About   Help   FAQ
Gene Expression Data
Assay Details
Assay
Reference: J:228563 Koscielny G, et al., The International Mouse Phenotyping Consortium Web Portal, a unified point of access for knockout mice and related phenotyping data. Nucleic Acids Res. 2014 Jan;42(Database issue):D802-9
Assay type: In situ reporter (knock in)
MGI Accession ID: MGI:6691706
Gene symbol: Bzw2
Gene name: basic leucine zipper and W2 domains 2
Reporter: lacZ
Direct Detection
Results
Specimen JAX_619521: embryonic day 12.5; Bzw2tm1b(KOMP)Mbp/Bzw2+ (more )
Structure Level Pattern Image Note
TS20: embryo Present JAX_619521

Specimen JAX_619523: embryonic day 12.5; Bzw2tm1b(KOMP)Mbp/Bzw2+ (more )
Structure Level Pattern Image Note
TS20: embryo Present JAX_619523

Specimen JAX_619525: embryonic day 12.5; Bzw2tm1b(KOMP)Mbp/Bzw2+ (more )
Structure Level Pattern Image Note
TS20: embryo Present JAX_619525

Specimen JAX_619527: embryonic day 12.5; Bzw2tm1b(KOMP)Mbp/Bzw2+ (more )
Structure Level Pattern Image Note
TS20: embryo Present JAX_619527

Specimen JAX_619529: embryonic day 12.5; Bzw2tm1b(KOMP)Mbp/Bzw2+ (more )
Structure Level Pattern Image Note
TS20: embryo Present JAX_619529

Specimen JAX_619531: embryonic day 12.5; Bzw2tm1b(KOMP)Mbp/Bzw2+ (more )
Structure Level Pattern Image Note
TS20: embryo Present JAX_619531

Specimen JAX_619533: embryonic day 12.5; Bzw2tm1b(KOMP)Mbp/Bzw2+ (more )
Structure Level Pattern Image Note
TS20: embryo Present JAX_619533

Specimen JAX_619535: embryonic day 12.5; Bzw2tm1b(KOMP)Mbp/Bzw2+ (more )
Structure Level Pattern Image Note
TS20: embryo Present JAX_619535

Specimen JAX_1798008: postnatal adult; Bzw2tm1b(KOMP)Mbp/Bzw2+ (more )
Structure Level Pattern Image Note
TS28: thalamus Present JAX_1798008

Specimen JAX_1798009: postnatal adult; Bzw2tm1b(KOMP)Mbp/Bzw2+ (more )
Structure Level Pattern Image Note
TS28: midbrain Present JAX_1798009

Specimen JAX_1798010: postnatal adult; Bzw2tm1b(KOMP)Mbp/Bzw2+ (more )
Structure Level Pattern Image Note
TS28: olfactory lobe Present JAX_1798010

Specimen JAX_1798011: postnatal adult; Bzw2tm1b(KOMP)Mbp/Bzw2+ (more )
Structure Level Pattern Image Note
TS28: hypothalamus Present JAX_1798011

Specimen JAX_1798012: postnatal adult; Bzw2tm1b(KOMP)Mbp/Bzw2+ (more )
Structure Level Pattern Image Note
TS28: hippocampus Present JAX_1798012

Specimen JAX_1798013: postnatal adult; Bzw2tm1b(KOMP)Mbp/Bzw2+ (more )
Structure Level Pattern Image Note
TS28: cerebellum Present JAX_1798013

Specimen JAX_1798014: postnatal adult; Bzw2tm1b(KOMP)Mbp/Bzw2+ (more )
Structure Level Pattern Image Note
TS28: cerebral cortex Present JAX_1798014

Specimen JAX_1798015: postnatal adult; Bzw2tm1b(KOMP)Mbp/Bzw2+ (more )
Structure Level Pattern Image Note
TS28: brainstem Present JAX_1798015

Specimen JAX_1798016: postnatal adult; Bzw2tm1b(KOMP)Mbp/Bzw2+ (more )
Structure Level Pattern Image Note
TS28: pituitary gland Present JAX_1798016

Specimen JAX_1798017: postnatal adult; Bzw2tm1b(KOMP)Mbp/Bzw2+ (more )
Structure Level Pattern Image Note
TS28: uterus Present JAX_1798017

Specimen JAX_1798018: postnatal adult; Bzw2tm1b(KOMP)Mbp/Bzw2+ (more )
Structure Level Pattern Image Note
TS28: oviduct Present JAX_1798018

Specimen JAX_1798019: postnatal adult; Bzw2tm1b(KOMP)Mbp/Bzw2+ (more )
Structure Level Pattern Image Note
TS28: eye Present JAX_1798019

Specimen JAX_1798020: postnatal adult; Bzw2tm1b(KOMP)Mbp/Bzw2+ (more )
Structure Level Pattern Image Note
TS28: brain Present JAX_1798020

Specimen JAX_1798021: postnatal adult; Bzw2tm1b(KOMP)Mbp/Bzw2+ (more )
Structure Level Pattern Image Note
TS28: vascular system Present JAX_1798021

Specimen JAX_1798022: postnatal adult; Bzw2tm1b(KOMP)Mbp/Bzw2+ (more )
Structure Level Pattern Image Note
TS28: epididymis Present JAX_1798022

Specimen JAX_1798023: postnatal adult; Bzw2tm1b(KOMP)Mbp/Bzw2+ (more )
Structure Level Pattern Image Note
TS28: submandibular gland Present JAX_1798023

Specimen JAX_1798024: postnatal adult; Bzw2tm1b(KOMP)Mbp/Bzw2+ (more )
Structure Level Pattern Image Note
TS28: bladder Present JAX_1798024

Specimen JAX_1798025: postnatal adult; Bzw2tm1b(KOMP)Mbp/Bzw2+ (more )
Structure Level Pattern Image Note
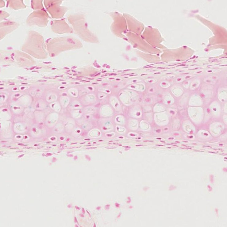
TS28: cartilage Present JAX_1798025

Specimen JAX_1798026: postnatal adult; Bzw2tm1b(KOMP)Mbp/Bzw2+ (more )
Structure Level Pattern Image Note
TS28: spleen Present JAX_1798026

Specimen JAX_1798027: postnatal adult; Bzw2tm1b(KOMP)Mbp/Bzw2+ (more )
Structure Level Pattern Image Note
TS28: pancreas Present JAX_1798027

Specimen JAX_1798028: postnatal adult; Bzw2tm1b(KOMP)Mbp/Bzw2+ (more )
Structure Level Pattern Image Note
TS28: aorta Present JAX_1798028

Specimen JAX_1798029: postnatal adult; Bzw2tm1b(KOMP)Mbp/Bzw2+ (more )
Structure Level Pattern Image Note
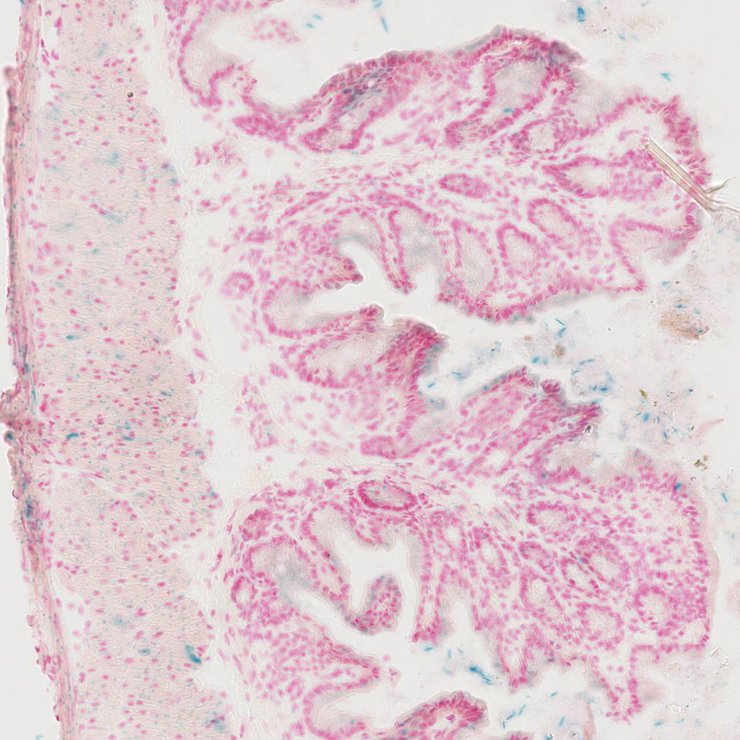
TS28: small intestine Present JAX_1798029

Specimen JAX_1798030: postnatal adult; Bzw2tm1b(KOMP)Mbp/Bzw2+ (more )
Structure Level Pattern Image Note
TS28: thyroid gland Present JAX_1798030

Specimen JAX_1798031: postnatal adult; Bzw2tm1b(KOMP)Mbp/Bzw2+ (more )
Structure Level Pattern Image Note
TS28: spinal cord Present JAX_1798031

Specimen JAX_1798032: postnatal adult; Bzw2tm1b(KOMP)Mbp/Bzw2+ (more )
Structure Level Pattern Image Note
TS28: large intestine Present JAX_1798032

Specimen JAX_1798033: postnatal adult; Bzw2tm1b(KOMP)Mbp/Bzw2+ (more )
Structure Level Pattern Image Note
TS28: trachea Present JAX_1798033

Specimen JAX_1798034: postnatal adult; Bzw2tm1b(KOMP)Mbp/Bzw2+ (more )
Structure Level Pattern Image Note
TS28: testis Present JAX_1798034

Specimen JAX_1798035: postnatal adult; Bzw2tm1b(KOMP)Mbp/Bzw2+ (more )
Structure Level Pattern Image Note
TS28: stomach Present JAX_1798035

Specimen JAX_1798036: postnatal adult; Bzw2tm1b(KOMP)Mbp/Bzw2+ (more )
Structure Level Pattern Image Note
TS28: metanephros Present JAX_1798036 kidney

Specimen JAX_1798037: postnatal adult; Bzw2tm1b(KOMP)Mbp/Bzw2+ (more )
Structure Level Pattern Image Note
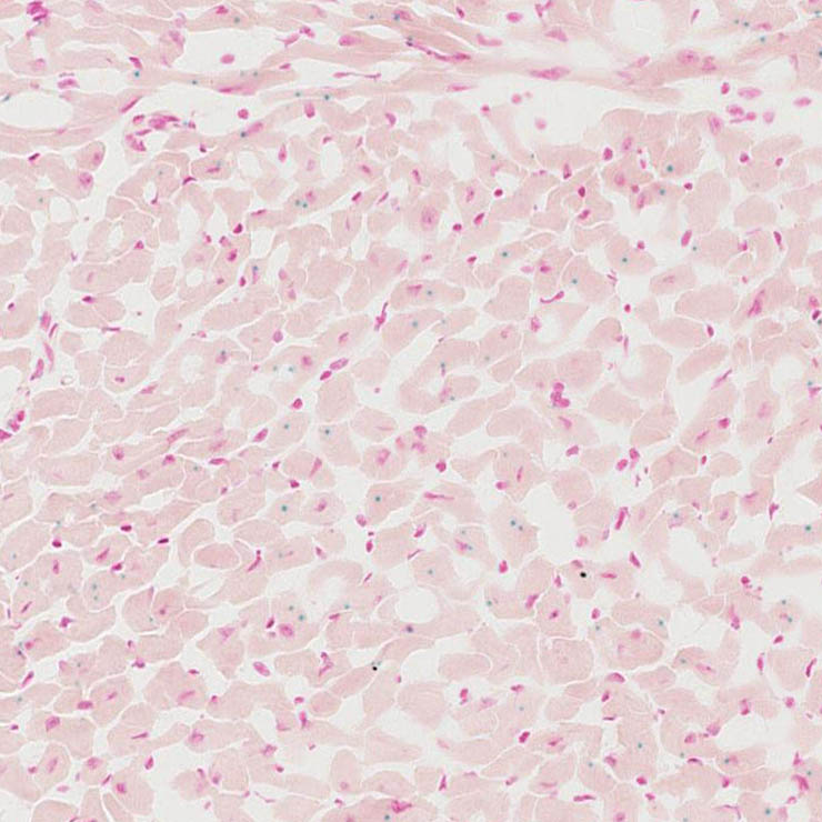
TS28: heart Present JAX_1798037

Specimen JAX_1798038: postnatal adult; Bzw2tm1b(KOMP)Mbp/Bzw2+ (more )
Structure Level Pattern Image Note
TS28: adrenal gland Present JAX_1798038


Contributing Projects:
Mouse Genome Database (MGD), Gene Expression Database (GXD), Mouse Models of Human Cancer database (MMHCdb) (formerly Mouse Tumor Biology (MTB)), Gene Ontology (GO)
Citing These Resources
Funding Information
Warranty Disclaimer, Privacy Notice, Licensing, & Copyright
Send questions and comments to User Support.
last database update
01/20/2026
MGI 6.24
The Jackson Laboratory