About   Help   FAQ
Gene Expression Data
Assay Details
Assay
Reference: J:228563 Koscielny G, et al., The International Mouse Phenotyping Consortium Web Portal, a unified point of access for knockout mice and related phenotyping data. Nucleic Acids Res. 2014 Jan;42(Database issue):D802-9
Assay type: In situ reporter (knock in)
MGI Accession ID: MGI:6691763
Gene symbol: Dnaaf4
Gene name: dynein axonemal assembly factor 4
Reporter: lacZ
Direct Detection
Results
Specimen JAX_1288387: postnatal adult; Dnaaf4tm1b(EUCOMM)Hmgu/Dnaaf4+ (more )
Structure Level Pattern Image Note
TS28: spinal cord Present JAX_1288387

Specimen JAX_1288389: postnatal adult; Dnaaf4tm1b(EUCOMM)Hmgu/Dnaaf4+ (more )
Structure Level Pattern Image Note
TS28: uterus Present JAX_1288389

Specimen JAX_1288391: postnatal adult; Dnaaf4tm1b(EUCOMM)Hmgu/Dnaaf4+ (more )
Structure Level Pattern Image Note
TS28: submandibular gland Present JAX_1288391

Specimen JAX_1288393: postnatal adult; Dnaaf4tm1b(EUCOMM)Hmgu/Dnaaf4+ (more )
Structure Level Pattern Image Note
TS28: spleen Present JAX_1288393

Specimen JAX_1288395: postnatal adult; Dnaaf4tm1b(EUCOMM)Hmgu/Dnaaf4+ (more )
Structure Level Pattern Image Note
TS28: lung Present JAX_1288395

Specimen JAX_1288397: postnatal adult; Dnaaf4tm1b(EUCOMM)Hmgu/Dnaaf4+ (more )
Structure Level Pattern Image Note
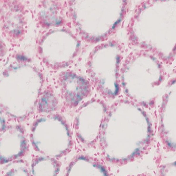
TS28: thyroid gland Present JAX_1288397

Specimen JAX_1288399: postnatal adult; Dnaaf4tm1b(EUCOMM)Hmgu/Dnaaf4+ (more )
Structure Level Pattern Image Note
TS28: trachea Present JAX_1288399

Specimen JAX_1288401: postnatal adult; Dnaaf4tm1b(EUCOMM)Hmgu/Dnaaf4+ (more )
Structure Level Pattern Image Note
TS28: testis Present JAX_1288401

Specimen JAX_1288403: postnatal adult; Dnaaf4tm1b(EUCOMM)Hmgu/Dnaaf4+ (more )
Structure Level Pattern Image Note
TS28: metanephros Present JAX_1288403 kidney

Specimen JAX_1288405: postnatal adult; Dnaaf4tm1b(EUCOMM)Hmgu/Dnaaf4+ (more )
Structure Level Pattern Image Note
TS28: heart Present JAX_1288405

Specimen JAX_1288407: postnatal adult; Dnaaf4tm1b(EUCOMM)Hmgu/Dnaaf4+ (more )
Structure Level Pattern Image Note
TS28: brain Present JAX_1288407


Contributing Projects:
Mouse Genome Database (MGD), Gene Expression Database (GXD), Mouse Models of Human Cancer database (MMHCdb) (formerly Mouse Tumor Biology (MTB)), Gene Ontology (GO)
Citing These Resources
Funding Information
Warranty Disclaimer, Privacy Notice, Licensing, & Copyright
Send questions and comments to User Support.
last database update
01/20/2026
MGI 6.24
The Jackson Laboratory