About   Help   FAQ
Gene Expression Data
Assay Details
Assay
Reference: J:228563 Koscielny G, et al., The International Mouse Phenotyping Consortium Web Portal, a unified point of access for knockout mice and related phenotyping data. Nucleic Acids Res. 2014 Jan;42(Database issue):D802-9
Assay type: In situ reporter (knock in)
MGI Accession ID: MGI:6691773
Gene symbol: Rab32
Gene name: RAB32, member RAS oncogene family
Reporter: lacZ
Direct Detection
Results
Specimen UC Davis_1875296: postnatal adult; Rab32tm1b(KOMP)Wtsi/Rab32+ (more )
Structure Level Pattern Image Note
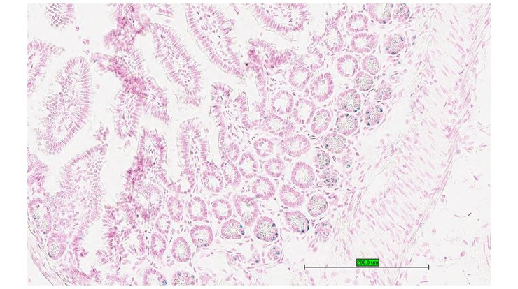
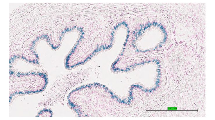
TS28: duodenum Present UC Davis_1875296

Specimen UC Davis_1875297: postnatal adult; Rab32tm1b(KOMP)Wtsi/Rab32+ (more )
Structure Level Pattern Image Note
TS28: ileum Present UC Davis_1875297

Specimen UC Davis_1875298: postnatal adult; Rab32tm1b(KOMP)Wtsi/Rab32+ (more )
Structure Level Pattern Image Note
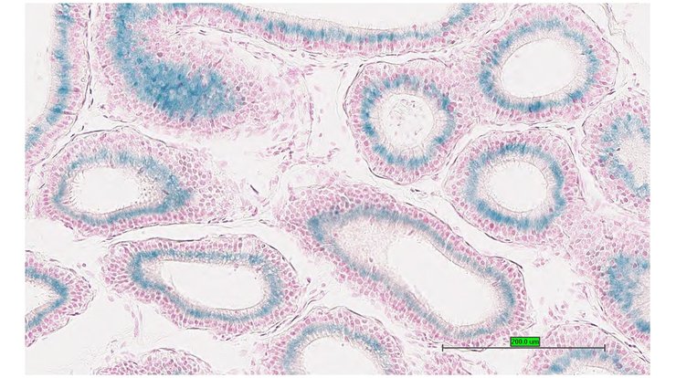
TS28: metanephros Present UC Davis_1875298 kidney

Specimen UC Davis_1875301: postnatal adult; Rab32tm1b(KOMP)Wtsi/Rab32+ (more )
Structure Level Pattern Image Note
TS28: ileum Present UC Davis_1875301

Specimen UC Davis_1875302: postnatal adult; Rab32tm1b(KOMP)Wtsi/Rab32+ (more )
Structure Level Pattern Image Note
TS28: metanephros Present UC Davis_1875302 kidney

Specimen UC Davis_1875303: postnatal adult; Rab32tm1b(KOMP)Wtsi/Rab32+ (more )
Structure Level Pattern Image Note
TS28: metanephros Present UC Davis_1875303 kidney

Specimen UC Davis_1875304: postnatal adult; Rab32tm1b(KOMP)Wtsi/Rab32+ (more )
Structure Level Pattern Image Note
TS28: testis Present UC Davis_1875304

Specimen UC Davis_1875305: postnatal adult; Rab32tm1b(KOMP)Wtsi/Rab32+ (more )
Structure Level Pattern Image Note
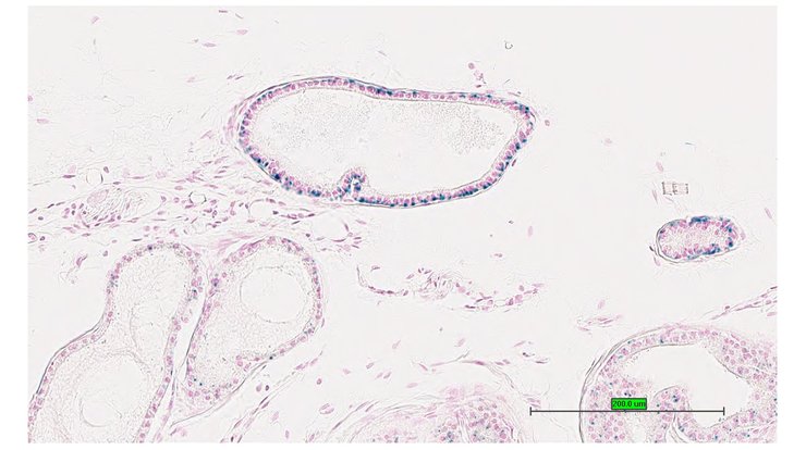
TS28: epididymis Absent UC Davis_1875305

Specimen UC Davis_1875306: postnatal adult; Rab32tm1b(KOMP)Wtsi/Rab32+ (more )
Structure Level Pattern Image Note
TS28: prostate gland Present UC Davis_1875306

Specimen UC Davis_1875307: postnatal adult; Rab32tm1b(KOMP)Wtsi/Rab32+ (more )
Structure Level Pattern Image Note
TS28: ductus deferens Absent UC Davis_1875307 vas deferens


Contributing Projects:
Mouse Genome Database (MGD), Gene Expression Database (GXD), Mouse Models of Human Cancer database (MMHCdb) (formerly Mouse Tumor Biology (MTB)), Gene Ontology (GO)
Citing These Resources
Funding Information
Warranty Disclaimer, Privacy Notice, Licensing, & Copyright
Send questions and comments to User Support.
last database update
01/06/2026
MGI 6.24
The Jackson Laboratory