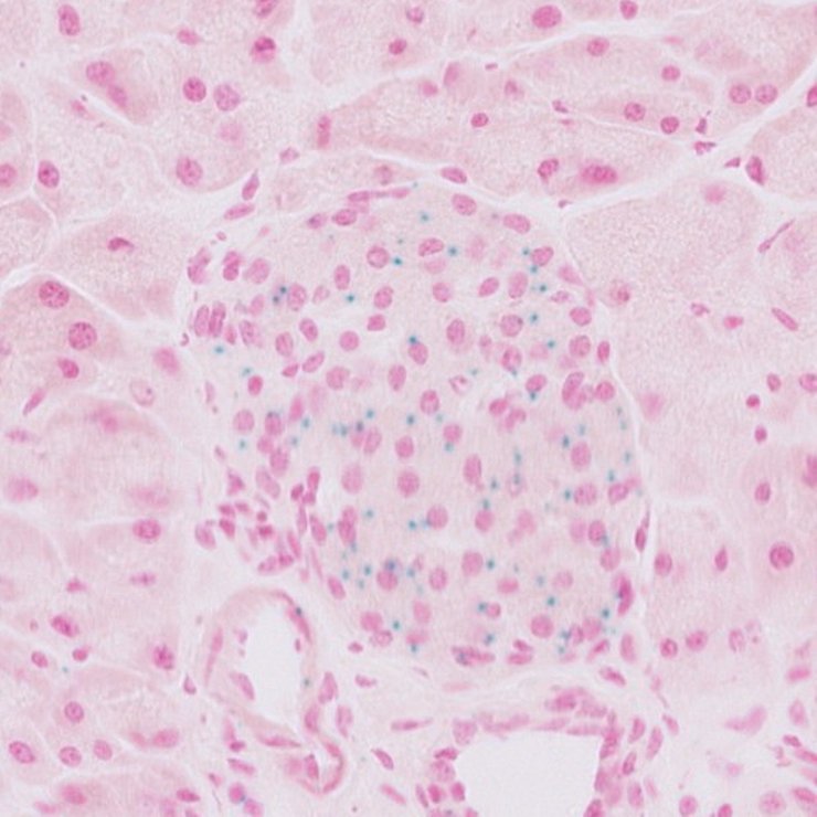
Structure Level Pattern Image Note
TS28: pancreas Present JAX_1371544

Specimen JAX_1371545: postnatal adult; Nmbtm1.1(KOMP)Vlcg/Nmb+ (more )
Structure Level Pattern Image Note
TS28: thyroid gland Present JAX_1371545

Specimen JAX_1371546: postnatal adult; Nmbtm1.1(KOMP)Vlcg/Nmb+ (more )
Structure Level Pattern Image Note
TS28: spinal cord Present JAX_1371546

Specimen JAX_1371547: postnatal adult; Nmbtm1.1(KOMP)Vlcg/Nmb+ (more )
Structure Level Pattern Image Note
TS28: esophagus Present JAX_1371547

Specimen JAX_1371548: postnatal adult; Nmbtm1.1(KOMP)Vlcg/Nmb+ (more )
Structure Level Pattern Image Note
TS28: uterus Present JAX_1371548

Specimen JAX_1371549: postnatal adult; Nmbtm1.1(KOMP)Vlcg/Nmb+ (more )
Structure Level Pattern Image Note
TS28: oviduct Present JAX_1371549

Specimen JAX_1371550: postnatal adult; Nmbtm1.1(KOMP)Vlcg/Nmb+ (more )
Structure Level Pattern Image Note
TS28: ovary Present JAX_1371550

Specimen JAX_1371551: postnatal adult; Nmbtm1.1(KOMP)Vlcg/Nmb+ (more )
Structure Level Pattern Image Note
TS28: brain Present JAX_1371551

Specimen JAX_1371552: postnatal adult; Nmbtm1.1(KOMP)Vlcg/Nmb+ (more )
Structure Level Pattern Image Note
TS28: epididymis Present JAX_1371552

Specimen JAX_1371553: postnatal adult; Nmbtm1.1(KOMP)Vlcg/Nmb+ (more )
Structure Level Pattern Image Note
TS28: submandibular gland Present JAX_1371553

Specimen JAX_1371554: postnatal adult; Nmbtm1.1(KOMP)Vlcg/Nmb+ (more )
Structure Level Pattern Image Note
TS28: spleen Present JAX_1371554

Specimen JAX_1371555: postnatal adult; Nmbtm1.1(KOMP)Vlcg/Nmb+ (more )
Structure Level Pattern Image Note
TS28: lung Present JAX_1371555

Specimen JAX_1371556: postnatal adult; Nmbtm1.1(KOMP)Vlcg/Nmb+ (more )
Structure Level Pattern Image Note
TS28: small intestine Present JAX_1371556

Specimen JAX_1371557: postnatal adult; Nmbtm1.1(KOMP)Vlcg/Nmb+ (more )
Structure Level Pattern Image Note
TS28: pituitary gland Present JAX_1371557

Specimen JAX_1371558: postnatal adult; Nmbtm1.1(KOMP)Vlcg/Nmb+ (more )
Structure Level Pattern Image Note
TS28: large intestine Present JAX_1371558

Specimen JAX_1371559: postnatal adult; Nmbtm1.1(KOMP)Vlcg/Nmb+ (more )
Structure Level Pattern Image Note
TS28: thymus Present JAX_1371559

Specimen JAX_1371560: postnatal adult; Nmbtm1.1(KOMP)Vlcg/Nmb+ (more )
Structure Level Pattern Image Note
TS28: testis Present JAX_1371560

Specimen JAX_1371561: postnatal adult; Nmbtm1.1(KOMP)Vlcg/Nmb+ (more )
Structure Level Pattern Image Note
TS28: stomach Present JAX_1371561

Specimen JAX_1371562: postnatal adult; Nmbtm1.1(KOMP)Vlcg/Nmb+ (more )
Structure Level Pattern Image Note
TS28: metanephros Present JAX_1371562 kidney

Specimen JAX_1371563: postnatal adult; Nmbtm1.1(KOMP)Vlcg/Nmb+ (more )
Structure Level Pattern Image Note
TS28: heart Present JAX_1371563

Specimen JAX_1371564: postnatal adult; Nmbtm1.1(KOMP)Vlcg/Nmb+ (more )
Structure Level Pattern Image Note
TS28: adrenal gland Present JAX_1371564


Contributing Projects:
Mouse Genome Database (MGD), Gene Expression Database (GXD), Mouse Models of Human Cancer database (MMHCdb) (formerly Mouse Tumor Biology (MTB)), Gene Ontology (GO)
Citing These Resources
Funding Information
Warranty Disclaimer, Privacy Notice, Licensing, & Copyright
Send questions and comments to User Support.
last database update
12/30/2025
MGI 6.24
The Jackson Laboratory