About   Help   FAQ
Gene Expression Data
Assay Details
Assay
Reference: J:228563 Koscielny G, et al., The International Mouse Phenotyping Consortium Web Portal, a unified point of access for knockout mice and related phenotyping data. Nucleic Acids Res. 2014 Jan;42(Database issue):D802-9
Assay type: In situ reporter (knock in)
MGI Accession ID: MGI:6691744
Gene symbol: Eps8l1
Gene name: EPS8-like 1
Reporter: lacZ
Direct Detection
Results
Specimen UC Davis_1858116: postnatal adult; Eps8l1tm2b(KOMP)Wtsi/Eps8l1+ (more )
Structure Level Pattern Image Note
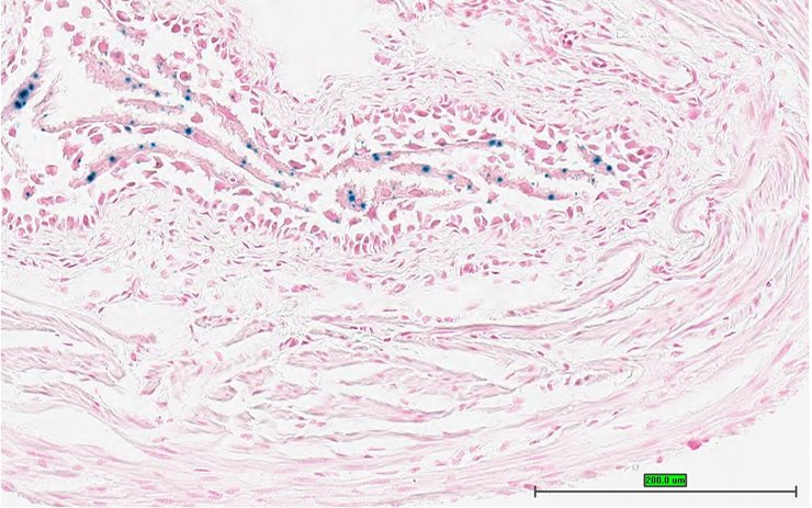
TS28: esophagus Present UC Davis_1858116

Specimen UC Davis_1858117: postnatal adult; Eps8l1tm2b(KOMP)Wtsi/Eps8l1+ (more )
Structure Level Pattern Image Note
TS28: esophagus Present UC Davis_1858117

Specimen UC Davis_1858118: postnatal adult; Eps8l1tm2b(KOMP)Wtsi/Eps8l1+ (more )
Structure Level Pattern Image Note
TS28: stomach Present UC Davis_1858118

Specimen UC Davis_1858119: postnatal adult; Eps8l1tm2b(KOMP)Wtsi/Eps8l1+ (more )
Structure Level Pattern Image Note
TS28: stomach Present UC Davis_1858119

Specimen UC Davis_1858120: postnatal adult; Eps8l1tm2b(KOMP)Wtsi/Eps8l1+ (more )
Structure Level Pattern Image Note
TS28: stomach Present UC Davis_1858120

Specimen UC Davis_1858121: postnatal adult; Eps8l1tm2b(KOMP)Wtsi/Eps8l1+ (more )
Structure Level Pattern Image Note
TS28: duodenum Present UC Davis_1858121

Specimen UC Davis_1858122: postnatal adult; Eps8l1tm2b(KOMP)Wtsi/Eps8l1+ (more )
Structure Level Pattern Image Note
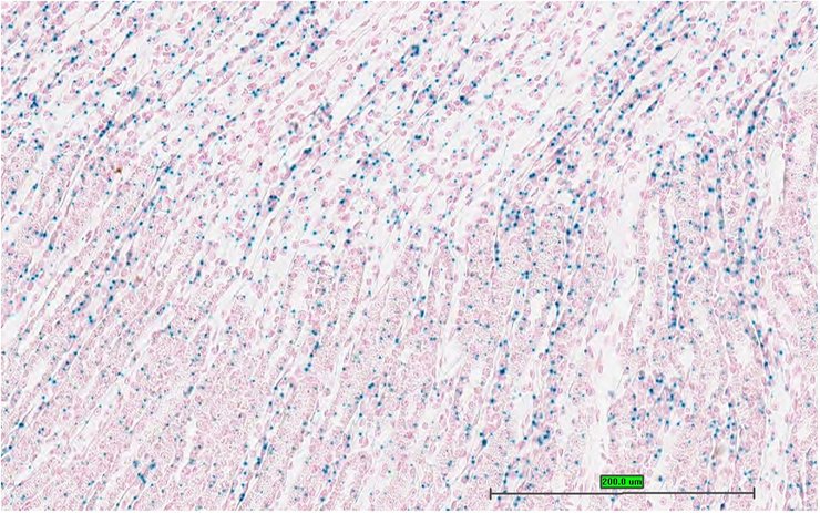
TS28: metanephros Present UC Davis_1858122 kidney

Specimen UC Davis_1858123: postnatal adult; Eps8l1tm2b(KOMP)Wtsi/Eps8l1+ (more )
Structure Level Pattern Image Note
TS28: metanephros Present UC Davis_1858123 kidney

Specimen UC Davis_1858124: postnatal adult; Eps8l1tm2b(KOMP)Wtsi/Eps8l1+ (more )
Structure Level Pattern Image Note
TS28: metanephros Present UC Davis_1858124 kidney

Specimen UC Davis_1858125: postnatal adult; Eps8l1tm2b(KOMP)Wtsi/Eps8l1+ (more )
Structure Level Pattern Image Note
TS28: metanephros Present UC Davis_1858125 kidney

Specimen UC Davis_1858126: postnatal adult; Eps8l1tm2b(KOMP)Wtsi/Eps8l1+ (more )
Structure Level Pattern Image Note
TS28: tongue Present UC Davis_1858126

Specimen UC Davis_1858127: postnatal adult; Eps8l1tm2b(KOMP)Wtsi/Eps8l1+ (more )
Structure Level Pattern Image Note
TS28: tongue Present UC Davis_1858127

Specimen UC Davis_1858128: postnatal adult; Eps8l1tm2b(KOMP)Wtsi/Eps8l1+ (more )
Structure Level Pattern Image Note
TS28: tongue Present UC Davis_1858128

Specimen UC Davis_1858129: postnatal adult; Eps8l1tm2b(KOMP)Wtsi/Eps8l1+ (more )
Structure Level Pattern Image Note
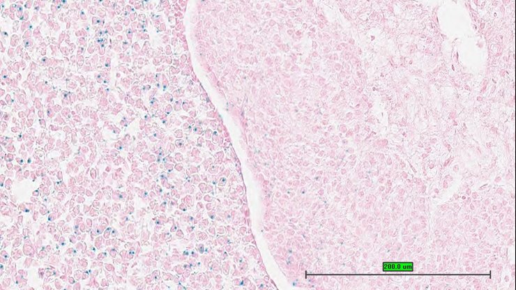
TS28: Harderian gland Present UC Davis_1858129

Specimen UC Davis_1858130: postnatal adult; Eps8l1tm2b(KOMP)Wtsi/Eps8l1+ (more )
Structure Level Pattern Image Note
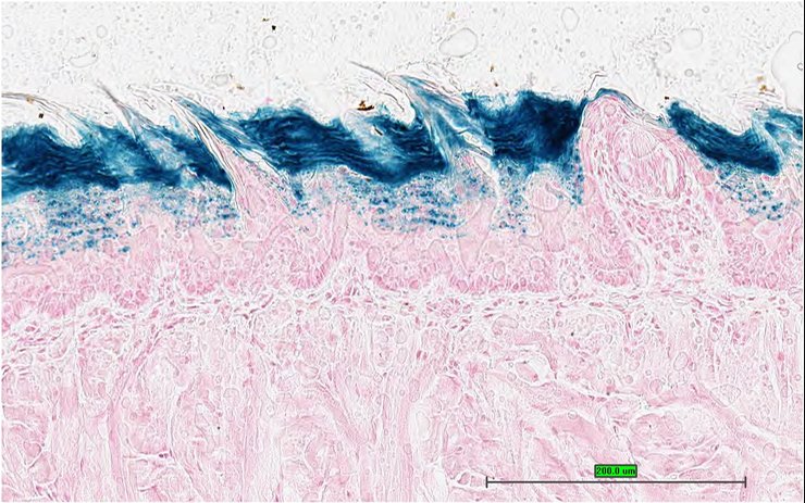
TS28: skin Present UC Davis_1858130

Specimen UC Davis_1858131: postnatal adult; Eps8l1tm2b(KOMP)Wtsi/Eps8l1+ (more )
Structure Level Pattern Image Note
TS28: skin Present UC Davis_1858131

Specimen UC Davis_1858132: postnatal adult; Eps8l1tm2b(KOMP)Wtsi/Eps8l1+ (more )
Structure Level Pattern Image Note
TS28: oviduct Present UC Davis_1858132

Specimen UC Davis_1858133: postnatal adult; Eps8l1tm2b(KOMP)Wtsi/Eps8l1+ (more )
Structure Level Pattern Image Note
TS28: uterus Present UC Davis_1858133

Specimen UC Davis_1858134: postnatal adult; Eps8l1tm2b(KOMP)Wtsi/Eps8l1+ (more )
Structure Level Pattern Image Note
TS28: vagina Present UC Davis_1858134

Specimen UC Davis_1858135: postnatal adult; Eps8l1tm2b(KOMP)Wtsi/Eps8l1+ (more )
Structure Level Pattern Image Note
TS28: bladder Present UC Davis_1858135

Specimen UC Davis_1858136: postnatal adult; Eps8l1tm2b(KOMP)Wtsi/Eps8l1+ (more )
Structure Level Pattern Image Note
TS28: bladder Present UC Davis_1858136

Specimen UC Davis_1858194: postnatal adult; Eps8l1tm2b(KOMP)Wtsi/Eps8l1+ (more )
Structure Level Pattern Image Note
TS28: vagina Present UC Davis_1858194

Specimen UC Davis_1858139: postnatal adult; Eps8l1tm2b(KOMP)Wtsi/Eps8l1+ (more )
Structure Level Pattern Image Note
TS28: esophagus Present UC Davis_1858139

Specimen UC Davis_1858140: postnatal adult; Eps8l1tm2b(KOMP)Wtsi/Eps8l1+ (more )
Structure Level Pattern Image Note
TS28: esophagus Present UC Davis_1858140

Specimen UC Davis_1858141: postnatal adult; Eps8l1tm2b(KOMP)Wtsi/Eps8l1+ (more )
Structure Level Pattern Image Note
TS28: esophagus Present UC Davis_1858141

Specimen UC Davis_1858142: postnatal adult; Eps8l1tm2b(KOMP)Wtsi/Eps8l1+ (more )
Structure Level Pattern Image Note
TS28: lung Present UC Davis_1858142

Specimen UC Davis_1858143: postnatal adult; Eps8l1tm2b(KOMP)Wtsi/Eps8l1+ (more )
Structure Level Pattern Image Note
TS28: lung Present UC Davis_1858143

Specimen UC Davis_1858144: postnatal adult; Eps8l1tm2b(KOMP)Wtsi/Eps8l1+ (more )
Structure Level Pattern Image Note
TS28: stomach Present UC Davis_1858144

Specimen UC Davis_1858145: postnatal adult; Eps8l1tm2b(KOMP)Wtsi/Eps8l1+ (more )
Structure Level Pattern Image Note
TS28: stomach Present UC Davis_1858145

Specimen UC Davis_1858146: postnatal adult; Eps8l1tm2b(KOMP)Wtsi/Eps8l1+ (more )
Structure Level Pattern Image Note
TS28: metanephros Present UC Davis_1858146 kidney

Specimen UC Davis_1858147: postnatal adult; Eps8l1tm2b(KOMP)Wtsi/Eps8l1+ (more )
Structure Level Pattern Image Note
TS28: metanephros Present UC Davis_1858147 kidney

Specimen UC Davis_1858148: postnatal adult; Eps8l1tm2b(KOMP)Wtsi/Eps8l1+ (more )
Structure Level Pattern Image Note
TS28: metanephros Present UC Davis_1858148 kidney

Specimen UC Davis_1858149: postnatal adult; Eps8l1tm2b(KOMP)Wtsi/Eps8l1+ (more )
Structure Level Pattern Image Note
TS28: tongue Present UC Davis_1858149

Specimen UC Davis_1858150: postnatal adult; Eps8l1tm2b(KOMP)Wtsi/Eps8l1+ (more )
Structure Level Pattern Image Note
TS28: tongue Present UC Davis_1858150

Specimen UC Davis_1858151: postnatal adult; Eps8l1tm2b(KOMP)Wtsi/Eps8l1+ (more )
Structure Level Pattern Image Note
TS28: pituitary gland Present UC Davis_1858151

Specimen UC Davis_1858152: postnatal adult; Eps8l1tm2b(KOMP)Wtsi/Eps8l1+ (more )
Structure Level Pattern Image Note
TS28: pituitary gland Present UC Davis_1858152

Specimen UC Davis_1858153: postnatal adult; Eps8l1tm2b(KOMP)Wtsi/Eps8l1+ (more )
Structure Level Pattern Image Note
TS28: skin Present UC Davis_1858153

Specimen UC Davis_1858154: postnatal adult; Eps8l1tm2b(KOMP)Wtsi/Eps8l1+ (more )
Structure Level Pattern Image Note
TS28: skin Present UC Davis_1858154

Specimen UC Davis_1858155: postnatal adult; Eps8l1tm2b(KOMP)Wtsi/Eps8l1+ (more )
Structure Level Pattern Image Note
TS28: bladder Present UC Davis_1858155

Specimen UC Davis_1858156: postnatal adult; Eps8l1tm2b(KOMP)Wtsi/Eps8l1+ (more )
Structure Level Pattern Image Note
TS28: bladder Present UC Davis_1858156

Specimen UC Davis_1858157: postnatal adult; Eps8l1tm2b(KOMP)Wtsi/Eps8l1+ (more )
Structure Level Pattern Image Note
TS28: epididymis Present UC Davis_1858157

Specimen UC Davis_1858158: postnatal adult; Eps8l1tm2b(KOMP)Wtsi/Eps8l1+ (more )
Structure Level Pattern Image Note
TS28: epididymis Present UC Davis_1858158

Specimen UC Davis_1858159: postnatal adult; Eps8l1tm2b(KOMP)Wtsi/Eps8l1+ (more )
Structure Level Pattern Image Note
TS28: penis Absent UC Davis_1858159

Specimen UC Davis_1858160: postnatal adult; Eps8l1tm2b(KOMP)Wtsi/Eps8l1+ (more )
Structure Level Pattern Image Note
TS28: penis Absent UC Davis_1858160

Specimen UC Davis_1858161: postnatal adult; Eps8l1tm2b(KOMP)Wtsi/Eps8l1+ (more )
Structure Level Pattern Image Note
TS28: ductus deferens Present UC Davis_1858161 vas deferens

Specimen UC Davis_1858162: postnatal adult; Eps8l1tm2b(KOMP)Wtsi/Eps8l1+ (more )
Structure Level Pattern Image Note
TS28: ductus deferens Present UC Davis_1858162 vas deferens

Specimen UC Davis_1858165: postnatal adult; Eps8l1tm2b(KOMP)Wtsi/Eps8l1+ (more )
Structure Level Pattern Image Note
TS28: tongue Present UC Davis_1858165

Specimen UC Davis_1858166: postnatal adult; Eps8l1tm2b(KOMP)Wtsi/Eps8l1+ (more )
Structure Level Pattern Image Note
TS28: olfactory lobe Present UC Davis_1858166

Specimen UC Davis_1858169: postnatal adult; Eps8l1tm2b(KOMP)Wtsi/Eps8l1+ (more )
Structure Level Pattern Image Note
TS28: midbrain Present UC Davis_1858169

Specimen UC Davis_1858171: postnatal adult; Eps8l1tm2b(KOMP)Wtsi/Eps8l1+ (more )
Structure Level Pattern Image Note
TS28: cerebellum Present UC Davis_1858171

Specimen UC Davis_1858172: postnatal adult; Eps8l1tm2b(KOMP)Wtsi/Eps8l1+ (more )
Structure Level Pattern Image Note
TS28: brain Present UC Davis_1858172

Specimen UC Davis_1858173: postnatal adult; Eps8l1tm2b(KOMP)Wtsi/Eps8l1+ (more )
Structure Level Pattern Image Note
TS28: lung Present UC Davis_1858173

Specimen UC Davis_1858175: postnatal adult; Eps8l1tm2b(KOMP)Wtsi/Eps8l1+ (more )
Structure Level Pattern Image Note
TS28: metanephros Present UC Davis_1858175 kidney

Specimen UC Davis_1858176: postnatal adult; Eps8l1tm2b(KOMP)Wtsi/Eps8l1+ (more )
Structure Level Pattern Image Note
TS28: adrenal gland Present UC Davis_1858176

Specimen UC Davis_1858177: postnatal adult; Eps8l1tm2b(KOMP)Wtsi/Eps8l1+ (more )
Structure Level Pattern Image Note
TS28: skin Present UC Davis_1858177

Specimen UC Davis_1858178: postnatal adult; Eps8l1tm2b(KOMP)Wtsi/Eps8l1+ (more )
Structure Level Pattern Image Note
TS28: trachea Present UC Davis_1858178

Specimen UC Davis_1858180: postnatal adult; Eps8l1tm2b(KOMP)Wtsi/Eps8l1+ (more )
Structure Level Pattern Image Note
TS28: esophagus Present UC Davis_1858180

Specimen UC Davis_1858181: postnatal adult; Eps8l1tm2b(KOMP)Wtsi/Eps8l1+ (more )
Structure Level Pattern Image Note
TS28: thyroid gland Present UC Davis_1858181

Specimen UC Davis_1858182: postnatal adult; Eps8l1tm2b(KOMP)Wtsi/Eps8l1+ (more )
Structure Level Pattern Image Note
TS28: spinal cord Present UC Davis_1858182

Specimen UC Davis_1858183: postnatal adult; Eps8l1tm2b(KOMP)Wtsi/Eps8l1+ (more )
Structure Level Pattern Image Note
TS28: stomach Present UC Davis_1858183

Specimen UC Davis_1858184: postnatal adult; Eps8l1tm2b(KOMP)Wtsi/Eps8l1+ (more )
Structure Level Pattern Image Note
TS28: bladder Present UC Davis_1858184

Specimen UC Davis_1858185: postnatal adult; Eps8l1tm2b(KOMP)Wtsi/Eps8l1+ (more )
Structure Level Pattern Image Note
TS28: seminal vesicle Present UC Davis_1858185 vesicular gland

Specimen UC Davis_1858186: postnatal adult; Eps8l1tm2b(KOMP)Wtsi/Eps8l1+ (more )
Structure Level Pattern Image Note
TS28: penis Present UC Davis_1858186

Specimen UC Davis_1858192: postnatal adult; Eps8l1tm2b(KOMP)Wtsi/Eps8l1+ (more )
Structure Level Pattern Image Note
TS28: parathyroid gland Present UC Davis_1858192


Contributing Projects:
Mouse Genome Database (MGD), Gene Expression Database (GXD), Mouse Models of Human Cancer database (MMHCdb) (formerly Mouse Tumor Biology (MTB)), Gene Ontology (GO)
Citing These Resources
Funding Information
Warranty Disclaimer, Privacy Notice, Licensing, & Copyright
Send questions and comments to User Support.
last database update
01/20/2026
MGI 6.24
The Jackson Laboratory